Найти в Дзене
Viru Clinic

Десны кровоточат при чистке? Это не норма — это сигнал тревоги

"Ну, у всех десны немного кровоточат при чистке. Это же нормально?" Нет. Это не нормально. Здоровые десны не кровоточат. Никогда. Даже при интенсивной чистке. Если вы видите кровь на щётке или в раковине — это значит, что в полости рта уже идёт воспалительный процесс. И чем раньше вы обратите на это внимание, тем проще будет решить проблему. К нам обратился пациент с жалобами на: "Я думал, это от жёсткой щётки. Перешёл на мягкую — не помогло. Потом решил, что это нехватка витаминов. Пил витамины — опять мимо. А кровь всё идёт и идёт..." При осмотре картина была типичной для начинающегося пародонтита: Диагноз: хронический гингивит с риском перехода в пародонтит. Хорошая новость? Мы успели вовремя. Плохая? Ещё пара месяцев промедления — и лечение было бы намного сложнее и дороже. Когда вы недостаточно хорошо чистите зубы (особенно в придесневой области и между зубами), налёт скапливается. В нём живут миллиарды бактерий. Эти бактерии выделяют токсины → Токсины раздражают десну → Десна в
Оглавление

"Ну, у всех десны немного кровоточат при чистке. Это же нормально?"

Нет. Это не нормально.

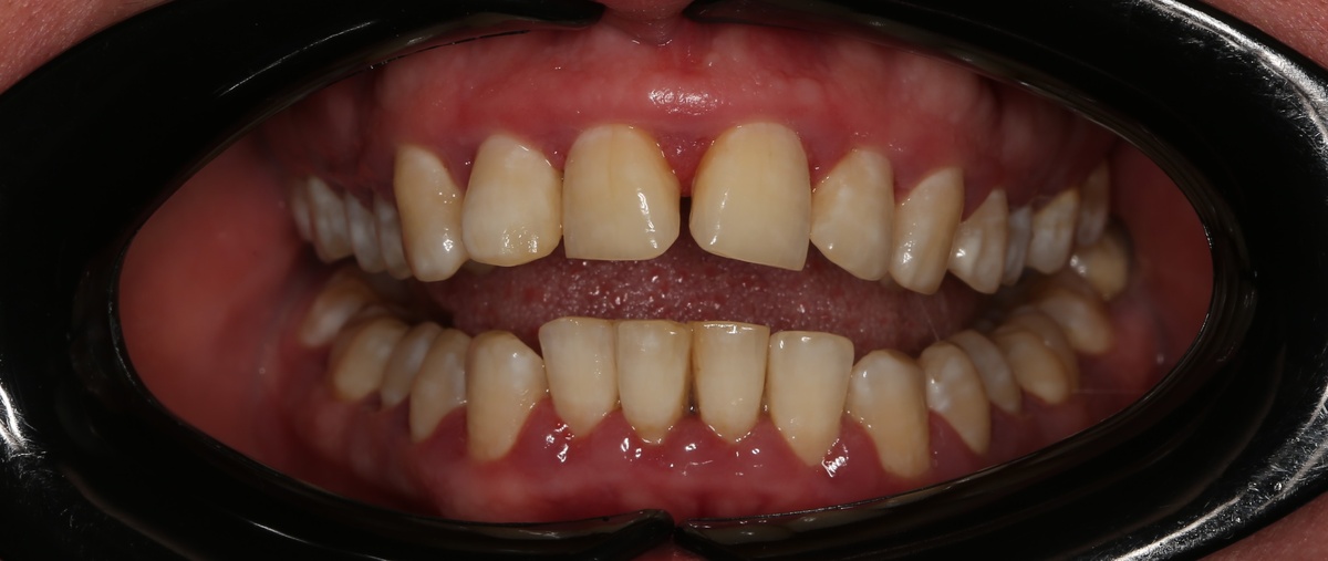
До
До
До
До

Здоровые десны не кровоточат. Никогда. Даже при интенсивной чистке. Если вы видите кровь на щётке или в раковине — это значит, что в полости рта уже идёт воспалительный процесс.

И чем раньше вы обратите на это внимание, тем проще будет решить проблему.

История пациента: от "это пройдёт" до реального лечения

К нам обратился пациент с жалобами на:

  • Постоянный налёт на зубах — даже после чистки
  • Регулярную кровоточивость дёсен — особенно утром и при использовании зубной нити
  • Неприятный запах изо рта
  • Дискомфорт при жевании

"Я думал, это от жёсткой щётки. Перешёл на мягкую — не помогло. Потом решил, что это нехватка витаминов. Пил витамины — опять мимо. А кровь всё идёт и идёт..."

При осмотре картина была типичной для начинающегося пародонтита:

  • Плотный налёт и зубной камень
  • Воспалённые, отёчные десны
  • Кровоточивость при зондировании
  • Начальные признаки рецессии (оголение корней)

Диагноз: хронический гингивит с риском перехода в пародонтит.

Хорошая новость? Мы успели вовремя. Плохая? Ещё пара месяцев промедления — и лечение было бы намного сложнее и дороже.

Почему десны кровоточат: разбираемся в причинах

Главный виновник — бактериальный налёт

Когда вы недостаточно хорошо чистите зубы (особенно в придесневой области и между зубами), налёт скапливается. В нём живут миллиарды бактерий.

Эти бактерии выделяют токсины → Токсины раздражают десну → Десна воспаляется → Сосуды становятся хрупкими → Появляется кровоточивость.

Зубной камень — усугубляет всё

Налёт минерализуется и превращается в зубной камень. Камень давит на десну, травмирует её и создаёт идеальные условия для бактерий.

Неправильная домашняя гигиена

Парадокс: иногда люди старательно чистят зубы, но неправильно. И проблема только усугубляется:

  • Горизонтальные движения вместо вертикальных
  • Игнорирование межзубных промежутков
  • Слишком жёсткая щётка
  • Неподходящая паста

Что мы сделали: комплексный подход к лечению

Лечение заболеваний дёсен — это не разовая процедура. Это система, в которой важны три компонента:

  1. Профессиональное лечение
  2. Правильная домашняя гигиена
  3. Регулярный контроль

Этап 1: Профессиональная гигиена полости рта

Врач-гигиенист Кекина К. А. провела тщательную чистку:

🔹 Удаление зубного камня ультразвуком — убрали все твёрдые отложения, которые невозможно снять дома

🔹
Снятие мягкого налёта методом Air Flow — очистили даже труднодоступные участки

🔹
Полировка зубов специальными пастами — гладкая поверхность = налёту не за что зацепиться

🔹
Обработка десневых карманов — там, где начиналось воспаление

Результат: зубы чистые, десны получили возможность восстановиться.

Этап 2: Пародонтологическое лечение

Но профгигиены было недостаточно. Воспаление уже затронуло ткани пародонта (связки, удерживающие зуб).

Пародонтолог Саакян К. В. провёла специализированное лечение:

🔹 Закрытый кюретаж — глубокая чистка пародонтальных карманов от бактерий и грануляций

🔹
Противовоспалительная терапия — медикаментозная обработка для снятия воспаления

Почему это важно? Если не лечить пародонтит, зубы начнут расшатываться и выпадать. Даже здоровые зубы без кариеса.

Этап 3: Индивидуальный подбор средств гигиены

Здесь началось самое важное — обучение пациента правильному уходу.

Кекина К. А. подобрала индивидуальный набор средств:

Зубная щётка

Не жёсткая, не мягкая, а
средней жёсткости — оптимальный вариант при воспалении дёсен. Показали правильную технику чистки:

  • Щётка под углом 45° к десне
  • Выметающие движения от десны к краю зуба
  • Не меньше 2 минут на всю процедуру

Межзубные ёршики и флосс

40% поверхности зубов находится между зубами. Щётка туда не достаёт. Именно там начинается воспаление.

Подобрали ёршики нужного размера и показали, как правильно ими пользоваться. Плюс научили работать флоссом (зубной нитью) без травмирования десны.

Лечебная паста

Не обычная, а специальная
пародонтологическая паста с противовоспалительными компонентами. Курсом на 2-3 месяца.

Ополаскиватель

С хлоргексидином или растительными экстрактами — для дополнительной противовоспалительной защиты.

Этап 4: Контроль домашней гигиены — ключ к успеху

Самое важное в лечении заболеваний дёсен — это ваш ежедневный уход дома.

Можно провести самое дорогое лечение, но если пациент продолжает плохо чистить зубы — воспаление вернётся.

Поэтому мы проводили регулярный контроль:

  • Через 2 недели — проверка техники чистки, корректировка
  • Через месяц — оценка состояния дёсен, повторная профгигиена при необходимости
  • Через 3 месяца — контрольный осмотр у пародонтолога

Мы учили, показывали, исправляли ошибки. Пациент научился чистить зубы правильно — не "просто водить щёткой", а осознанно удалять налёт из всех зон.

Результат: здоровые десны, уверенная улыбка

После
После
После
После

Через 3 месяца комплексного лечения:

Кровоточивость полностью ушла

Десны приобрели здоровый розовый цвет — без отёков и воспаления

Исчез неприятный запах изо рта

Налёт образуется гораздо медленнее

Пациент чувствует лёгкость и чистоту во рту

Главное — остановили развитие пародонтита и сохранили зубы

Но самое ценное — пациент получил знания и навыки, которые позволят ему сохранить здоровье дёсен на годы вперёд.

