Найти в Дзене

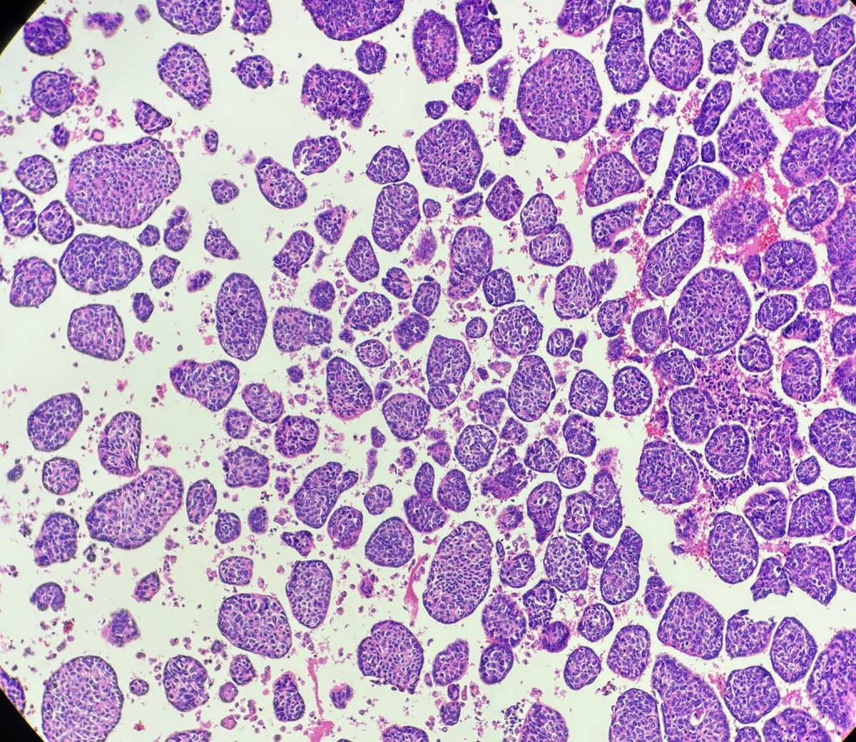
«Пушечные ядра» — характерный цитологический признак метастатического рака молочной железы в легких и плевральном выпоте

«Пушечные ядра» — характерный цитологический признак метастатического рака молочной железы в легких и плевральном выпоте. #цитология #цитологияжидкостей #молочнаяжелеза

«Пушечные ядра» — характерный цитологический признак метастатического рака молочной железы в легких и плевральном выпоте.

#цитология #цитологияжидкостей #молочнаяжелеза

-2