Добавить в корзинуПозвонить
Найти в Дзене

Зачем мы удалили все зубы, которые выглядели «ещё ничего»? История одного снимка

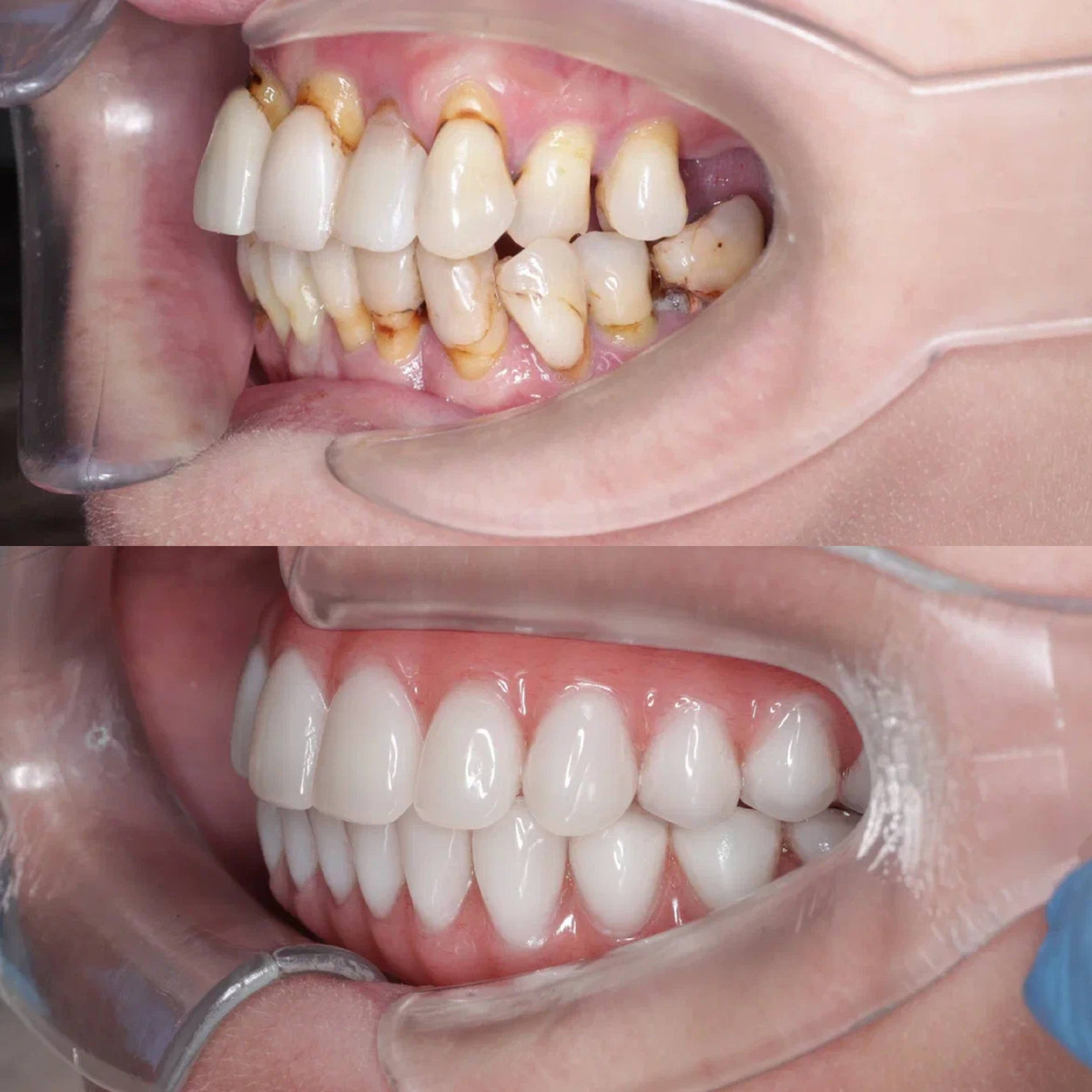
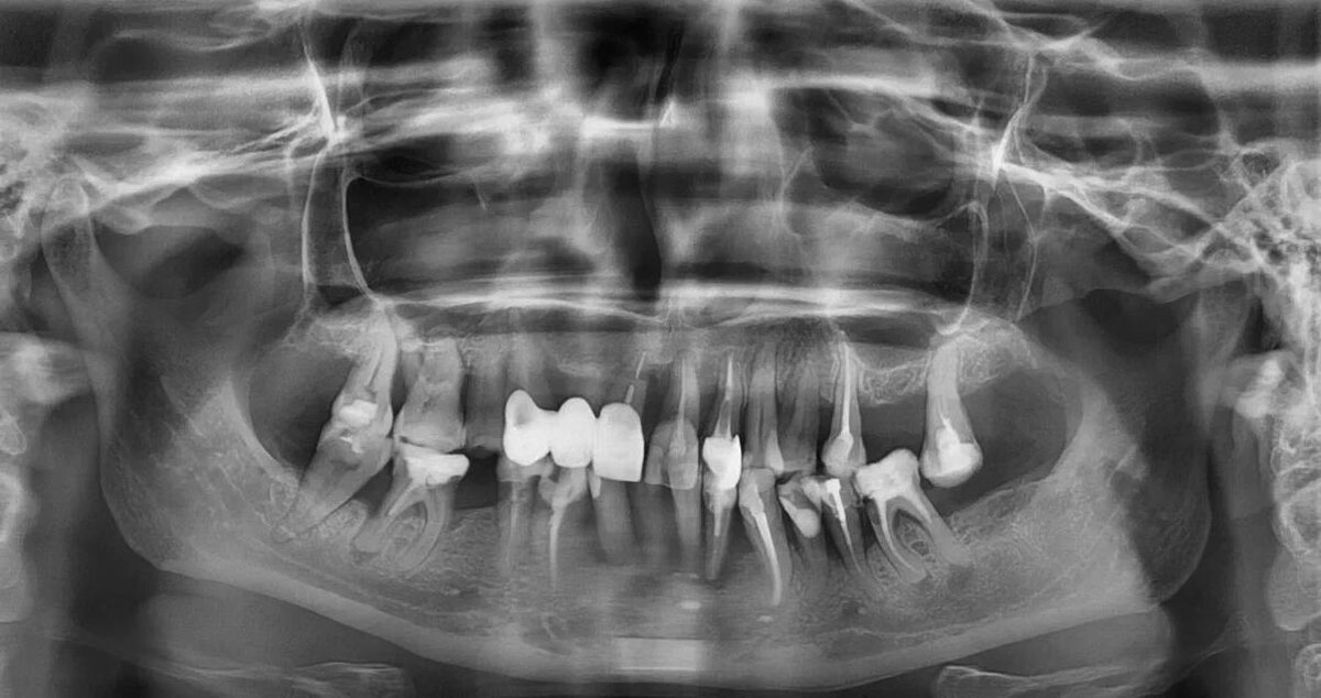
«Вы что, все зубы удалили?! Но они же с виду были нормальные!» — это самый частый вопрос, который возникает, когда люди видят такие «до и после». Действительно, со стороны может показаться, что улыбка еще ничего. Но в стоматологии внешний вид — самый коварный обманщик. Он не имеет ничего общего с реальным состоянием здоровья. Этот случай — идеальный пример. Пациентка, Ольга Ивановна, пришла с жалобами на периодическую боль и дискомфорт. Внешне — ряд зубов, некоторые даже под старыми коронками. Но один снимок — компьютерная томограмма (КТ) — рассказал совершенно другую, шокирующую историю. Это был приговор для большей части зубов. Что скрывалось за «нормальной» улыбкой? На снимке мы увидели картину тотального разрушения: 🔻 Массивная убыль кости. Костная ткань, которая должна плотно обхватывать корни, была почти полностью разрушена. Зубам просто не на чем было держаться.
🔻 Бомбы замедленного действия — хронические воспаления у корней (гранулёмы и кисты). Это тихие очаги инфекции, котор
Оглавление

