Найти в Дзене
Стоматология ROOTT

"Не надо дожидаться, пока капсула порвется!". Что нужно знать пациентам о кисте корня зуба и в каких случаях ее не получится вылечить

Многие пациенты привыкли думать, что боль - это главный индикатор опасности: "Пока не болит - значит ситуация не дошла до пика...можно и повременить!". Если зуб не ноет, не пульсирует, не мешает жевать - зачем идти к стоматологу? И именно поэтому такие болезни, как киста зуба, десятилетиями остаются в тени, но при этом делает своё дело - методично и безжалостно. Киста - это не просто воспаление, а структура, выстроенная нашим же организмом. Внутри костной ткани формируется капсула, наполненная жидкостью или гноем. Она образуется не просто так - это реакция на длительное воспаление, которое организм не смог победить иначе. Он решил изолировать инфекцию, и поначалу это даже работает, но со временем такое «перемирие» оборачивается разрушением - уже не только зуба, но и кости, соседних тканей, нервов. И тогда последствия становятся видимыми, а иногда и вовсе - необратимыми. Чаще всего киста появляется после того, как инфекция добирается до верхушки корня зуба. Это может случиться по ряду п
Оглавление

Многие пациенты привыкли думать, что боль - это главный индикатор опасности:

"Пока не болит - значит ситуация не дошла до пика...можно и повременить!".

Если зуб не ноет, не пульсирует, не мешает жевать - зачем идти к стоматологу? И именно поэтому такие болезни, как киста зуба, десятилетиями остаются в тени, но при этом делает своё дело - методично и безжалостно.

Киста - это не просто воспаление, а структура, выстроенная нашим же организмом. Внутри костной ткани формируется капсула, наполненная жидкостью или гноем. Она образуется не просто так - это реакция на длительное воспаление, которое организм не смог победить иначе. Он решил изолировать инфекцию, и поначалу это даже работает, но со временем такое «перемирие» оборачивается разрушением - уже не только зуба, но и кости, соседних тканей, нервов. И тогда последствия становятся видимыми, а иногда и вовсе - необратимыми.

Откуда берется киста и почему так легко её упустить?

Чаще всего киста появляется после того, как инфекция добирается до верхушки корня зуба. Это может случиться по ряду причин:

1. Из-за кариеса, который запустили, не обратив внимания на первую чувствительность.

2. Недолеченный пульпит.

3. Из-за старой пломбы, под которой давно началось воспаление.

Иногда - после неудачного удаления зуба, когда в десне осталась частичка корня, и начался скрытый воспалительный процесс.

Особенно часто кисты формируются под «мёртвыми» зубами - теми, из которых удалили нерв. Именно там инфекция может развиваться без боли и симптомов. Это своего рода идеальный инкубатор: зуб не болит, каналы закрыты, пациент живёт своей жизнью, а под десной тем временем зреет инфекционный пузырь.

Не менее подло ведут себя кисты, возникшие в зоне имплантов. Они могут разрушить костную ткань и спровоцировать отторжение дорогостоящей конструкции.

Почему эта патология такая опасная?

-2

💚У нашей клиники есть свой ТГ-канал, в котором мы регулярно делимся полезными постами, выкладываем примеры работ, разбираем простыми словами сложные явления в стоматологии вместе с нашими специалистами.

Обязательно подпишитесь - вы не пожалеете!

Потому что она не заявляет о себе...а когда заявляет - то исправлять ситуацию становится поздно. Первые признаки настолько незначительны, что мало кто на них обращает внимание: лёгкий дискомфорт при накусывании, едва заметная отёчность десны, периодическое ощущение давления. Иногда - потемнение эмали или небольшое смещение зуба.

Когда симптомы становятся выраженными (боль, припухлость лица, повышение температуры, образование свищевого хода) - это уже сигнал о том, что процесс перешёл в острую фазу. И дело тут не только в одном зубе: инфекция может перейти на кость, нервы, гайморовы пазухи.

  • В области верхней челюсти киста легко проникает в носовые ходы, вызывая синуситы и постоянную заложенность.
  • В нижней - может повредить нерв, что грозит онемением губ и подбородка. Бывают и более драматичные последствия - вплоть до остеомиелита, абсцесса, флегмоны и сепсиса.

