Найти в Дзене

Случай нейроэндокринной опухоли поджелудочной железы

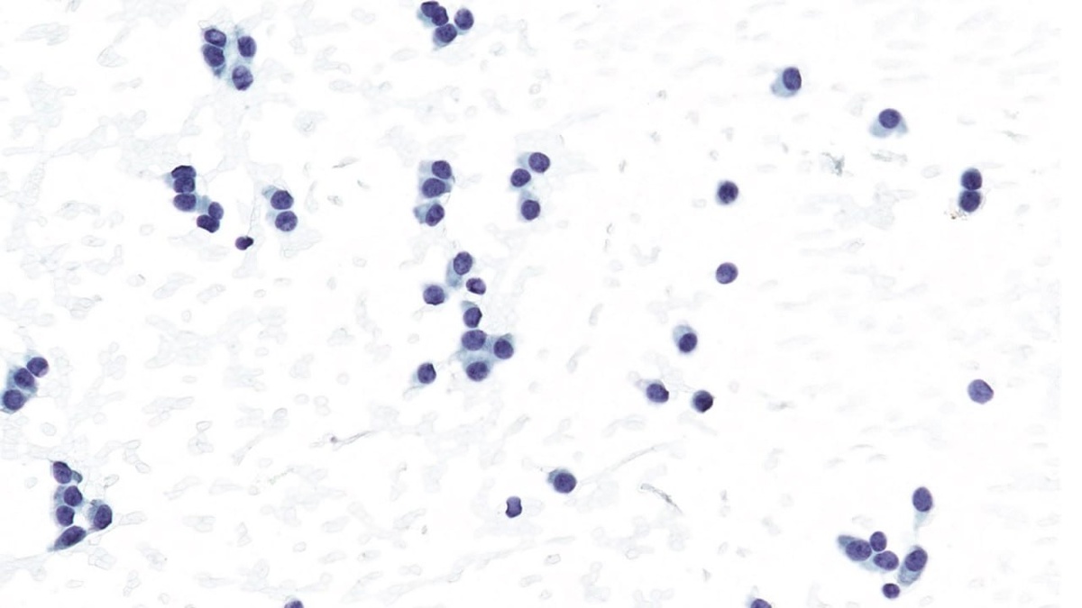
Морфологическая картина: - Рассеянные скопления клеток - Присутствуют плазмоцитоидные клетки с округлыми ядрами - Хроматин типа «соль с перцем» #цитология #поджелудочнаяжелеза

Случай нейроэндокринной опухоли поджелудочной железы

Морфологическая картина:

- Рассеянные скопления клеток

- Присутствуют плазмоцитоидные клетки с округлыми ядрами

- Хроматин типа «соль с перцем»

#цитология #поджелудочнаяжелеза