Найти в Дзене

Гигиена полости рта, лечение кариеса, художественная реставрация передних зубов и бюгельное протезирование боковых зубов

Проблема: в Семейный стоматологический центр «Диал-Дент» обратился Николай 35 лет с пожеланием устранить серьезные стоматологические проблемы: передние зубы с устаревшими некрасивыми пломбами, в боковых отделах отсутствуют жевательные зубы, плохая гигиена (много мягкого налета и зубного камня). Решение: проведена профессиональная чистка зубов Air Flow, больные зубы вылечены с применением микроскопа, не подлежащие лечению зубы удалены, выполнена реставрация передних зубов, отсутствующие зубы восстановлены бюгельным съемным протезом. Стоматологическое здоровье восстановлено, улыбка стала красивой и привлекательной. На консультации Николай рассказал стоматологу-ортопеду, что работает в ресторанном бизнесе. Внешность и уверенная улыбка в этой сфере деятельности – это часть профессионального этикета. Состояние передних зубов мешало свободно общаться с гостями и коллегами. Отсутствие боковых жевательных зубов создавало дискомфорт во время еды. Стоматолог-ортопед С.В. Цукор провел осмотр, изу
Оглавление

Проблема: в Семейный стоматологический центр «Диал-Дент» обратился Николай 35 лет с пожеланием устранить серьезные стоматологические проблемы: передние зубы с устаревшими некрасивыми пломбами, в боковых отделах отсутствуют жевательные зубы, плохая гигиена (много мягкого налета и зубного камня).

Решение: проведена профессиональная чистка зубов Air Flow, больные зубы вылечены с применением микроскопа, не подлежащие лечению зубы удалены, выполнена реставрация передних зубов, отсутствующие зубы восстановлены бюгельным съемным протезом. Стоматологическое здоровье восстановлено, улыбка стала красивой и привлекательной.

проведена композитная реставрация передних зубов и бюгельное протезирование
проведена композитная реставрация передних зубов и бюгельное протезирование

На первичной консультации

На консультации Николай рассказал стоматологу-ортопеду, что работает в ресторанном бизнесе. Внешность и уверенная улыбка в этой сфере деятельности – это часть профессионального этикета. Состояние передних зубов мешало свободно общаться с гостями и коллегами. Отсутствие боковых жевательных зубов создавало дискомфорт во время еды. Стоматолог-ортопед С.В. Цукор провел осмотр, изучил компьютерную томограмму. В результате диагностики выявлены 2 зуба, подлежащих удалению (корень верхнего зуба слева и нижний дальний зуб слева).

неудовлетворительная эстетика передних зубов и отсутствие верхних жевательных зубов
неудовлетворительная эстетика передних зубов и отсутствие верхних жевательных зубов

Помимо этого врач отметил неудовлетворительную гигиену, зубной налет и камень, особенно на внутренней стороне нижних зубов, местами - воспаленные десны.

стоматолог-ортопед С.В. Цукор
стоматолог-ортопед С.В. Цукор

Передние зубы отреставрированы очень давно, пломбы потеряли герметичность, также наблюдается пигментированный налет курильщика и кариес, сколы режущего края, неровные, несимметричные резцы. Между центральными резцами щель, которую частично «прикрывает» зубной налет. Требуется серьезная работа по восстановлению эстетики передних зубов.

Также необходимо восстановить отсутствующие зубы. Врач объяснил Николаю, что «золотым стандартом» современной стоматологии остается имплантация зубов: она позволяет восстановить зубы раз и навсегда, не затрагивая соседние зубы и полностью имитируя корень зуба. Однако в некоторых случаях, имплантация без наращивания костного объема в зоне установки импланта невозможна, а эта процедура увеличивает стоимость и сроки лечения в разы. Если бюджет ограничен, а восстановить жевательную функцию и уверенную улыбку нужно в кратчайшие сроки, то бюгельное протезирование зубов становится лучшей альтернативой установке дентальных имплантов. Съемный бюгельный протез - это надежный, эстетичный и гораздо более доступный способ вернуть качество жизни, не прибегая к сложным хирургическим операциям.

Комментарий хирурга-имплантолога Т.Р. Жазыкоева: «Главной задачей было найти баланс между эстетикой, надежностью и бюджетом. Имплантация зубов была бы идеальным вариантом, но из-за дефицита кости она потребовала бы серьезных финансовых вложений, к которым пациент не готов. Совместно с командой врачей было принято решение отказаться от имплантации в пользу бюгельного протеза на верхнюю челюсть».

План лечения

1. Профессиональная гигиена, лечение кариеса, художественная реставрация передних зубов.

2. Удаление проблемных зубов.

3. Снятие слепков, моделирование бюгельного протеза.