Порой киста достигает таких размеров, что буквально «вымывает» участок челюсти, ослабляя её настолько, что возможен перелом. И всё это идет от того самого воспаления, которое когда-то началось с невинного кариеса.

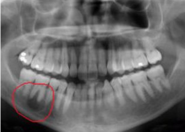
Гранулёма или киста?

Часто пациенты слышат:

«У вас гранулёма… или, возможно, киста».

Эти два понятия действительно рядом, но не тождественны.

  • Гранулёма - это начало воспалительного процесса, своего рода предкиста. Она меньше по размеру, не содержит жидкость, и чаще поддаётся консервативному лечению.
  • Киста - уже финальный этап. Это оформленное образование, окружённое капсулой, имеющее тенденцию к росту. Отличить одно от другого точно может только врач по результатам рентгена и, при необходимости, КТ.

Нужно ли удалять зуб?

Это, пожалуй, самый частый и тревожный вопрос. К счастью, современные методы позволяют в большинстве случаев зуб сохранить. Всё зависит от того, насколько разрушены ткани, проходимы ли каналы, в каком состоянии сама коронковая часть и окружающая кость.

  • Если воспаление не распространилось слишком далеко, проводят эндодонтическое лечение. Это означает, что врач через доступ к корневым каналам полностью удаляет инфекцию, промывает систему антисептиками, закладывает специальный лечебный препарат и пломбирует каналы заново. Всё это делается под микроскопом, с ювелирной точностью. Часто - в несколько этапов. Параллельно могут назначаться антибиотики и препараты для стимуляции регенерации кости.

Если же зуб уже разрушен, а киста крупная, применяется хирургическое вмешательство. Один из самых щадящих методов - резекция верхушки корня. Врач делает небольшой надрез в десне, удаляет кисту и срезает только кончик корня, сохраняя при этом весь зуб. Современные клиники проводят такую операцию с применением лазера, что уменьшает травматичность и ускоряет заживление.

Удаление зуба - это крайняя мера.

Она применяется лишь в том случае, если спасти его уже невозможно. Например, когда каналы непроходимы, коронка разрушена, костная ткань вокруг сильно повреждена. Даже в этом случае пациента не бросают: современные методы протезирования и имплантации позволяют восстановить утраченное с минимальными эстетическими и функциональными потерями.

Чем дольше киста существует, тем труднее и дольше будет лечение. На ранней стадии - это несколько визитов к врачу и минимальное вмешательство. На поздней - полноценная операция, длительный реабилитационный период и, возможно, потеря зуба.

Кроме того, даже если киста долго не беспокоит, она не «заморожена». Она растёт, меняет структуру окружающей кости и может стать причиной воспаления, которое отразится на соседних зубах, суставах, пазухах. А если в один момент капсула прорвётся, то инфекция попадёт в кровоток и тогда вопрос уже не в том, как сохранить зуб, а в том, как не попасть в реанимацию.

Чтобы не попадать в подобные ситуации - хотя бы раз в год делайте контрольный рентген и если, вдруг, почувствовали дискомфорт - не ждите, что "все пройдет само по себе".

-3

В нашем центре, расположенном в Москве по адресу Волгоградский проспект, 4А, вы сможете получить квалифицированную помощь в таких областях, как:

  • имплантация зубов (All on 4 (6,8), одномоментная, безоперационная, трансгингивальная, Мульти-юнит и так далее);
  • хирургия (удаление зубов любой сложности, пластика десны);
  • протезирование (установка и замена коронок, установка винир и мостовидных протезов: нейлоновых, иммедиат-протезов, акриловых, пластинчатых и так далее);
  • терапия (лечение кариеса, периодонтита, пульпита; сделать чистку или отбеливание зубов)

Если у вас есть какие-то проблемы с зубами/вопросы, на которые вы до сих пор не можете получить ответы, то вы по адресу.

Наш специалист отвечает на все запросы в комментариях к постам в ТГ - канале! Будем рады вашим обращениям!