Добавить в корзинуПозвонить
Найти в Дзене
Dr.Tirik

Этот зуб выглядел терпимо. Но ИРОПЗ сказал другое

Она зашла в кабинет немного смущенно и с той самой осторожной улыбкой, когда человек старается не показывать боль, но она всё равно читается во взгляде. Молодая девушка, около 30 лет. Активная, ухоженная, из тех, кто привык всё держать под контролем, работу, внешний вид, планы. Не под контролем оказался только один зуб.
-"Он давно не участвует в жизни..., но теперь начал болеть",-сказала она

Она зашла в кабинет немного смущенно и с той самой осторожной улыбкой, когда человек старается не показывать боль, но она всё равно читается во взгляде. Молодая девушка, около 30 лет. Активная, ухоженная, из тех, кто привык всё держать под контролем, работу, внешний вид, планы. Не под контролем оказался только один зуб.

-"Он давно не участвует в жизни..., но теперь начал болеть",-сказала она почти извиняясь.

Речь шла о жевательном зубе нижней челюсти. Скол, периодическая боль, резкая реакция на холод. Самое важное, зуб фактически не функционировал. Он не жевал, не принимал нагрузку, словно выпал из системы, но при этом продолжал напоминать о себе неприятными ощущениями.

Зубы: 3.5.,3.6,3.7. На первый взгляд в помощи нуждается только 3.6 зуб, но давайте я продолжу рассказ
Зубы: 3.5.,3.6,3.7. На первый взгляд в помощи нуждается только 3.6 зуб, но давайте я продолжу рассказ

Когда зуб есть, но его как будто нет.

При осмотре картина стала понятной. Зуб был значительно разрушен: старая пломба, трещина, потеря анатомической формы. Он не просто "сломался"-он перестал быть полноценным участником жевательного процесса. И здесь важно объяснить одну вещь простым языком.

В стоматологии есть понятие ИРОПЗ- индекс разрушения окклюзионной поверхности зуба.

Если говорить не по-научному, это показатель того, насколько сильно разрушена жевательная часть зуба.

  • Когда разрушения небольшие-достаточно пломбы
  • Когда разрушения средние-пломба уже под вопросом
  • А когда зуб потерял форму, высоту, опорные стенки- пломба становится не решением, а временной иллюзией
Стрелками указан "контаткный кариес" на зубах 3.5, 3.7
Стрелками указан "контаткный кариес" на зубах 3.5, 3.7

Почему пломба -не всегда выход

Многие пациенты искренне удивляются, когда слышат, что пломба в такой ситуации — не лучшее решение.

Кажется логичным: есть дефект -значит, его можно запломбировать. Но зуб, не просто «дырка в эмали», а сложная конструкция, которая должна выдерживать ежедневную жевательную нагрузку.

В данном случае индекс ИРОПЗ был высоким: жевательная поверхность зуба была разрушена значительно, утрачена анатомическая форма, снижена высота, а оставшиеся стенки не могли обеспечить надёжную опору для пломбы.

Если в такой ситуации ограничиться пломбированием, она становится лишь временной иллюзией лечения, под нагрузкой быстро появляются сколы, трещины, вторичный кариес, а иногда и боль.

Именно поэтому было принято решение не «латать» зуб, а восстановить его функцию и анатомию правильно.

Этапы лечения

Лечение было выстроено поэтапно, с учётом степени разрушения зуба и жевательной нагрузки.

На первом этапе было проведено препарирование зуба с последующей фиксацией временной коронки. Это важный шаг, который позволяет защитить зуб, стабилизировать прикус и дать пациентке возможность комфортно жевать на период ожидания постоянной конструкции.

-3

Далее, после адаптационного периода, была зафиксирована постоянная ортопедическая конструкция — керамическая накладка, изготовленная индивидуально с учётом анатомии зуба и окклюзионных контактов.

Она восстановила не только внешний вид, но и правильную функцию зуба.

"кариозный процесс"…. Бууу
"кариозный процесс"…. Бууу

После завершения ортопедического этапа было проведено лечение кариозных поражений соседних зубов, что позволило завершить санацию полости рта и получить стабильный, долгосрочный результат.

-5

Результат

В итоге зуб перестал быть «слабым звеном» в жевательной системе.

Была восстановлена функция, анатомическая форма и комфорт при приёме пищи. Пациентка отметила исчезновение боли и чувствительности, а главное, веренность в том, что зуб больше не требует постоянного внимания.

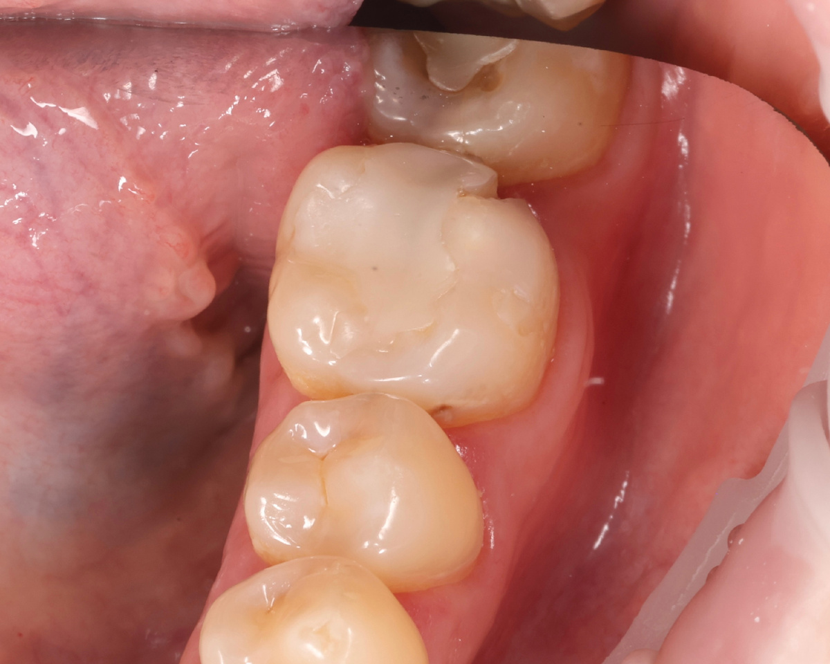
Готовая работа
Готовая работа

Вывод

Этот клинический случай -наглядный пример того, что пломба подходит далеко не всегда.

Когда зуб значительно разрушен, утратил форму, высоту или опорные стенки, пломбирование становится компромиссным и зачастую временным решением.

Ортопедическая конструкция -будь то керамическая накладка или коронка, таких ситуациях позволяет:

• защитить оставшиеся ткани зуба,

• правильно распределить жевательную нагрузку,

• предотвратить дальнейшее разрушение,

• и сохранить зуб на долгие годы.

-7

Важно понимать: цель лечения -не просто «закрыть дефект», а восстановить зуб как орган.

И иногда именно коронка или накладка является самым бережным и разумным вариантом.

С уважением, Тирик Елизавета Дмитриевна, врач-стоматолог клиники «Parodent».