Найти в Дзене

Случай метастатического рака молочной железы vs пигмент от татуировки

🔬 Не прекращайте поиски после первого найденного признака! В представленном препарате биопсии обращают на себя внимание чернила от нанесенной на руку пациентки татуировки. Однако при детальном исследовании в препарате также обнаруживается метастатический дольковый рак, который маскируется под более заметным пигментом. #гистология #молочнаяжелеза

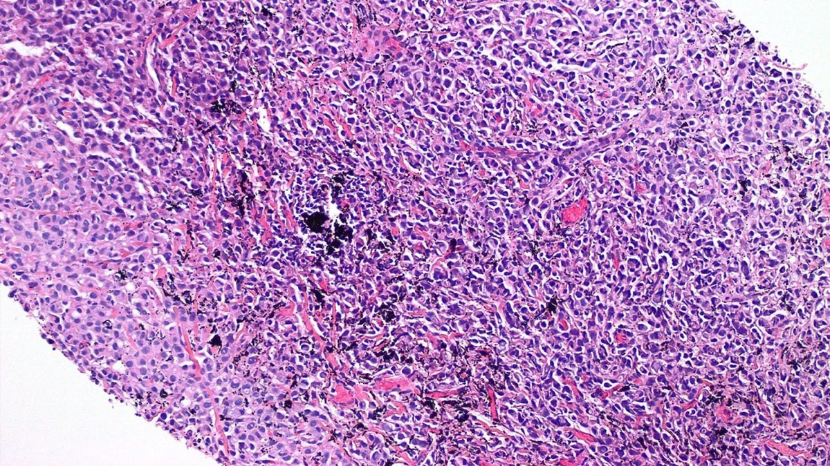
Случай метастатического рака молочной железы vs пигмент от татуировки 🔬

Не прекращайте поиски после первого найденного признака!

В представленном препарате биопсии обращают на себя внимание чернила от нанесенной на руку пациентки татуировки. Однако при детальном исследовании в препарате также обнаруживается метастатический дольковый рак, который маскируется под более заметным пигментом.

#гистология #молочнаяжелеза