Добавить в корзинуПозвонить
Найти в Дзене
Parodoctor

«Элайнеры не справятся» - справились. Год работы со сложным прикусом - обратное перекрытие, сужение челюстей, стёртые зубы

«Элайнеры - это баловство, для лёгких случаев годятся. Чуть-чуть подровнять, щель закрыть какую-нибудь. А серьёзную патологию прикуса - тут только брекеты справятся». До сих пор люди не верят в "тонкие хлипкие пластиковые чехольчики". Конечно, брекеты - металл, вот где сила, вот где мощь. Молва о недоделанности элайнеров распространена повсеместно - и от пациентов слышу, и от коллег, в комментариях интернетных разнообразных встречается такое мнение. И каждый раз хочется молча показать фотографии наших пациентов. Вот такие, как в этой статье будут представлены. Раз хочется, то не буду себя ограничивать. Я люблю показывать незаконченные случаи. Не отполированную картинку «до/после», а сам процесс - как есть, без прикрас, по-живому. Потому что в процессе видно главное - как работает метод, через что проходит пациент, какие этапы и почему. Красивый финал - это финишная точка и, без истории, это скучно. Смотрю на свежее фото этого случая, сравниваю с тем, что было год назад, и понимаю - н
Оглавление

«Элайнеры - это баловство, для лёгких случаев годятся. Чуть-чуть подровнять, щель закрыть какую-нибудь. А серьёзную патологию прикуса - тут только брекеты справятся».

До сих пор люди не верят в "тонкие хлипкие пластиковые чехольчики". Конечно, брекеты - металл, вот где сила, вот где мощь. Молва о недоделанности элайнеров распространена повсеместно - и от пациентов слышу, и от коллег, в комментариях интернетных разнообразных встречается такое мнение.

И каждый раз хочется молча показать фотографии наших пациентов. Вот такие, как в этой статье будут представлены. Раз хочется, то не буду себя ограничивать.
Фото "до", диагностика
Фото "до", диагностика

Я люблю показывать незаконченные случаи. Не отполированную картинку «до/после», а сам процесс - как есть, без прикрас, по-живому. Потому что в процессе видно главное - как работает метод, через что проходит пациент, какие этапы и почему. Красивый финал - это финишная точка и, без истории, это скучно.

Смотрю на свежее фото этого случая, сравниваю с тем, что было год назад, и понимаю - нужно срочно поделиться историей. Потому что кто-то прямо сейчас сидит с похожим прикусом и думает, что элайнеры - не для него, что придётся носить брекеты. Или что вообще ничего не поделаешь, только челюсть пилить.

Всё всегда индивидуально и только консультация может расставить точки над и. Брекеты мы не убираем в долгий ящик, они тоже, иногда, нужны.

Клинический случай Снитковой Ксении Владимировны - обратно-резцовое перекрытие

К нашему ортодонту Ксении Владимировне Снитковой пришла пациентка с довольно сложным прикусом:

-2

Сужение верхней челюсти, сужение нижней. И обратно-резцовое перекрытие - это когда нижние резцы стоят впереди верхних и, при каждом смыкании, работают как наждачка. Режущие края верхних зубов сильно стёрты:

-3

И это не от возраста, не от бруксизма, а просто потому, что им некуда было деться от этой ежедневной мясорубки...

Зубы удивительно терпеливы. Они годами подстраиваются под неправильные условия, стачиваются, смещаются - и терпят, куда деваться. А потом пациент приходит и говорит: - «Я, вроде, ничего не замечал, а тут вдруг каааак полетело всё в трам-тарарам...» Да вот и не вдруг. Просто раньше никто не замечал страдания зубовные терпеливые.

Обратное резцовое перекрытие, сужение челюстей, истираемость зубов

Вот это микс. Но что самое главное? А то, что ортодонт взялась за исправление прикуса и пообещала, что всё получится. Сделали КЛКТ без прикусной пластинки, цифровой слепок, фотопротокол (всё это прямо в клинике). Врач всё оценила и сделала совместно с лабораторией "мультик" (орто-чек). В нём наглядно показаны перемещения зубов.

Установлены аттачменты
Установлены аттачменты

Впрочем, дадим слово самой Ксении Владимировне:

«У пациентки сужение верхней челюсти, сужение нижней челюсти, обратно-резцовое перекрытие - нижние резцы перекрывают верхние. Поэтому на фото видна очень большая истираемость по режущему краю верхних резцов. Мы расширили боковые сегменты сверху и снизу, поставили большие разобщающие накладки. Даже во фронте у неё они были с активной плоскостью, чтобы дать правильный торк резцам. Потом накладки убрали, сомкнули зубы. Пациентка носила тяги, потому что нижняя челюсть склонна к выдвижению вперёд. И вот - такие хорошие результаты уже через год».

