Найти в Дзене
Mavie Clinique

Когда стоит обратиться к ортодонту

1. Неправильный прикус
Если верхние и нижние зубы смыкаются неправильно (глубокий, открытый, перекрёстный, дистальный, мезиальный прикус). Это может приводить к стираемости зубов, перегрузке ВНЧС и болям в челюсти.
2. Скученность зубов
Когда зубам не хватает места, они поворачиваются, «наезжают» друг на друга. Это ухудшает гигиену и повышает риск кариеса и воспаления дёсен.

1. Неправильный прикус

Если верхние и нижние зубы смыкаются неправильно (глубокий, открытый, перекрёстный, дистальный, мезиальный прикус). Это может приводить к стираемости зубов, перегрузке ВНЧС и болям в челюсти.

2. Скученность зубов

Когда зубам не хватает места, они поворачиваются, «наезжают» друг на друга. Это ухудшает гигиену и повышает риск кариеса и воспаления дёсен.

-2

3. Щели между зубами (диастемы, тремы)

4. Нарушение положения отдельных зубов

Наклонённые, развернутые, выдвинутые или, наоборот, утопленные зубы требуют ортодонтической коррекции.

-3

5. Подготовка к комплексному лечению, перед:

-протезированием (коронки, виниры, мосты);

-имплантацией;

-хирургическим лечением.

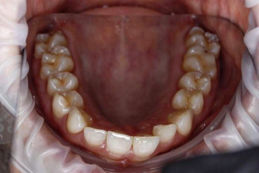
Результат после лечения
Результат после лечения

6. Асимметрия лица, смещение челюсти

Ортодонтическое лечение помогает скорректировать функциональные и визуальные нарушения.

7. Нарушения жевания, дикции, дыхания

После работы нашего ортодонта вы будете рады ровным и здоровым зубам! 💙

Запись на консультацию- +74950030301