4. Примерка и сдача протеза.

Подготовка к протезированию

Работа над новой улыбкой началась с визита к гигиенисту. При наличии большого количества зубных камней и налета проводить любое лечение или протезирование бессмысленно и даже опасно: инфекция в полости рта может привести к воспалению десен и потере тех зубов, что еще сохранились. С помощью ультразвука и Air Flow была проведена полная очистка зубов на аппарате Air Flow Prophylaxis Master: удалены твердые и мягкие зубные отложения и пигментированный налет. Это не только оздоровило десны и очистило зубы, но и в дальнейшем позволило стоматологу-терапевту, работая с истинным оттенком эмали, точно определить цвет реставраций.

лечение и реставрация зубов с микроскопом
лечение и реставрация зубов с микроскопом

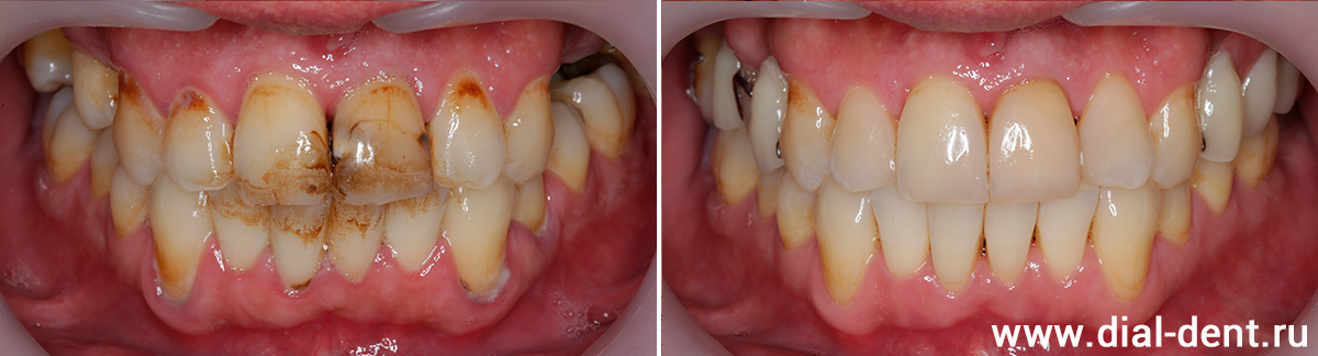
Стоматолог-терапевт заменила старые пломбы и выполнила прямую художественную реставрацию фронтальной группы зубов. Это кропотливая работа, при которой стоматолог, подобно скульптору, послойно восстанавливает форму и цвет зуба непосредственно во рту пациента с помощью инновационных композитных материалов. Работа выполняется с применением стоматологического микроскопа, чтобы максимально сохранить здоровую ткань зубов. Старые, потемневшие пломбы были удалены и вместо них установлены новые, имитирующие естественную прозрачность эмали. В результате реставрации четырех передних зубов зона улыбки преобразилась (устранены сколы, закрыта щель, восстановлена симметрия), что вернуло Николаю красоту и уверенность в себе.

Помимо этого, врач-стоматолог пролечила кариес нижних жевательных зубов.

до и после реставрации зубов
до и после реставрации зубов

Обратите внимание на состояние десен в зоне шеек зубов – цвет розовый и блестящий, что говорит об их здоровом состоянии, после профессиональной чистки ушли все признаки воспаления, которые наблюдались при первичном приеме. Так бывает не всегда. Если пациент очень сильно затянул с посещением гигиениста, то одна только чистка может лишь немного улучшить состояние десен, но не сможет восстановить полностью их здоровье, в запущенных случаях может понадобиться помощь стоматолога-пародонтолога. В данной ситуации подключение дополнительного специалиста не потребовалось.

Протезирование зубов

После того как терапевтическая подготовка была завершена, начался этап протезирования. Стоматолог-ортопед снял слепки, которые стали основой для создания будущей конструкции. Важное преимущество клиники «Диал-Дент» - наличие собственной зуботехнической лаборатории. Это позволяет стоматологу-ортопеду и зубному технику работать в тандеме: мастер может лично увидеть пациента, оценить особенности его мимики и прикуса, что практически исключает ошибки при подгонке зубного протеза.

изготовление бюгельного зубного протеза в зуботехнической лаборатории "Диал-Дент"
изготовление бюгельного зубного протеза в зуботехнической лаборатории "Диал-Дент"

На модели будущего протеза было проведено тщательное планирование: специалисты рассчитали расположение дуги и кламмеров (креплений) так, чтобы нагрузка распределялась равномерно на всю челюсть, не перегружая оставшиеся зубы. Использование современных легких сплавов позволило сделать бюгель максимально тонким. Благодаря тому, что весь цикл производства проходил в одном месте, это позволило существенно сократить сроки на изготовление протеза и гарантировало высокое качество изготовления, что обеспечило идеальную посадку протеза с первой примерки.

