Найти в Дзене

Как убрать остеофиты и экзостозы?

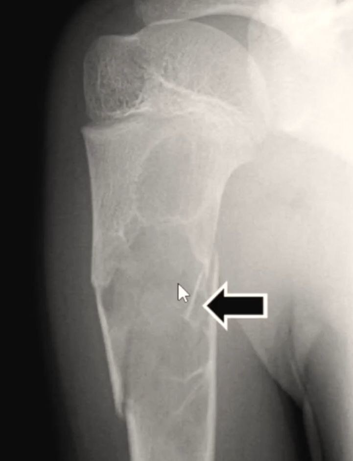
Слова «остеофит» и «экзостоз» не всем понятны, и многие не ассоциируют его с собой. Но известная пяточная шпора – это тоже остеофит, нарост на кости. Остеофиты и экзостозы могут формироваться и на других костях нашего тела, и, к сожалению, доставляют неудобства. Как убрать остеофиты и экзостозы? Такой вопрос часто возникает у тех, кому поставлен данный диагноз. Поговорим про остеофиты и экзостозы. Как выглядят остеофиты и экзостозы? В классической парадигме остеофиты и экзостозы рассматриваются как патологический процесс, что-то пошло не так, и сформировался нарост. На картинках мы видим, что как будто выросла новая кость, маленькая косточка отпачковывается от большой. Можно предположить, что это некая неоплазия, новое образование, иначе говоря. То есть клетки вдруг решили избыточно поделиться. И так как это кальцифицированное образование, то мы могли бы предположить, что это избыток кальция, как это сейчас рассматривает традиционная парадигма. Но она не объясняет, почему экзостоз выр

Слова «остеофит» и «экзостоз» не всем понятны, и многие не ассоциируют его с собой. Но известная пяточная шпора – это тоже остеофит, нарост на кости. Остеофиты и экзостозы могут формироваться и на других костях нашего тела, и, к сожалению, доставляют неудобства.

Как убрать остеофиты и экзостозы? Такой вопрос часто возникает у тех, кому поставлен данный диагноз. Поговорим про остеофиты и экзостозы.

Как выглядят остеофиты и экзостозы?

В классической парадигме остеофиты и экзостозы рассматриваются как патологический процесс, что-то пошло не так, и сформировался нарост.

На картинках мы видим, что как будто выросла новая кость, маленькая косточка отпачковывается от большой.

Можно предположить, что это некая неоплазия, новое образование, иначе говоря. То есть клетки вдруг решили избыточно поделиться. И так как это кальцифицированное образование, то мы могли бы предположить, что это избыток кальция, как это сейчас рассматривает традиционная парадигма. Но она не объясняет, почему экзостоз вырос именно в этом месте и почему именно сейчас? Что вообще там происходило? Это объясняет только моя любимая парадигма ГНМ. Германская новая медицина мне позволила абсолютно полностью понять природу остеофитов и экзостозов и разобраться, что вообще с этим всем делать и делать ли.

Как формируются остеофиты и экзостозы?

После того как случается травма, перелом, или происходит разрешение длительного конфликта, в котором задействована определенная кость, формируется остеофит или экзостоз – это клетка плюс, возникающая на стадии исцеления. Биологическая программа здесь направлена на усиление ткани, которая была повреждена. Так как это опорно-двигательный аппарат, у него есть определённые механизмы восстановления. Его задача – это опора. Если он был повреждён, если эта опора была повреждена, то она должна быть усилена в том месте повреждения.

-2

И там, где кость поломалась, где произошла травма, возникает большой прилив клеток крови, это кровоизлияние. Здесь очень много нейтрофилов и очень много иммунных клеток. Возникает большая клеточная колония, которая начинает активно продуцировать воспалительный экссудат, так называемый. Здесь макрофаги, которые обеспечивают фагоцитоз тромба и мелких фрагментов костной ткани. Они выделяют гиалуроновую кислоту, они выделяют белковый композит, который в дальнейшем станет костной мозолью. Это так называемый каллус, и он достаточно неравномерно распределяется вне костной ткани и постепенно сосудики прорастают в эту ткань.

Долгое время считалось, что кости не кровоснабжены. Сейчас доказано, что сама костная ткань кровоснабжается, и за счёт этого происходит её ремоделирование. Эти сосуды очень маленькие и, соответственно, они неочевидны при различных анатомических исследованиях или методах визуализации.

-3

И когда у нас формируется каллус, даже если это была трубчатая кость, длинная кость, плоская кость, сначала на месте каллуса формируется хрящевое образование. Потом этот хрящ превращается в губчатую костную структуру. То есть это косточка с множеством трабекул, трубочек, иначе говоря. И в процессе удаляются фрагменты гематомы. И вот то, что получилось, называется костная мозоль. происходит кальцификация каллуса, и формируется костная мозоль.

