Найти в Дзене

Давно мы не рассказывали кейсы наших торакальных хирургов – исправляемся и делимся свежей историей из практики 🙂

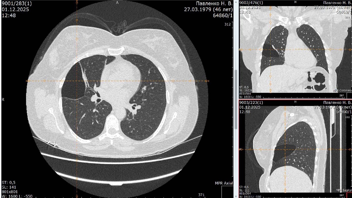
К нам обратилась пациентка П., 46 лет. На диспансеризации случайно нашли массивную буллу в средней доле правого лёгкого – полость с воздухом, которая почти полностью сдавливала долю и могла лопнуть в любой момент, вызвав спонтанный пневмоторакс (опасное для жизни состояние). Жалоб не было, но риск – высокий, поэтому выбрали хирургическое лечение. Что сделали: Вся операция – через проколы, без больших разрезов. В результате: Пациентка перенесла вмешательство без осложнений и выписана на 6-е сутки в удовлетворительном состоянии. Риск внезапного пневмоторакса устранён, объём лёгочной ткани сохранён по максимуму. Свяжитесь с торакальным хирургом для консультации с помощью контактов ниже: Пономарёв Сергей Эдуардович – хирург, врач-онколог +7 (916) 070-03-70 t.me/ponomaryov_sergei

К нам обратилась пациентка П., 46 лет. На диспансеризации случайно нашли массивную буллу в средней доле правого лёгкого – полость с воздухом, которая почти полностью сдавливала долю и могла лопнуть в любой момент, вызвав спонтанный пневмоторакс (опасное для жизни состояние). Жалоб не было, но риск – высокий, поэтому выбрали хирургическое лечение.

Что сделали:

  • Провели торакоскопию (малоинвазивная операция через несколько проколов).
  • Визуализировали буллу, аккуратно иссекли и удалили.
  • Дефект плевры (оболочки лёгкого) ушили.

Вся операция – через проколы, без больших разрезов.

В результате:

Пациентка перенесла вмешательство без осложнений и выписана на 6-е сутки в удовлетворительном состоянии. Риск внезапного пневмоторакса устранён, объём лёгочной ткани сохранён по максимуму.

Свяжитесь с торакальным хирургом для консультации с помощью контактов ниже:

Пономарёв Сергей Эдуардович – хирург, врач-онколог

+7 (916) 070-03-70

t.me/ponomaryov_sergei