Найти в Дзене

Иногда последствия детской травмы «прорастают» в постоянную улыбку

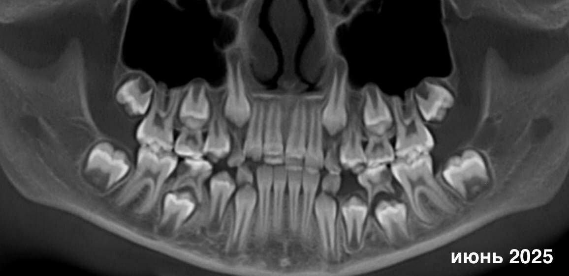
Но мы можем все исправить! История нашей юной пациентки классический пример, почему так важно наблюдение после травмы молочных зубов. Годы назад удар привел к дилацерации — искривлению коронковой части зубов формирующихся постоянных резцов. Когда зубы прорезались, стало понятно: без лечения не обойтись. Первично девочку осмотрел ортодонт (спасибо коллеге за внимательность и направление), после чего пациентка пришла ко мне. Основная задача была максимально щадящей — сохранить жизнеспособность зубов и дать корням возможность продолжить формирование. Что я сделала 👉 • Провела пульпотомию (ампутацию коронковой части пульпы) зубов 11 и 21, • Выполнила восстановление композитным материалом. Лечение было непростым: ребёнок быстро уставал. Но ее храбрость и терпение родителей дало результат. Мы сразу обсудили, что после полного прорезывания, следующий этап – коррекция реставраций, а также рекомендовали продолжить работу с другими зубами.
Контроль через полгода (декабрь 2025) показал то, ради

Но мы можем все исправить!

История нашей юной пациентки классический пример, почему так важно наблюдение после травмы молочных зубов. Годы назад удар привел к дилацерации — искривлению коронковой части зубов формирующихся постоянных резцов. Когда зубы прорезались, стало понятно: без лечения не обойтись.

Первично девочку осмотрел ортодонт (спасибо коллеге за внимательность и направление), после чего пациентка пришла ко мне. Основная задача была максимально щадящей — сохранить жизнеспособность зубов и дать корням возможность продолжить формирование.

Что я сделала 👉

• Провела пульпотомию (ампутацию коронковой части пульпы) зубов 11 и 21,
• Выполнила восстановление композитным материалом.
Лечение было непростым: ребёнок быстро уставал. Но ее храбрость и терпение родителей дало результат.
Мы сразу обсудили, что после полного прорезывания, следующий этап – коррекция реставраций, а также рекомендовали продолжить работу с другими зубами.


Контроль через полгода (декабрь 2025) показал то, ради чего мы всё и делали:
корни продолжают формироваться, зубы остаются жизнеспособными. Для меня это всегда самый ценный результат.

Вывод простой, но важный. Даже сложные последствия травм можно лечить бережно и успешно. Главное — своевременная диагностика, щадящая биологическая тактика и командная работа врача, ребёнка и родителей ❤️

#кейсы_гузун