Добавить в корзинуПозвонить
Найти в Дзене

Известный нейрохирург спас молодого медика в Карелии

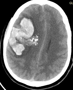
Пациент А. совсем молодой человек, чуть старше 20 лет — медик, будущий врач. Вечером, после рабочего дня его привезли в Республиканскую больницу свои же коллеги по скорой помощи. Об этом порталу «Карелия.Ньюс» рассказал нейрохирург Юрий Кивелёв. Родители нашли своего сына дома в полубессознательном состоянии. Левая сторона тела была парализована. Пять лет назад еще в подростковом возрасте у пациента обнаружили сложную врождённую патологию сосудов мозга — АВМ (артерио-венозная мальформация). В центральных клиниках Санкт-Петербурга сделали внутрисосудистое вмешательство, но из-за опасений риска осложнений остановились, а АВМ фактически осталась без изменений. Потом сделали облучение в другом центре, которое не принесло результата. Сказали — «живите спокойно дальше…».
«К сожалению, вовремя пациенту не было предложено хирургическое лечение. В большинстве случаев только оно на самом деле позволяет удалить АВМ радикально и вместе с ним убрать риск кровоизлияния в мозг. Все остальные методы

Пациент А. совсем молодой человек, чуть старше 20 лет — медик, будущий врач. Вечером, после рабочего дня его привезли в Республиканскую больницу свои же коллеги по скорой помощи. Об этом порталу «Карелия.Ньюс» рассказал нейрохирург Юрий Кивелёв.

Родители нашли своего сына дома в полубессознательном состоянии. Левая сторона тела была парализована. Пять лет назад еще в подростковом возрасте у пациента обнаружили сложную врождённую патологию сосудов мозга — АВМ (артерио-венозная мальформация).

В центральных клиниках Санкт-Петербурга сделали внутрисосудистое вмешательство, но из-за опасений риска осложнений остановились, а АВМ фактически осталась без изменений. Потом сделали облучение в другом центре, которое не принесло результата. Сказали — «живите спокойно дальше…».


«К сожалению, вовремя пациенту не было предложено хирургическое лечение. В большинстве случаев только оно на самом деле позволяет удалить АВМ радикально и вместе с ним убрать риск кровоизлияния в мозг. Все остальные методы важны, но редко дают тот истинный долгосрочный эффект, который нужен пациентам, чтобы жить без страха кровоизлияния. И у нашего пациента оно всё-таки произошло… Уже через несколько часов от начала симптомов он оказался на операционном столе. В этот момент появились признаки, что ситуация близка к катастрофе и из-за резкого повышения внутричерепного давления возможен летальный исход еще до операции, поэтому действовать необходимо было быстро», — рассказал врач.
-2

Юрий Владимирович оперативно составил план лечения. Благодаря большому опыту лечения сосудистых заболеваний мозга он смог сразу же оценить всю серьёзность происходящего и осуществил основные этапы нейрохирургического лечения.

Сначала удалили гематому, чтобы стабилизировать ситуацию и убрать угрозу жизни пациента. На следующий день специалист эндоваскулярного отделения Республиканской больницы выполнил ангиографию сосудов и введение специального клея в сосуды АВМ для подготовки к основному хирургическому этапу.

Третьим этапом с помощью микрохирургической техники доктор Кивелёв выполнил тотальное удаление АВМ открытым способом. Пациента после нескольких дней медикаментозной комы постепенно пробудили и через неделю перевели из палаты интенсивной терапии в нейрохирургический стационар.

Контрольные снимки подтвердили радикальное удаление АВМ. Пациент в течение всего пары недель стал самостоятельно ходить и от тотального паралича левой половины тела осталась лишь незначительная слабость в левой руке.

«С помощью активной реабилитации и эту проблему, скорее всего, удастся решить, что позволит вернуться к полноценной жизни и учёбе. Учитывая, что пациент учится на медика, такой опыт скорее всего значительно повлияет на его мотивацию стать хорошим профессионалом. Хирургия АВМ по свой сложности превосходит практически все остальные нейрохирургические операции. Лечение патологии требует тщательнейшего планирования и высокого уровня технического мастерства. Только благодаря этому возможно минимизировать операционные риски.При достаточном опыте в сосудистой нейрохирургии удалить АВМ можно эффективно и достаточно безопасно, когда риски операции существенно меньше рисков самой АВМ (например, кровоизлияние или эпилепсия). Но кроме самой операции не менее важны и все остальные этапы — своевременная диагностика, правильное лечение в палате интенсивной терапии и стационарном отделении, а также интенсивная реабилитация. Когда все звенья в этой цепочке связаны правильно, и все специалисты действительно знают, что делают, это позволяет получить наилучшие результаты. Пример нашего пациента ярко подтверждает такой подход», — поделился с нашим изданием доктор.