бюгельный съемный протез на модели
бюгельный съемный протез на модели
бюгельный протез верхних зубов
бюгельный протез верхних зубов
бюгельный съемный зубной протез
бюгельный съемный зубной протез

Обратите внимание на небольшой объем нёбной части протеза. В этом преимущество и основное отличие бюгельного протеза для верхней челюсти от обычного съемного протеза, который полностью закрывает верхнее нёбо.

Результат работы

Николай получил красивую улыбку за разумные деньги, восстановил жевательную функцию и готов к новым карьерным свершениям.

Комментарий врача-ортопеда С.В. Цукора: «Плюсы бюгеля: сохраняется дикция – это важно для работы в ресторанном бизнесе, сохраняются вкусовые ощущения, протез занимает минимум места во рту – это необходимо для личного комфорта. Мы спроектировали протез так, чтобы крепления были скрыты. Теперь парень может смело улыбаться клиентам, не переживая, что кто-то заметит искусственные зубы».

Ниже фото бюгеля на зубах пациента, незаметные снаружи крючки точно прилегают к зубам, плотно и надежно удерживая протез на челюсти.

до и после реставрации передних зубов композитом и бюгельного протезирования верхних зубов
до и после реставрации передних зубов композитом и бюгельного протезирования верхних зубов
до и после реставрации передних зубов композитом и бюгельного протезирования верхних зубов
до и после реставрации передних зубов композитом и бюгельного протезирования верхних зубов
до и после реставрации передних зубов композитом и бюгельного протезирования верхних зубов
до и после реставрации передних зубов композитом и бюгельного протезирования верхних зубов
до и после гигиенической чистки и лечения кариеса
до и после гигиенической чистки и лечения кариеса
до и после реставрации передних зубов композитом и бюгельного протезирования верхних зубов
до и после реставрации передних зубов композитом и бюгельного протезирования верхних зубов
до и после реставрации передних зубов композитом и бюгельного протезирования верхних зубов
до и после реставрации передних зубов композитом и бюгельного протезирования верхних зубов
до и после реставрации передних зубов композитом и бюгельного протезирования верхних зубов
до и после реставрации передних зубов композитом и бюгельного протезирования верхних зубов
до и после реставрации передних зубов композитом и бюгельного протезирования верхних зубов
до и после реставрации передних зубов композитом и бюгельного протезирования верхних зубов
до и после реставрации передних зубов композитом и бюгельного протезирования верхних зубов
до и после реставрации передних зубов композитом и бюгельного протезирования верхних зубов

Гигиена после лечения зубов

Установка бюгельного протеза и реставрация зубов – это отличная инвестиция в себя, но важно понимать: без должного ухода даже самая качественная работа может прийти в негодность. Чтобы ситуация с зубным налетом и воспалением десен не повторилась, необходимо соблюдать рекомендация гигиенистов, которые подобрали индивидуальный набор для ухода (правильную щетку, специализированную зубную пасту, ополаскиватель и ирригатор), составили график профессиональной гигиены. Особенно это критично для курильщиков: «налет курильщика» практически невозможно удалить дома, не повредив эмаль или полировку протеза. Плохая гигиена может привести к потере опорных зубов, на которых держится протез, и тогда понадобится повторное протезирование. Соблюдение рекомендации специалистов «Диал-Дент», наоборот, поможет сохранить зубы здоровыми, а бюгельную конструкцию – надежной. Подробнее о программе профилактики «Зубы на всю жизнь» читайте тут.

Восстановление эстетики улыбки и функции жевания выполнили специалисты «Диал-Дент»

Стоматолог-ортопед С.В. Цукор – диагностика, составление плана лечения, бюгельное протезирование, снятие слепков, моделирование протеза.

Стоматолог-терапевт О.А. Щелканова – художественная реставрация зубов, устранение кариеса под микроскопом.

Хирург-имплантолог Т.Р. Жазыкоев – удаление зубов.

Гигиенист стоматологический Е.П. Смирнова – комплексная профессиональная гигиена полости рта с подбором индивидуальных средств и обучением их правильному применению.

Зубной техник Е.Н. Головин – изготовление бюгельного протеза.

Ассистенты стоматолога – М. Эркимбекова, О. Ноздрина, А. Арзуманян.

Другие примеры работ специалистов Семейного стоматологического центра «Диал-Дент» смотрите тут.

Записаться на консультацию в Семейный стоматологический центр "Диал-Дент" можно по телефону +7 (495) 032 23 64.