Добавить в корзинуПозвонить
Найти в Дзене
White House Clinic

Улыбка без боли и комплексов: как мы вернули уверенность 3,5-летней Полине

Иногда детская улыбка — это не просто зубы.
Это сон без боли, радость общения, уверенность в себе и спокойствие родителей.
Сегодня хочу рассказать реальную историю маленькой пациентки — Полины, 3,5 года, и показать, почему лечить молочные зубы важно так же, как и постоянные.
Когда кариес — это не «ничего страшного»

Иногда детская улыбка — это не просто зубы.

Это сон без боли, радость общения, уверенность в себе и спокойствие родителей.

Сегодня хочу рассказать реальную историю маленькой пациентки — Полины, 3,5 года, и показать, почему лечить молочные зубы важно так же, как и постоянные.

Когда кариес — это не «ничего страшного»

1,5 года назад Полина впервые попала к нам на лечение зубов во сне (под наркозом).

К тому моменту ситуация была уже серьёзной:

  • глубокий кариес
  • пульпиты
  • воспаления
  • боли, из-за которых ребёнок не мог нормально спать и есть

Мы сделали всё возможное:

✔️ вылечили кариес и пульпиты

✔️ на жевательные зубы установили металлические коронки — для защиты и долговечности

✔️ на два передних боковых зуба — белые эстетические коронки

Но, к сожалению, два центральных передних зуба спасти не удалось.

Кариозный процесс ушёл слишком глубоко — в костную ткань, начались гнойные воспаления.

В таких случаях промедление опасно: инфекция от молочных зубов может повредить зачатки постоянных.

👉 Было принято правильное, хоть и непростое решение — удалить два центральных зуба, чтобы сохранить здоровье ребёнка.

Про это редко говорят, но это важно

Молочные зубы не просто «выпадут».

Они могут:

  • стать источником хронической инфекции
  • повлиять на зачатки постоянных зубов
  • вызвать боль, страх, бессонницу
  • оставить психологическую травму

«Мама, я не буду улыбаться…»

Прошло время. Полина подросла и пошла в детский сад.

И тут появилась новая, неожиданная проблема — психологическая.

Дети очень чувствительны. Полина начала комплексовать из-за отсутствия двух передних зубов:

  • перестала улыбаться
  • избегала общения
  • стеснялась сверстников

А ведь постоянные передние зубы прорезываются только к 7–8 годам.

Ждать ещё несколько лет — значит лишить ребёнка уверенности в самом важном возрасте.

Для взрослого — это «подождать».

Для ребёнка — целое детство.

Мы нашли выход ❤️

И установили Полине заместительную пластинку с аккуратными, белоснежными зубками.

Для ребёнка это было не просто лечение — это была мечта.

Полина очень хотела «вернуть зубки» до Нового года.

✨ И мы успели. Мечта исполнилась.

-2

-3
-4

И когда она увидела себя в зеркале…

она улыбнулась так, как не улыбалась давно.

Самый частый вопрос родителей

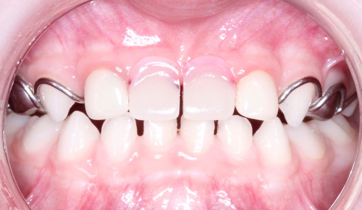
«А видно, что зубы не свои?»

Всё выглядит естественно.

Угадаете ли вы, где настоящие зубы?

Сейчас, глядя на улыбку Полины, сложно поверить, что:

  • 2 передних центральных зуба — это зубки из заместительной пластинки
  • 2 боковых — детские зубы под красивыми белыми коронками
-5

Улыбка выглядит гармонично и по-детски красиво.

А главное —

✔️ ребёнок снова улыбается

✔️ общается

✔️ смеётся

✔️ живёт счастливое детство без боли и страха перед врачами

Почему важно лечить молочные зубы вовремя

Эта история — напоминание для родителей:

❗ молочные зубы могут болеть

❗ инфекция может перейти на кость и зачатки постоянных зубов

❗ раннее удаление без реабилитации влияет на психологическое состояние ребёнка

Современная детская стоматология умеет не только лечить, но и возвращать качество жизнидаже самым маленьким пациентам.

Если вы думаете, что «молочные всё равно выпадут» — вспомните Полину.

Иногда один правильный шаг врача меняет всё детство ребёнка.

💬 Если тема откликается — сохраняйте, делитесь и задавайте вопросы.

Здоровые и счастливые детские улыбки — это всегда вовремя принятое решение.

Если ваш ребёнок:

  • боится стоматологов
  • жалуется на зубы
  • у него есть кариес на молочных
  • или вы сомневаетесь, «лечить или подождать»

👉 значит, вопрос уже есть.

Еще больше полезной информации у нас в телеграмм канале

Dr.Rimar WhiteHouseClinic

 Работа проведена в стоматологической клинике 

White House Clinic

Москва. Университетский проспект 16

+7 (906) 013-87-13