Найти Π² Π”Π·Π΅Π½Π΅

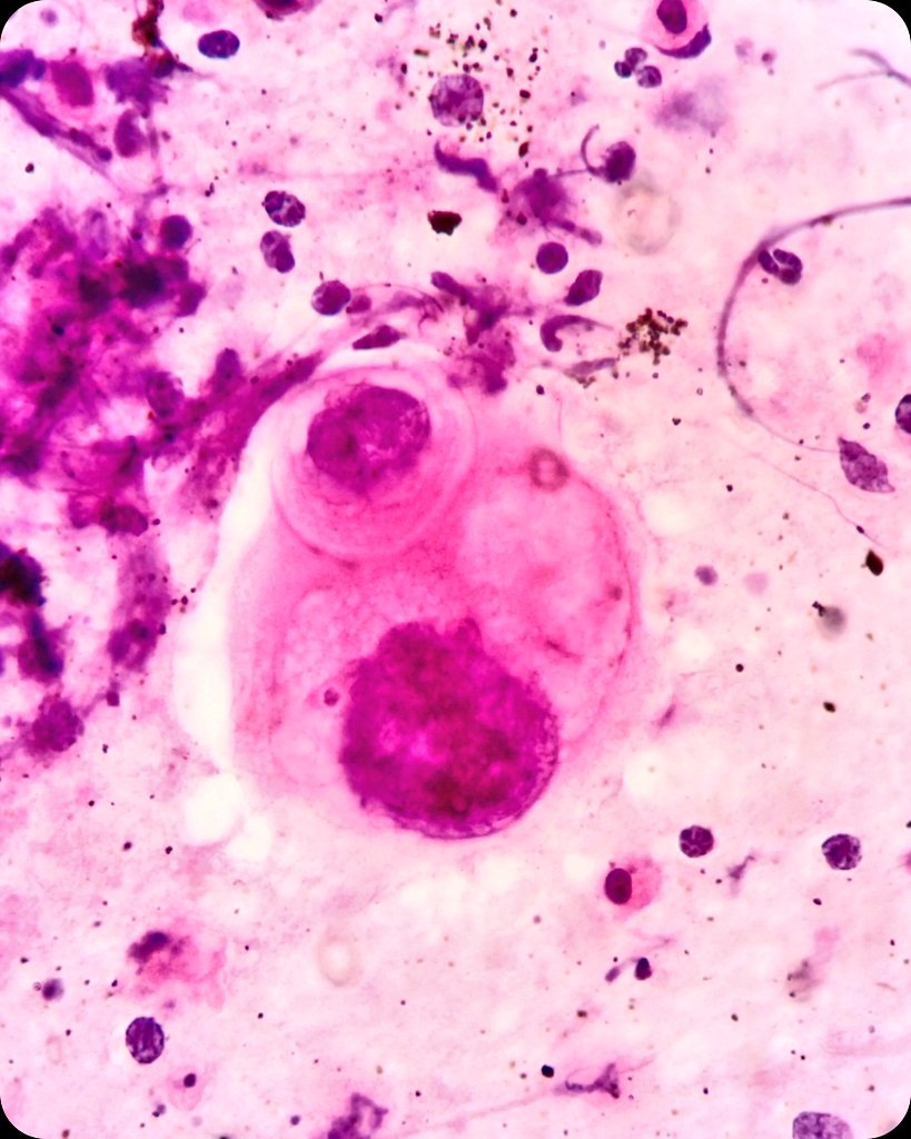
🫁 Π£Π²Π΅Π»ΠΈΡ‡Π΅Π½Π½Ρ‹ΠΉ лимфатичСский ΡƒΠ·Π΅Π» срСдостСния

