Найти в Дзене
Войти
Екатерина Ляпина
12 подписчиков
Подписаться
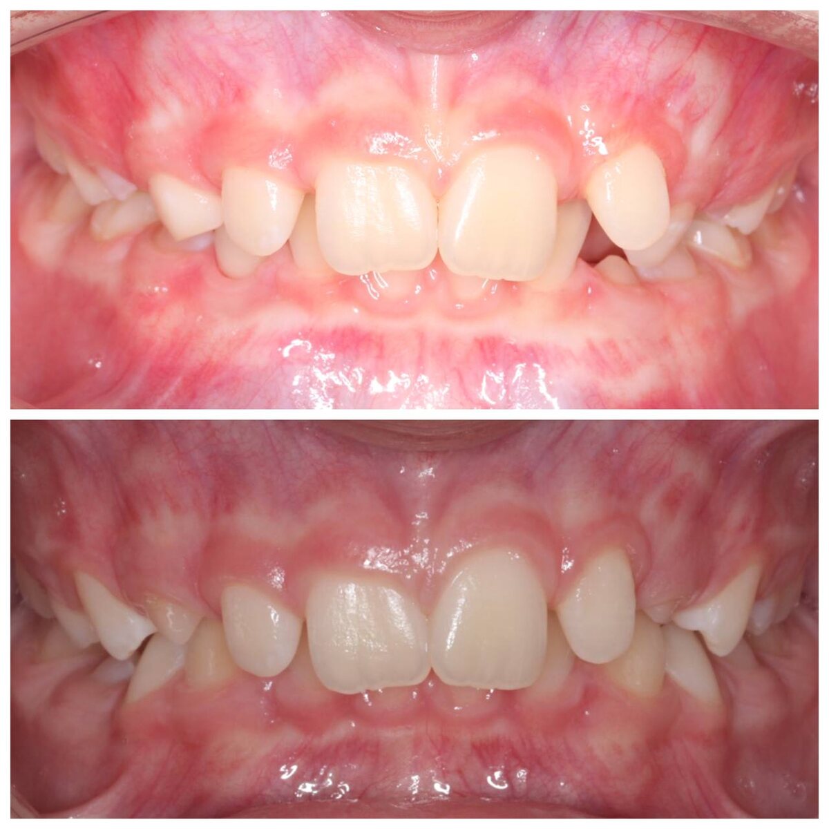
Такое до/после
19 декабря 2025
19 дек 2025
~1 мин
💫 Как думаете, что здесь делали для нормализации позиции вторых резцов?
💫 Как думаете, что здесь делали для нормализации позиции вторых резцов?
...
Читать далее
Такое до/после 💫
Как думаете, что здесь делали для нормализации позиции вторых резцов?