Найти в Дзене

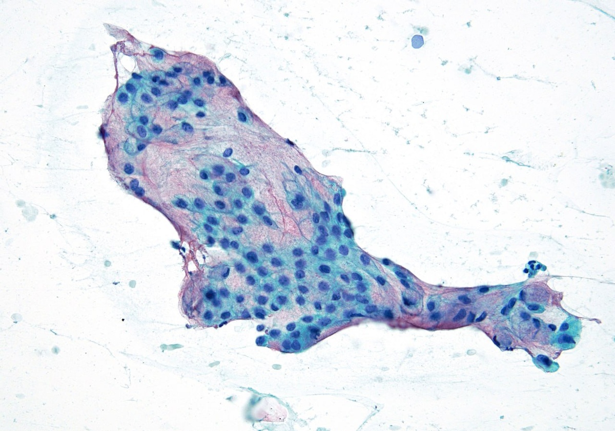
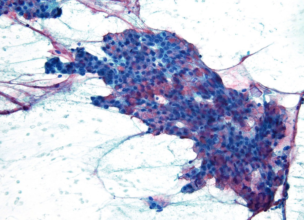
Муцинозная аденокарцинома лёгкого, выявленная при ТАБ нижних долей обоих лёгких

Цитологические препараты зачастую имеют обманчиво доброкачественную цитоморфологическую картину. Для уточнения диагноза более информативен метод клеточного блока. Гистологическое исследование подтвердило инвазивный рак. Данная опухоль встречается крайне редко — менее чем в 1% случаев. #цитология #легкое

Муцинозная аденокарцинома лёгкого, выявленная при ТАБ нижних долей обоих лёгких.

Цитологические препараты зачастую имеют обманчиво доброкачественную цитоморфологическую картину.

Для уточнения диагноза более информативен метод клеточного блока.

Гистологическое исследование подтвердило инвазивный рак.

Данная опухоль встречается крайне редко — менее чем в 1% случаев.

#цитология #легкое

-2
-3