πŸ’‰ΠœΠ°Ρ‚Π΅Ρ€ΠΈΠ°Π» Ρ‚Ρ€Π°Π½ΡΠ±Ρ€ΠΎΠ½Ρ…ΠΈΠ°Π»ΡŒΠ½ΠΎΠΉ ВАБ ΠΏΠΎΠ΄ ΠΊΠΎΠ½Ρ‚Ρ€ΠΎΠ»Π΅ΠΌ ΡΠ½Π΄ΠΎΠ±Ρ€ΠΎΠ½Ρ…ΠΈΠ°Π»ΡŒΠ½ΠΎΠ³ΠΎ ΡƒΠ»ΡŒΡ‚Ρ€Π°Π·Π²ΡƒΠΊΠ° (EBUS TBNA) ДиагностичСскоС Π·Π°ΠΊΠ»ΡŽΡ‡Π΅Π½ΠΈΠ΅ согласно систСмС БиднСйской классификации: ΠšΠ°Ρ‚Π΅Π³ΠΎΡ€ΠΈΡ 5 β€” ΠœΠ΅Ρ‚Π°ΡΡ‚Π°Ρ‚ΠΈΡ‡Π΅ΡΠΊΠ°Ρ плоскоклСточная ΠΊΠ°Ρ€Ρ†ΠΈΠ½ΠΎΠΌΠ° ΠžΠΊΡ€Π°ΡˆΠΈΠ²Π°Π½ΠΈΠ΅: Diff-Quick для ΠΌΠΎΠΌΠ΅Π½Ρ‚Π°Π»ΡŒΠ½ΠΎΠΉ цитологичСской ΠΎΡ†Π΅Π½ΠΊΠΈ ΠΏΡ€Π΅ΠΏΠ°Ρ€Π°Ρ‚Π° Π½Π° мСстС (Rapid on-site evaluation/ROSE), гСматоксилин-эозин для ΠΏΡ€ΠΎΡ‡ΠΈΡ… ΠΎΠ±Ρ€Π°Π·Ρ†ΠΎΠ² #цитология #Π»Π΅Π³ΠΊΠΎΠ΅

🫁 Π£Π²Π΅Π»ΠΈΡ‡Π΅Π½Π½Ρ‹ΠΉ лимфатичСский ΡƒΠ·Π΅Π» срСдостСния

πŸ’‰ΠœΠ°Ρ‚Π΅Ρ€ΠΈΠ°Π» Ρ‚Ρ€Π°Π½ΡΠ±Ρ€ΠΎΠ½Ρ…ΠΈΠ°Π»ΡŒΠ½ΠΎΠΉ ВАБ ΠΏΠΎΠ΄ ΠΊΠΎΠ½Ρ‚Ρ€ΠΎΠ»Π΅ΠΌ ΡΠ½Π΄ΠΎΠ±Ρ€ΠΎΠ½Ρ…ΠΈΠ°Π»ΡŒΠ½ΠΎΠ³ΠΎ ΡƒΠ»ΡŒΡ‚Ρ€Π°Π·Π²ΡƒΠΊΠ° (EBUS TBNA)

ДиагностичСскоС Π·Π°ΠΊΠ»ΡŽΡ‡Π΅Π½ΠΈΠ΅ согласно систСмС БиднСйской классификации: ΠšΠ°Ρ‚Π΅Π³ΠΎΡ€ΠΈΡ 5 β€” ΠœΠ΅Ρ‚Π°ΡΡ‚Π°Ρ‚ΠΈΡ‡Π΅ΡΠΊΠ°Ρ плоскоклСточная ΠΊΠ°Ρ€Ρ†ΠΈΠ½ΠΎΠΌΠ°

ΠžΠΊΡ€Π°ΡˆΠΈΠ²Π°Π½ΠΈΠ΅: Diff-Quick для ΠΌΠΎΠΌΠ΅Π½Ρ‚Π°Π»ΡŒΠ½ΠΎΠΉ цитологичСской ΠΎΡ†Π΅Π½ΠΊΠΈ ΠΏΡ€Π΅ΠΏΠ°Ρ€Π°Ρ‚Π° Π½Π° мСстС (Rapid on-site evaluation/ROSE), гСматоксилин-эозин для ΠΏΡ€ΠΎΡ‡ΠΈΡ… ΠΎΠ±Ρ€Π°Π·Ρ†ΠΎΠ²

#цитология #Π»Π΅Π³ΠΊΠΎΠ΅

-2
-3