Добавить в корзинуПозвонить
Найти в Дзене
IT Vibe

​​Ученые впервые «оцифровали» человеческий мозг целиком — и выложили его в открытый доступ

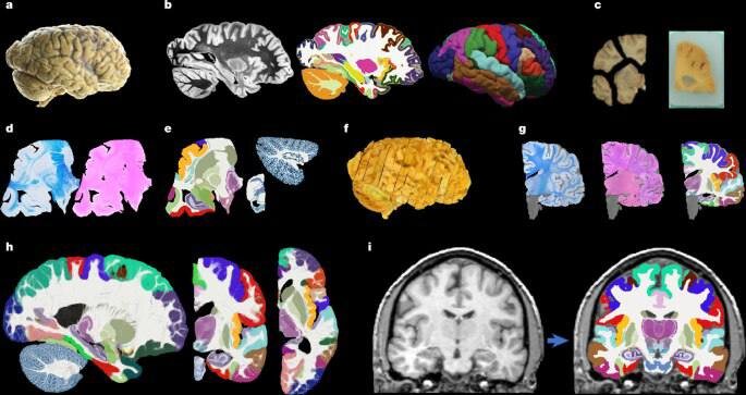
Ученые представили NextBrain — открытый вероятностный гистологический атлас всего человеческого мозга, созданный для более точной сегментации МРТ. Проект объединяет методы искусственного интеллекта, автоматической регистрации и сегментации, чтобы реконструировать мультимодальную серийную гистологию пяти половин человеческого мозга. В отличие от классических анатомических атласов, NextBrain учитывает вариативность структуры мозга между людьми. Атлас построен как вероятностная модель: он показывает не «средний» мозг, а распределения анатомических особенностей, что особенно важно для нейровизуализации, клинических исследований и разработки медицинских ИИ-моделей. Ключевая особенность NextBrain — связка микроскопической гистологии и макроскопических МРТ-данных. Это позволяет точнее сопоставлять то, что врачи видят на МРТ-сканах, с реальной тканевой структурой мозга. Такой подход может существенно повысить качество автоматической сегментации, диагностики неврологических заболеваний и иссл

​​Ученые впервые «оцифровали» человеческий мозг целиком — и выложили его в открытый доступ

Ученые представили NextBrain — открытый вероятностный гистологический атлас всего человеческого мозга, созданный для более точной сегментации МРТ. Проект объединяет методы искусственного интеллекта, автоматической регистрации и сегментации, чтобы реконструировать мультимодальную серийную гистологию пяти половин человеческого мозга.

В отличие от классических анатомических атласов, NextBrain учитывает вариативность структуры мозга между людьми. Атлас построен как вероятностная модель: он показывает не «средний» мозг, а распределения анатомических особенностей, что особенно важно для нейровизуализации, клинических исследований и разработки медицинских ИИ-моделей.

Ключевая особенность NextBrain — связка микроскопической гистологии и макроскопических МРТ-данных. Это позволяет точнее сопоставлять то, что врачи видят на МРТ-сканах, с реальной тканевой структурой мозга. Такой подход может существенно повысить качество автоматической сегментации, диагностики неврологических заболеваний и исследований работы мозга.

Проект открыт для научного сообщества и рассчитан на использование как в академических исследованиях, так и в прикладных медицинских ИИ-системах. По сути, NextBrain — это новый фундаментальный слой инфраструктуры для нейронауки и медицинского ИИ.

#AI #Science #Neurotech

🔳 IT Vibe News