Найти в Дзене

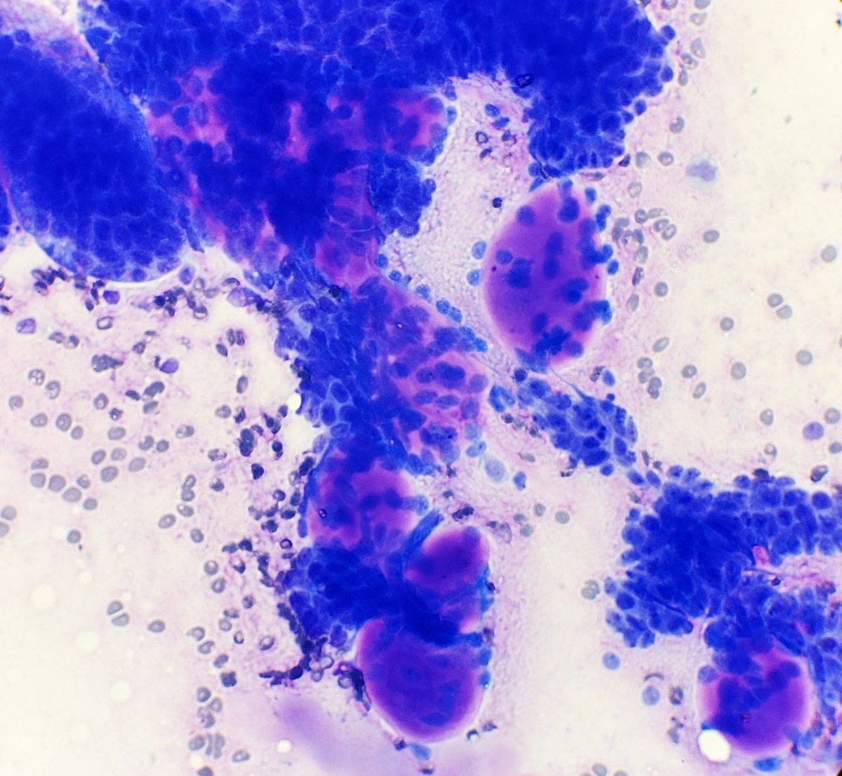
Материал ТАБ поднижнечелюстной слюнной железы, окрашенный Diff-Quick

Выявлена картина аденоидно-кистозного рака: - Базалоидные клетки - Характерные сферические образования гиалинового матрикса с чёткими контурами Данная морфологическая картина отлична от картины плеоморфной аденомы, для которой характерен волокнистый матрикс, содержащий миоэпителиальные клетки. #цитология #слюннаяжелеза

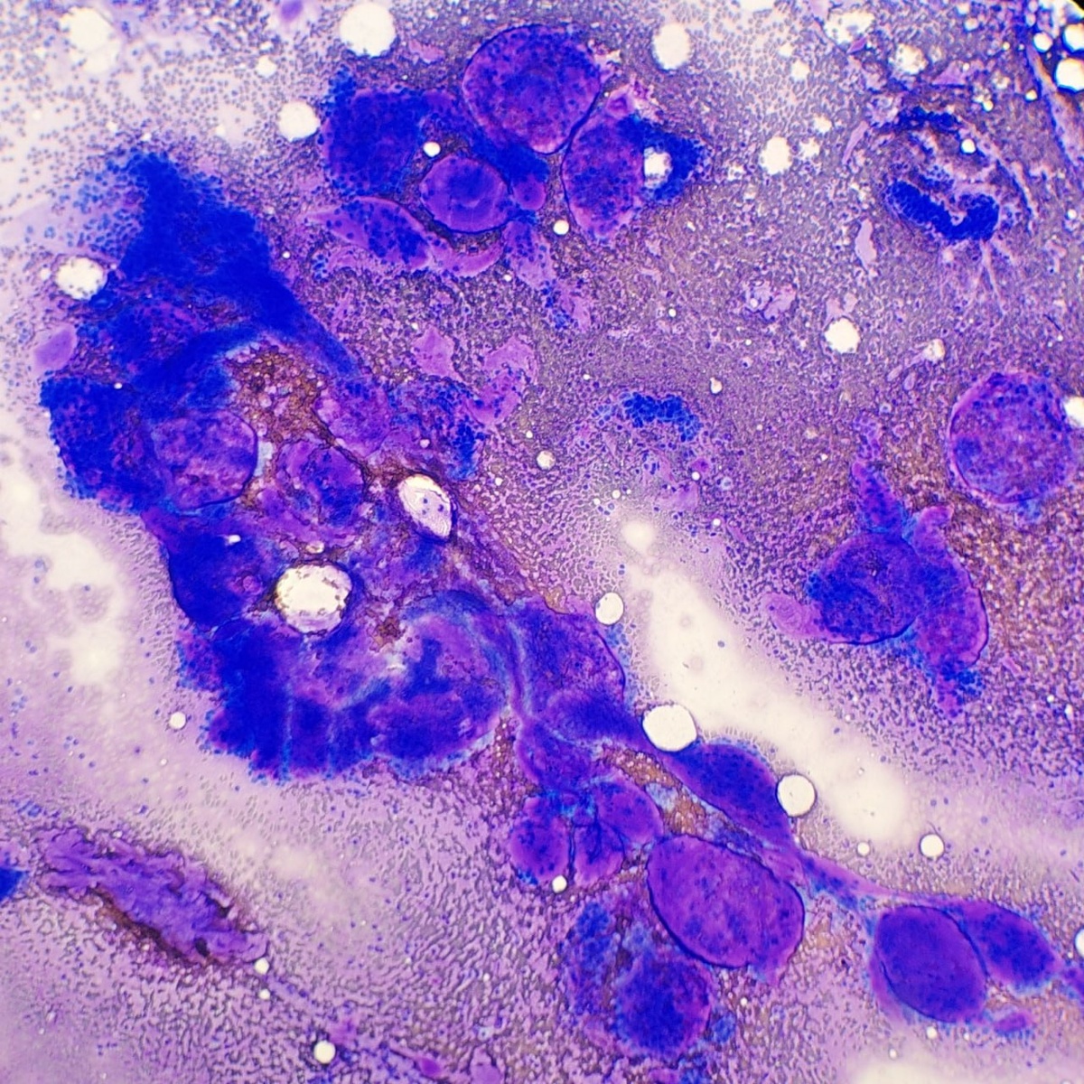
Материал ТАБ поднижнечелюстной слюнной железы, окрашенный Diff-Quick

Выявлена картина аденоидно-кистозного рака:

- Базалоидные клетки

- Характерные сферические образования гиалинового матрикса с чёткими контурами

Данная морфологическая картина отлична от картины плеоморфной аденомы, для которой характерен волокнистый матрикс, содержащий миоэпителиальные клетки.

#цитология #слюннаяжелеза

-2