Добавить в корзинуПозвонить
Найти в Дзене
Два Дантиста

«До» и «После», которые вдохновляют

Как тотальная реставрация зубов изменила жизнь нашего пациента | Кейс от «Два Дантиста»
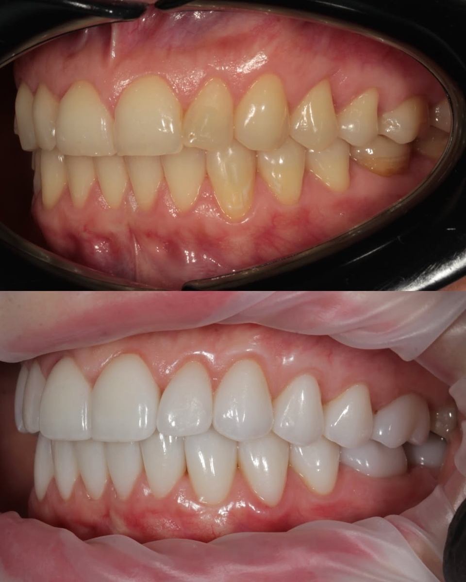
Иногда в кабинет стоматолога-ортопеда приходят не просто с проблемой зубов, а с запросом на изменение качества жизни. Именно такой историей мы хотим с вами поделиться. Сегодня любуемся результатом тотальной реставрации зубов, которую провел ведущий стоматолог-ортопед клиники «Два Дантиста» в Санкт-Петербурге —

Как тотальная реставрация зубов изменила жизнь нашего пациента | Кейс от «Два Дантиста»

Иногда в кабинет стоматолога-ортопеда приходят не просто с проблемой зубов, а с запросом на изменение качества жизни. Именно такой историей мы хотим с вами поделиться. Сегодня любуемся результатом тотальной реставрации зубов, которую провел ведущий стоматолог-ортопед клиники «Два Дантиста» в Санкт-Петербурге — Артур Викторович Лукьяненко.

Ситуация «ДО»:

-2

Пациентка обратилась к нам с комплексом проблем: сильно стертые зубы, нарушенная высота прикуса, старые пломбы и, как следствие, — неудовлетворенность своей улыбкой и дискомфорт при жевании. Эстетика и функция были существенно нарушены. Требовалось комплексное восстановление всех зубов.

План спасения улыбки:

Артур Викторович предложил решение — тотальное протезирование зубов с применением современных технологий. Работа была ювелирной и поэтапной:

1. Тщательная диагностика: включая цифровые снимки и фотопротокол, чтобы спланировать идеальный результат.

2. Функция прежде всего: Восстановление правильной окклюзии (прикуса) и высоты зубов — фундамент для долговечности и здоровья суставов.

3. Эстетика, созданная искусством: Подбор формы и цвета будущих зубов с учетом черт лица. Для реставрации были выбраны современные высокопрочные материалы.

4. Технологии в помощь: Использование цифрового протокола (компьютерное моделирование и фрезеровка) позволило добиться идеальной точности изготовления конструкций и их плотного прилегания.

Результат «ПОСЛЕ»:

-3

Смотрите на фото! Мы видим не просто новые зубы, а гармоничную, естественную и, главное, здоровую улыбку. Восстановлена не только эстетика, но и полноценная функция жевания. Пациентка обрела уверенность и комфорт, о которых давно мечтала.

Почему тотальная реставрация — это работа для топ-специалиста?

-4

Потому что это высший пилотаж в стоматологии. Такая работа требует от врача глубоких знаний в гнатологии (науке о прикусе), ортопедии, эстетики и владения цифровыми технологиями. Артур Викторович Лукьяненко блестяще сочетает все эти навыки, создавая улыбки, которые служат долго и радуют каждый день.

➡️ Ваша улыбка тоже заслуживает преображения! Неважно, требуется ли восстановление одного зуба или комплексное протезирование всех зубов.

Поспешите на консультацию к стоматологу-ортопеду Артуру Викторовичу Лукьяненко в клинике «Два Дантиста». На первом приеме мы проведем диагностику и составим подробный план лечения, который вернет вам красоту и здоровье.

Сделайте шаг к улыбке своей мечты — запишитесь на сайте или по телефону +7 (931) 002-03-17.