Ремоделирование занимает до нескольких лет. То есть, если заживление (полноценное формирование костной мозоли) происходит недели или месяцы, то окончательное ремоделирование занимает до нескольких лет, в зависимости от того, какая кость повреждена, и у кого – взрослый это или ребёнок.

Когда можно удалять остеофиты и экзостозы?

Допустим, у нас остеофит в позвоночнике, или остеофит где-нибудь на суставной поверхности. Если вы его удалите механическим путём, хирургическим путём или путём ударной волны с этого места до того, как он закончил своё ремоделирование, как вы считаете, что произойдёт?

Когда здесь ещё большое количество активных клеток, когда здесь ещё фаза ремоделирования, произойдёт снова фаза воспаления, снова увеличение клеточной колонии и снова рост тканей на этом же месте. То есть, если вы его удалите раньше, чем через год после момента его появления, то вы получите травму на травму, такая травма в квадрате. И снова у нас произойдут все те же самые процессы. Поэтому если вы решаете удалять нарост, то целесообразно делать это после полного формирования.

Если удалить раньше, чем произойдёт полное ремоделирование, мы получим снова экзостоз на том же месте, потому что у нас идёт процесс, у нас ещё активны клетки. Если в этом же месте травмировано, что делает организм? Он говорит: «Так, подождите, если уже тут у нас вторая, третья травма, надо больше наращивать, больше, надо сильнее укреплять эту зону, раз она испытывает такую нагрузку и постоянно повреждается». И вместо одного экзостоза сформируется два или три. И поэтому, если вы хотите оперативным путём убрать экзостозы, если они что-то задевают у вас, повреждают фасцию, или ещё что-то, то нужно дождаться полного формирования экзостоза, а до этого момента максимально снять нагрузку с этих тканей.

Экзостоз мы убираем тогда, когда он окончательно сформировался. Как правило, это происходит оперативным путём или путём ударно-волновой терапии. Надо понимать, что ударно-волновая терапия может оставить микротрещины, которые тоже дадут неровности, которые дадут микроостеофиты на поверхности существующего экзостоза. Если экзостоз не мешает, то удалять его нет необходимости, потому что он уже образовался, новое на нём не вырастет, это некая форма усиления.

Как понять, что экзостоз уже сформирован?

Только по времени вы поймёте, что экзостоз сформирован. У нас нет таких типов диагностики, когда можно посмотреть один раз и определить, что это экзостоз и он сформирован. Чем он плотнее, тем он сформированнее, условно говоря. Чем он лучше светится, тем он сформированней. Но вы не можете с одного рентгеновского снимка понять, он закончил своё формирование, или не закончил. Только по времени с того момента, когда появились боли или когда был впервые обнаружен.

-4

Работает ли гомеопатия с остеофитами и экзостозами?

Когда мы гомеопатически смотрим на кейс с экзостозами, то у классических гомеопатов экзостозы рассматриваются как нарушение кальциевого обмена и как необходимость препарата калькарея флюорика и убирание всякого кальция из диеты.

Когда экзостоз уже сформировался, на кальций вообще по барабану, потому что объём экзостоза определяется объёмом каллуса, который попал во внекостное пространство. Соответственно, если мы говорим про экзостозы, а объём каллуса определяется объёмом предшествующего конфликта или разрушения, и тем, насколько сильно будет повреждена надкостница или она уже повреждена в момент восстановления. От кальция это не зависит в этот момент вообще никак.

Сформировавшийся экзостоз убрать калькареей флюорикой невозможно, потому что он уже сформировался, для организма это уже существующая структура. Она сформировалась не просто так, она сформировалась как механизм усиления. Организм никогда не откажется от механизма усиления, потому что там, где была травма, там усиливается. И калькарея флюорика может подействовать только тогда, когда это процесс воспаления, и когда здесь только белковая ткань; в этом случае калькарея флюорика может выступить как регулятор костной ткани, потому что это белковая ткань, относящаяся к костной ткани, и экзостоз может быть поменьше, но не обязательно.

Существующий экзостоз убрать можно только методом травматизации – или оперативным вырезанием, или ударной волной и никак по-другому. Но для этого нужно дождаться, чтобы он точно созрел, иначе на этом месте он вырастет ещё больше.

Сформировавшиеся остеофиты на поверхностях позвоночных дисков вы можете убрать ударно-волновым методом, но если они где-то с края, то их не стоит убирать. Единственное, что можно сделать – это предотвратить образование остеофитов вновь, то есть обеспечить снижение нагрузок и обеспечить себе полноценное питание для того, чтобы не было разрушения костной ткани, чтобы не было формирования новых остеофитов.

Обсуждение этой и других тем, касающихся здоровья, в чате моего ТГ-канала. Приходите))