Добавить в корзинуПозвонить
Найти в Дзене

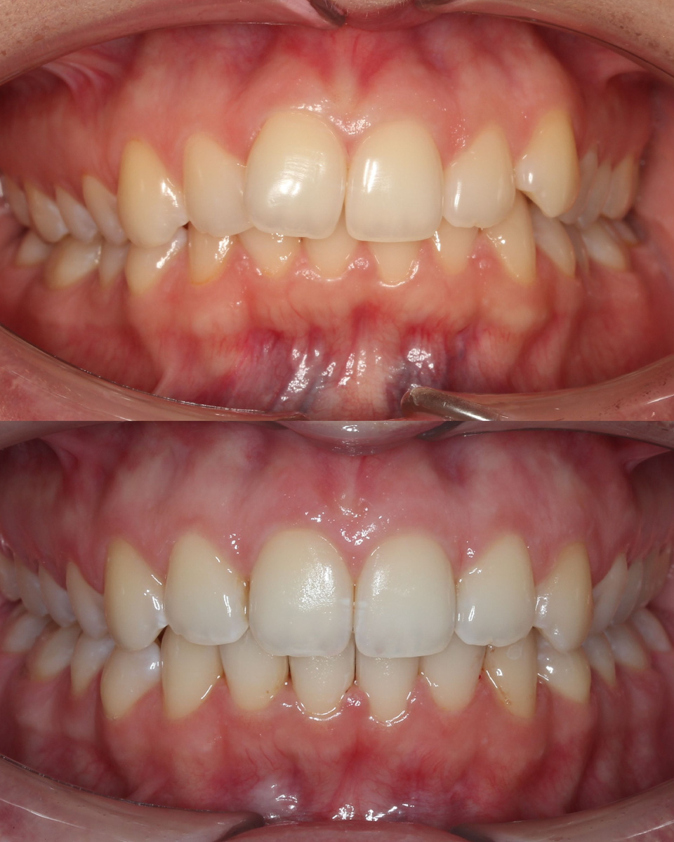
Как выровнять зубы?

Если вы недовольны своей улыбкой, то это пора изменить!
Сегодня рассказываем о случае, где ортодонтическое лечение позволило не только выровнять зубы, но и восстановить правильную работу прикуса
После консультации и диагностики были выявлены:
• Выраженная скученность зубов

Если вы недовольны своей улыбкой, то это пора изменить! 

Сегодня рассказываем о случае, где ортодонтическое лечение позволило не только выровнять зубы, но и восстановить правильную работу прикуса

После консультации и диагностики были выявлены:

• Выраженная скученность зубов

• Глубокое перекрытие — верхняя челюсть значительно закрывала нижнюю

• Смещённая средняя линия

(визуально это делает улыбку асимметричной и влияет на гармонию лица)

• Узкая улыбка 

Мы разработали поэтапный план лечения и установили брекет-систему Damon-Q, чтобы корректно распределить место, выровнять зубные ряды и восстановить правильные соотношения челюстей

Если вы давно стесняетесь своей улыбке и хотите подарить ей не только эстетику, но и здоровье, то ждем вас в Ликс Дент 🤍

-2

#брекеты #ортодонтия #стоматология

⭐️ Рейтинг 5,0 на Яндекс.Картах 

📍 Владимирский проспект, 7

📞 +7 921 399-41-17