«Вы что, все зубы удалили?! Но они же с виду были нормальные!» — это самый частый вопрос, который возникает, когда люди видят такие «до и после».

Действительно, со стороны может показаться, что улыбка еще ничего. Но в стоматологии внешний вид — самый коварный обманщик. Он не имеет ничего общего с реальным состоянием здоровья.

Этот случай — идеальный пример. Пациентка, Ольга Ивановна, пришла с жалобами на периодическую боль и дискомфорт. Внешне — ряд зубов, некоторые даже под старыми коронками. Но один снимок — компьютерная томограмма (КТ) — рассказал совершенно другую, шокирующую историю. Это был приговор для большей части зубов.

Что скрывалось за «нормальной» улыбкой? На снимке мы увидели картину тотального разрушения:

Ольга Ивановна, клиника доктора Севака Estetus г.Москва
Ольга Ивановна, клиника доктора Севака Estetus г.Москва

🔻 Массивная убыль кости. Костная ткань, которая должна плотно обхватывать корни, была почти полностью разрушена. Зубам просто не на чем было держаться.
🔻
Бомбы замедленного действия — хронические воспаления у корней (гранулёмы и кисты). Это тихие очаги инфекции, которые отравляют организм каждый день.
🔻
Корни, которые уже не корни. Они были разрушены, несостоятельны и служили лишь рассадником бактерий.
🔻
Старые конструкции, висящие в воздухе. Пломбы и коронки, которые давно лишились надежной опоры и создавали угрозу для соседних зубов.
🔻
Подвижность. Зубы, которые уже не могли выполнять свою главную функцию — жевать.

Вывод был однозначным: эти зубы не просто были больны. Они были источником постоянной инфекции и боли, «тянули» за собой здоровье всего организма и не подлежали восстановлению. Попытка сохранить их была бы не только бесполезна, но и опасна.

Решение: не ремонтировать руины, а построить новый фундамент.

Хирург-имплантолог Барсегян Арнак Ваграмович предложил радикальное, но единственно верное решение: удалить все несостоятельные зубы и провести тотальную реабилитацию по усовершенствованному протоколу All-on-6 на обеих челюстях.

Почему именно All-on-6 и почему наша методика — это иное качество жизни?

Мы не просто используем стандартные протоколы. Наша команда усовершенствовала и запатентовала методику, которая меняет правила игры. В отличие от классического подхода, где после установки имплантов вам на полгода-год ставят временный, неполноценный протез, мы фиксируем сразу постоянную, армированную конструкцию.

Что было сделано за один визит:

  1. Безболезненное удаление всех разрушенных зубов.
  2. Установка 6 надежных имплантов на каждую челюсть для максимальной стабильности.
  3. Немедленная фиксация постоянного протеза. Никаких «времянок»!
Ольга Ивановна, клиника доктора Севака Estetus г.Москва
Ольга Ивановна, клиника доктора Севака Estetus г.Москва

Ольга Ивановна уехала из клиники не беззубой, не с временным решением, а с полноценными, красивыми и, главное, функциональными зубами. В тот же день она могла жевать, улыбаться и навсегда забыть о страхе, что зубы могут выпасть или заболеть во время еды.

📲 Узнайте реальное состояние ваших зубов и все возможные варианты. Запишитесь на бесплатную консультацию (очно или онлайн) по номеру +7 (495) 463-24-34.