Фото "до", установка аппаратуры:

-5

Верхние зубы сравнялись с зубами нижними (резцы) - 16-17 капы:

Через три месяца после между зубами щели, но передние резцы расположены адекватно:

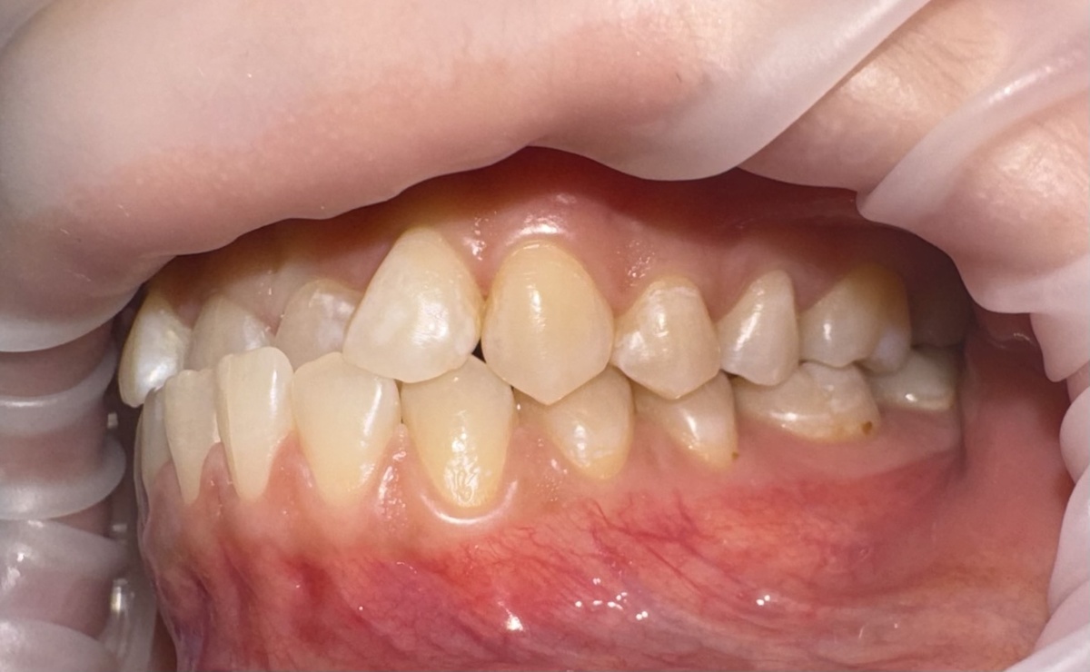
И через год после начала коррекции прикус выглядит следующим образом:

Гигиену порошком сделать и будет красота. Фантастика. Фото 100% не фотошоп.

Как работают элайнеры при сложном прикусе - торк, накладки, тяги

Торк - это наклон зуба. Не вправо-влево, а вперёд-назад, если смотреть в профиль. Когда резцы наклонены неправильно, они смыкаются не режущими краями, а трутся друг о друга плоскостями. Отсюда истираемость - зубы, буквально, сошлифовывают друг друга.

Разобщающие накладки - утолщения на элайнерах, которые временно не дают зубам сомкнуться. Зачем? Чтобы создать пространство для манёвра. Пока накладки держат прикус «открытым», элайнеры спокойно разворачивают зубы в нужное положение. Потом накладки убирают и зубы смыкаются уже по-новому, правильно.

Тяги - эластичные колечки, резинки, цепочки, которые пациент сам надевает между верхними и нижними зубами или которые надевает ортодонт и снимать их нельзя. Они корректируют положение челюстей относительно друг друга. У нашей пациентки нижняя челюсть стремится вперёд - тяги мягко, но настойчиво, напоминают ей, где её законное место.

Результаты лечения на элайнерах за 12 месяцев

Аттачменты установлены год назад. На фотографиях выше - метаморфозы, которые произошли за это время. Форма зубных рядов изменилась, резцы встали в правильное соотношение. Это уже совсем другой прикус.

-9

Но это ещё не конец истории.

Впереди 3-4 месяца активного перемещения. Потом, скорее всего, отправим случай в небольшую коррекцию - это нормальная практика, когда хочется довести до идеала. Ксения Владимировна из тех врачей, кто любит, когда всё идеально.

Вывод

Сложный прикус - не приговор и не 100% показание для брекетов «потому что элайнеры не справятся». Справятся. Обратно-резцовое перекрытие, сужение челюстей, патологическая истираемость - всё это можно исправить на элайнерах, если ортодонт толковый и случай подходящий. Нужны правильная диагностика, точный расчёт и время. Год - это только часть пути.

Но результат уже виден! А будет ещё лучше, в мелочах дело.

Продолжение следует.

Больше клинических случаев в подборке:

Ортодонтические варианты | Parodoctor | Дзен

Вопросы задавайте в моём Telegram-канале - там я их точно увижу и отвечу. В Дзене сотни комментариев под сотнями статей и я физически не успеваю всё всегда мониторить. В Telegram все вопросы в одном месте, удобно отвечать, можно фото прикрепить. Так что жду в тг:

Parodoctor

С уважением, Лежачёва Наталия Александровна, хирург-пародонтолог и главный врач стоматологии Parodent.

Финиш: