Найти в Дзене

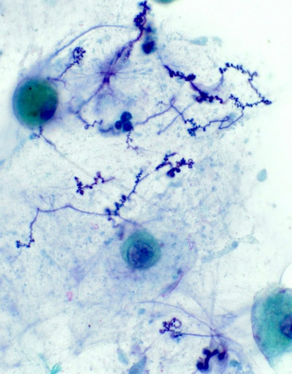
Спирали Куршмана представляют собой микроскопические спирали уплотненной слизи, которые могут обнаруживаться в отделяемом дыхательных путей

Бронхоальвеолярный лаваж, объектив 20x. #цитологияжидкостей #назаметку #легкое #цитология #спиральКуршмана

Спирали Куршмана представляют собой микроскопические спирали уплотненной слизи, которые могут обнаруживаться в отделяемом дыхательных путей.

Бронхоальвеолярный лаваж, объектив 20x.

#цитологияжидкостей #назаметку #легкое #цитология #спиральКуршмана