Найти в Дзене

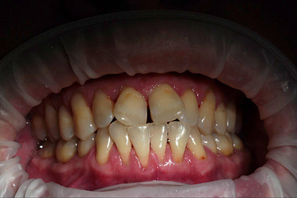
Мне кажется, что в основном пациенты под нездоровьем полости рта понимают наличие кариеса, да еще не одного, а чтобы прям много - тогда это

воспринимается, как проблема, а 🫣 остальное как бы и ничего… Что такое остальное: 🔜 заболевания тканей, окружающих зуб (гингивит, пародонтит, пародонтоз) 🔜 некариозные поражения зубов, возникшие до прорезывания (флюороз, гипоплазия эмали, «тетрациклиновые» зубы)и после прорезывания (клиновидные дефекты, патологическая стираемость, эрозия эмали, гиперестезия) 🔜 заболевания слизистой оболочки полости рта 🔜 проблемы с ВНЧС 🔜 аномалии прикуса и положения зубов 🔜 онкологические заболевания 🔜 проявления системных заболеваний в полости рта Давайте так: здоровье полости рта - это не только отсутствие «дырок»!!!! #стоматолог #Москва

Мне кажется, что в основном пациенты под нездоровьем полости рта понимают наличие кариеса, да еще не одного, а чтобы прям много - тогда это воспринимается, как проблема, а 🫣 остальное как бы и ничего…

Что такое остальное:

🔜 заболевания тканей, окружающих зуб (гингивит, пародонтит, пародонтоз)

🔜 некариозные поражения зубов, возникшие до прорезывания (флюороз, гипоплазия эмали, «тетрациклиновые» зубы)и после прорезывания (клиновидные дефекты, патологическая стираемость, эрозия эмали, гиперестезия)

🔜 заболевания слизистой оболочки полости рта

🔜 проблемы с ВНЧС

🔜 аномалии прикуса и положения зубов

🔜 онкологические заболевания

🔜 проявления системных заболеваний в полости рта

Давайте так: здоровье полости рта - это не только отсутствие «дырок»!!!!

#стоматолог #Москва