Добавить в корзинуПозвонить
Найти в Дзене

Девочка перестала улыбаться в 11 лет: история одной 11-летней пациентки и то, что за этим скрывалось

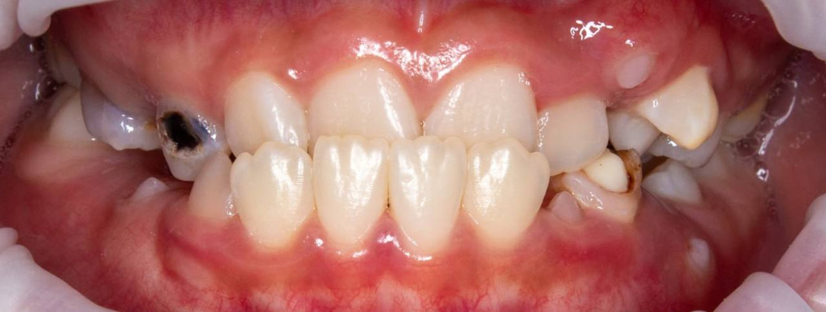
Запрос родителей звучал просто и очень тревожно: «Ребёнок больше не улыбается. Стесняется. Над ней смеются в школе». К этому добавлялись: — трудности с жеванием, — проблемы с откусыванием пищи, — нарушение носового дыхания. Осмотр и диагностика За внешне «просто неровной улыбкой» скрывалась серьёзная функциональная проблема: — нижняя челюсть полностью перекрывала верхнюю, — выраженное смещение челюсти вбок, — формирующаяся асимметрия лица, — перегрузка мышц и сустава. Мы начали с полной диагностики и санации. Сохранили 8-е зубы, что при 3 классе прикуса удаётся далеко не всегда и требует функционального мышления, а не шаблонных решений. После большого функционального анализа (аксиография, анализ моделей в артикуляторе, виртуальный сетап и др) было проведено планирование этапов лечения пациента. ВАЖНО: лучший момент для коррекции прикуса у детей — до 7 лет. Диагностика показала 🔸 полный перекрёстный прикус во фронтальном и жевательных отделах 🔸 критически сниженную высоту нижней трет

Запрос родителей звучал просто и очень тревожно:

«Ребёнок больше не улыбается. Стесняется. Над ней смеются в школе».

К этому добавлялись:

— трудности с жеванием,

— проблемы с откусыванием пищи,

— нарушение носового дыхания.

Осмотр и диагностика

За внешне «просто неровной улыбкой» скрывалась серьёзная функциональная проблема:

— нижняя челюсть полностью перекрывала верхнюю,

— выраженное смещение челюсти вбок,

— формирующаяся асимметрия лица,

— перегрузка мышц

и сустава.

-2

Мы начали с полной диагностики и санации.

Сохранили 8-е зубы, что при 3 классе прикуса удаётся далеко не всегда и требует функционального мышления, а не шаблонных решений.

После большого функционального анализа (аксиография, анализ моделей в артикуляторе, виртуальный сетап и др) было проведено планирование этапов лечения пациента.

ВАЖНО: лучший момент

для коррекции прикуса у детей — до 7 лет.

Диагностика показала

🔸 полный перекрёстный прикус во фронтальном

и жевательных отделах

🔸 критически сниженную высоту нижней трети лица

🔸 недоразвитие верхней челюсти

🔸 доминирование нижней челюсти

🔸 суженные зубные ряды

🔸 латеральное смещение нижней челюсти

Лечение

Пациентка проходила лечение исключительно

на функциональных аппаратах:

🔸 функциональные аппараты

🔸 активатор

🔸 накладки

Без брекетов, удаления зубов — в сотрудничестве с физиологией организма, а не против него.
Без брекетов, удаления зубов — в сотрудничестве с физиологией организма, а не против него.

Лечение длилось 1,5 года.

Через 7 месяцев после завершения:

— результат стабилен,

— дыхание и жевание нормализовались,

— изменился овал лица,

— лицо гармонизировалось,

— девочка снова улыбается.

-4

И посмотрите, какие красивые у пациентки свои зубы после коррекции прикуса!

-5

Больше работ на сайте: https://uzunyandental.ru/