Тест: у вас проблемы с дёснами?

Ответьте честно:

□ Десны кровоточат при чистке зубов или использовании флосса

□ Десны красные, отёчные или болезненные

□ Есть неприятный запах изо рта, который не уходит после чистки

□ Десны "отходят" от зубов, видны корни

□ Между зубами застревает пища

□ Зубы стали подвижными или изменили положение

□ При надавливании на десну выделяется гной

Хотя бы 1 пункт? Вам нужна консультация пародонтолога.

3 и больше? Срочно к врачу — это уже развивающийся пародонтит.

Что будет, если не лечить?

Многие игнорируют кровоточивость дёсен годами. "Ну кровит и кровит, ничего страшного".

Но вот что происходит:

Месяц: Гингивит (воспаление десны) → кровоточивость, отёк

3 месяца: Переход в пародонтит → разрушение связок зуба

6 месяцев: Углубление карманов → подвижность зубов

1-2 года: Потеря костной ткани → зубы начинают выпадать

А ведь на начальной стадии всё лечится за 2-3 визита.

Почему домашняя гигиена — это 80% успеха?

Врач может провести идеальное лечение. Но если вы продолжите чистить зубы кое-как — результат не сохранится.

Вот простая правда:

  • Профгигиена — это снять накопившиеся отложения
  • Пародонтологическое лечение — остановить воспаление
  • Домашняя гигиена — не дать проблеме вернуться

Без правильного ухода дома лечение бесполезно.

Именно поэтому в клинике Viru мы не просто лечим — мы обучаем. Показываем, как правильно чистить зубы, подбираем средства, контролируем результат.

Что включает лечение дёсен в Viru?

💎 Тщательная диагностика — осмотр, зондирование карманов, рентген при необходимости

💎
Профессиональная гигиена — удаление всех отложений

💎
Пародонтологическое лечение — закрытый кюретаж, противовоспалительная терапия

💎
Индивидуальный подбор средств — щётка, паста, ёршики, ирригатор, ополаскиватель

💎
Обучение правильной технике чистки — показываем на ваших зубах

💎
Регулярный контроль — проверяем качество домашней гигиены, корректируем ошибки

Наша команда: эксперты, которым можно доверять

В клинике Viru над вашими дёснами работает команда профессионалов:

Кекина К. А. — врач-гигиенист

Специалист по профессиональной гигиене и профилактике заболеваний пародонта. Проводит обучение правильной чистке зубов.

Саакян К. В. — врач-пародонтолог

Эксперт в лечении заболеваний дёсен и пародонта. Использует современные протоколы лечения гингивита и пародонтита.

Работаем в команде — гигиенист и пародонтолог ведут пациента совместно, обеспечивая максимальный результат.

Почему пациенты выбирают Viru?

💎 Комплексный подход — лечим не симптом, а причину

💎
Современное оборудование — швейцарский Air Flow, ультразвук нового поколения

💎
Обучение и контроль — мы не просто лечим, мы учим сохранять результат

💎
Индивидуальный подбор средств — под ваши особенности

💎
Премиальный сервис — комфорт, забота, внимание к деталям

📍 Запишитесь на консультацию пародонтолога в клинику Viru

Официальный сайт стоматологической клиники в Санкт-Петербурге ViRU

Наш соцсети: Телеграм. Вконтакте

Телефон: +7 (812) 565-35-26

Не ждите, когда зубы начнут шататься

Кровоточивость дёсен — это не "мелочь, которая сама пройдёт". Это сигнал о том, что нужно действовать.

Чем раньше начать лечение — тем проще, быстрее и дешевле будет результат.

В клинике Viru мы:

  • Остановим воспаление и вернём дёснам здоровье
  • Научим вас правильно ухаживать за полостью рта
  • Подберём средства, которые работают именно для вас
  • Будем контролировать результат и поддерживать здоровье ваших дёсен

Здоровые дёсны = крепкие зубы = красивая улыбка.

Не откладывайте визит — ваши зубы и дёсны нуждаются в помощи уже сегодня.

Официальный сайт стоматологической клиники в Санкт-Петербурге ViRU

Наш соцсети: Телеграм. Вконтакте

Телефон: +7 (812) 565-35-26

Больше полезных статей читайте на нашем канале и подписывайтесь, чтобы не пропустить свежий выпуск.

📍 2 филиала в Санкт-Петербурге

📊 Более 2000 довольных пациентов

🦷 530+ приёмов в месяц

⭐ Команда экспертов: гигиенисты + пародонтологи