Найти в Дзене

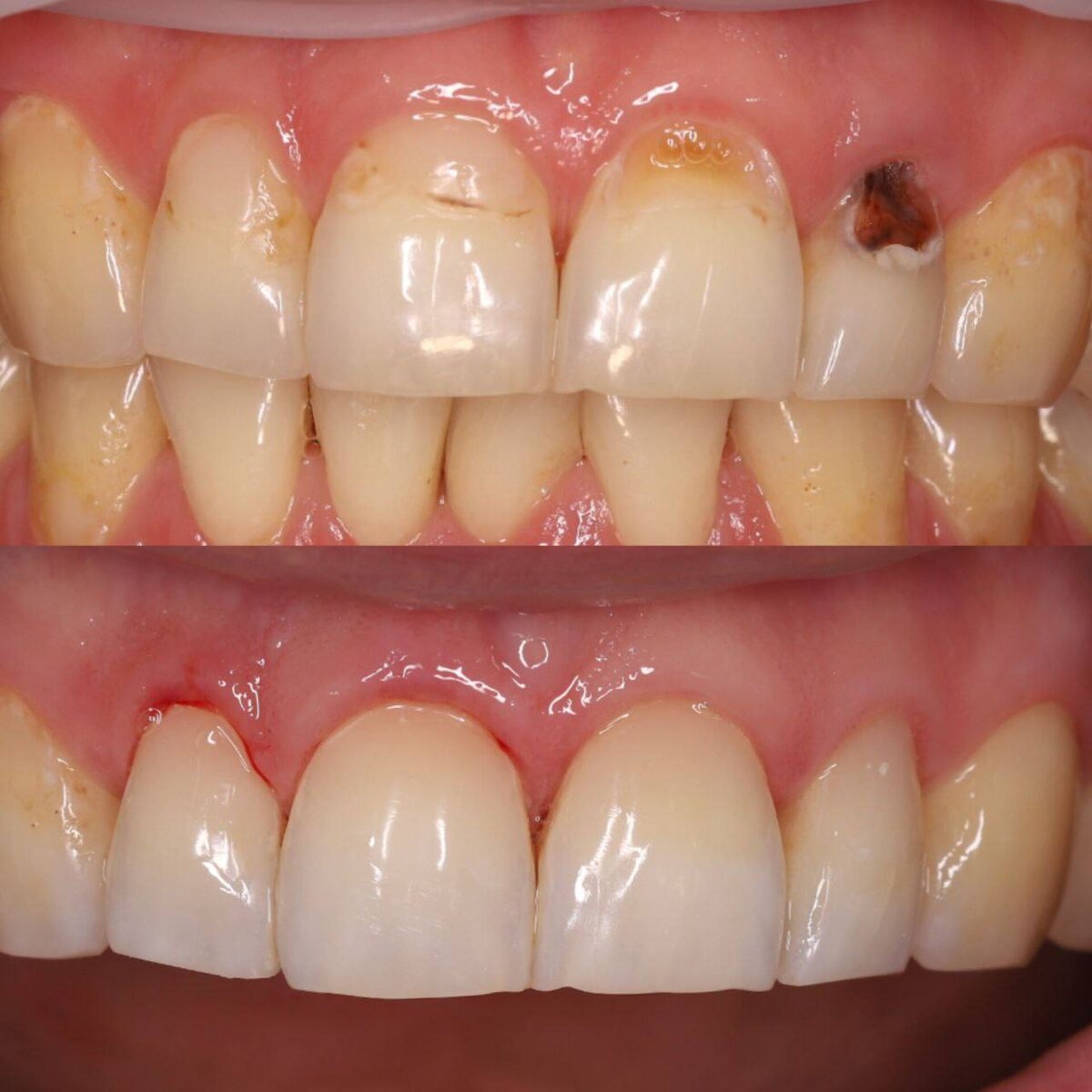
Спешим поделиться с вами новым кейсом от стоматолога-терапевта - Екимовой Александры Николаевны

О том, что было выполнено, расскажет сама Александра Николаевна в аудио ниже ⤵️ А чтобы записаться на консультацию и лечение - жмите на ссылку 🔗 #допослемегадент

Спешим поделиться с вами новым кейсом от стоматолога-терапевта - Екимовой Александры Николаевны

О том, что было выполнено, расскажет сама Александра Николаевна в аудио ниже ⤵️

А чтобы записаться на консультацию и лечение - жмите на ссылку 🔗

#допослемегадент

-2