Найти в Дзене

Ортодонтическое лечение - это путь, а не быстрый результат

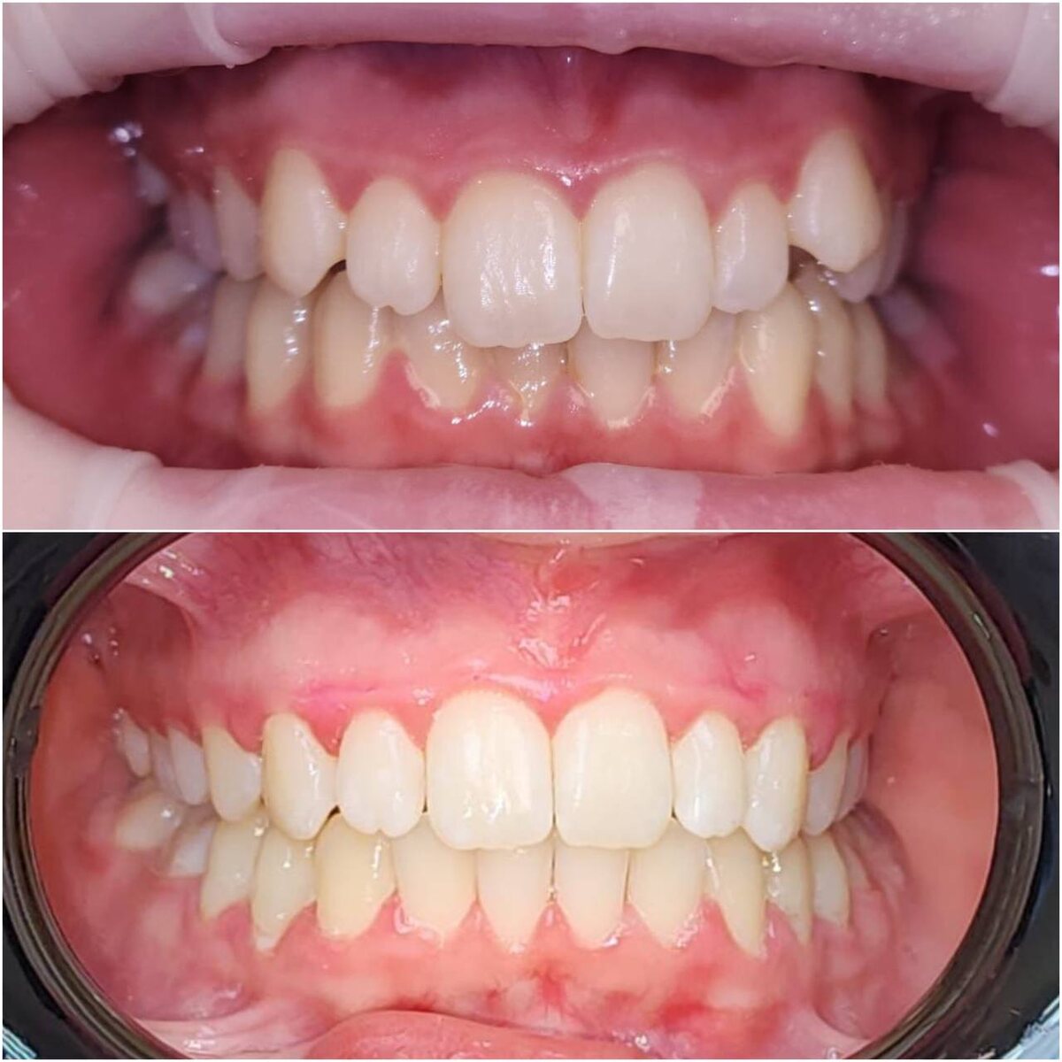
🦷⛓️‍💥🦷⛓️‍💥🦷⛓️‍💥🦷⛓️‍💥🦷 Результат 2 лет плановой и последовательной работы. 💪🏆 За это время: ✔️выровнены зубные ряды ✔️скорректирован прикус ✔️улучшена эстетика улыбки и функция смыкания ✔️сохранены собственные зубы без агрессивных вмешательств Такое лечение всегда начинается с точной диагностики и понятного плана. 👨‍⚕️ Врач: Зинетуллин Ринат Эмирович, ортодонт-гнатолог 🦷Мы не обещаем «быстро». Мы делаем правильно, прогнозируемо и надолго. ✍️Если вы задумываетесь об исправлении прикуса - записывайтесь на консультацию Стоматология Мой Ортодонт Москва, м. Электрозаводская 🦷 15 лет опыта • 8 ортодонтов • цифровая диагностика 📞Телефон: +7-495-032-32-32 💬 What’s app 🌐 Сайт: www.myortodont.com 🚗 Б. Семеновская 32

Ортодонтическое лечение - это путь, а не быстрый результат.

🦷⛓️‍💥🦷⛓️‍💥🦷⛓️‍💥🦷⛓️‍💥🦷

Результат 2 лет плановой и последовательной работы. 💪🏆

За это время:

✔️выровнены зубные ряды

✔️скорректирован прикус

✔️улучшена эстетика улыбки и функция смыкания

✔️сохранены собственные зубы без агрессивных вмешательств

Такое лечение всегда начинается с точной диагностики и понятного плана.

👨‍⚕️ Врач: Зинетуллин Ринат Эмирович, ортодонт-гнатолог

🦷Мы не обещаем «быстро».

Мы делаем правильно, прогнозируемо и надолго.

✍️Если вы задумываетесь об исправлении прикуса - записывайтесь на консультацию

Стоматология Мой Ортодонт

Москва, м. Электрозаводская

🦷 15 лет опыта • 8 ортодонтов • цифровая диагностика

📞Телефон: +7-495-032-32-32

💬 What’s app

🌐 Сайт: www.myortodont.com

🚗 Б. Семеновская 32

-2
-3