Добавить в корзинуПозвонить
Найти в Дзене
МАРС53

Ровные зубы и уверенная улыбка — мечта, которую легко осуществить!

Ровные зубы и счастливая уверенная улыбка — отличное желание, которое можно загадать под бой курантов.
Пока Дед Мороз думает, как его исполнить, рекомендуем уже сейчас записаться на бесплатную консультацию и сделать первый шаг навстречу улыбке мечты. Как наша пациентка, которая уже радуется результату.
Кейс: «красивое преображение после брекет-системы»
Врач-стоматолог: Маргарита Андреевна

Ровные зубы и счастливая уверенная улыбка — отличное желание, которое можно загадать под бой курантов.

Пока Дед Мороз думает, как его исполнить, рекомендуем уже сейчас записаться на бесплатную консультацию и сделать первый шаг навстречу улыбке мечты. Как наша пациентка, которая уже радуется результату.

Кейс: «красивое преображение после брекет-системы»

Врач-стоматолог: Маргарита Андреевна

-2

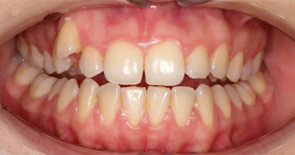
Пациентка обратилась с жалобой на высоко расположенный клык верхней челюсти. После диагностики были выявлены следующие проблемы:

– Супраположение клыка верхней челюсти с правой стороны;

– Несовпадение центральных линий;

– Неправильное смыкание боковых зубов;

– Ротации отдельных зубов;

– Небольшая скученность передних зубов нижнего зубного ряда.

-3

Выравнивание зубных рядов — первым шагом мы выровняли верхний и нижний ряды зубов. Для этого использовали специальную раскрывающую пружину и тягу к мини-винту, что позволило получить место для высоко расположенного клыка.

Внедрение клыка в ряд — после создания достаточного пространства, клык постепенно включили в зубной ряд, делая это с помощью дуги и эластических межчелюстных тяг.

Финальная корректировка — были скорректированы ротации зубов, положение клыка, а также достигнуто правильное смыкание зубов и совпадение центральных линий.

-4

Как результат, наша пациентка получила ровную, красивую улыбку, которая радует ее и дарить уверенность в себе. Такой пример показывает, что современные методы ортодонтического лечения позволяют достигать отличных результатов и превращать мечту о красивых зубах в реальность.

Если хотите начать путь к своей идеальной улыбке, запишитесь на бесплатную консультацию уже сегодня!