Найти в Дзене

Ортодонтическое лечение брекетами — завершённый кейс

🦷⛓️‍💥🦷⛓️‍💥🦷⛓️‍💥🦷⛓️‍💥🦷⛓️‍💥🦷 На фото — результат комплексного ортодонтического лечения с применением брекет-системы. Пациент обратился с выраженной скученностью зубов, нарушением положения отдельных зубов и неравномерным смыканием. В ходе лечения удалось: • выровнять зубные ряды; • восстановить правильное положение зубов в дуге; • улучшить смыкание и функциональность прикуса; • создать гармоничную и стабильную улыбку. Лечение проводилось по индивидуальному плану с поэтапным контролем и акцентом не только на эстетику, но и на здоровье зубочелюстной системы. 👩‍⚕️ Врач-ортодонт: Гунько Ольга Валерьевна 🏆❤️ 🏥 Стоматология: «Мой Ортодонт» Если вы задумываетесь об исправлении прикуса или хотите понять, какой вариант лечения подойдёт именно вам — на консультации можно подробно разобрать ситуацию, сроки и возможные решения. Мой Ортодонт — Москва, м. Электрозаводская 🦷 15 лет опыта • 8 ортодонтов • цифровая диагностика 📞 Телефон: +7-495-032-32-32 💬 What’s app 🌐 Сайт: www.my

Ортодонтическое лечение брекетами — завершённый кейс

🦷⛓️‍💥🦷⛓️‍💥🦷⛓️‍💥🦷⛓️‍💥🦷⛓️‍💥🦷

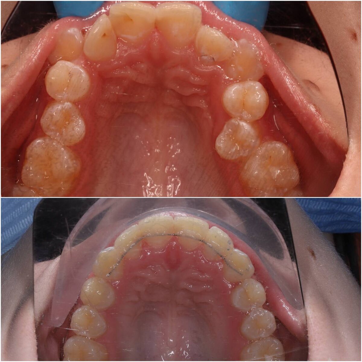
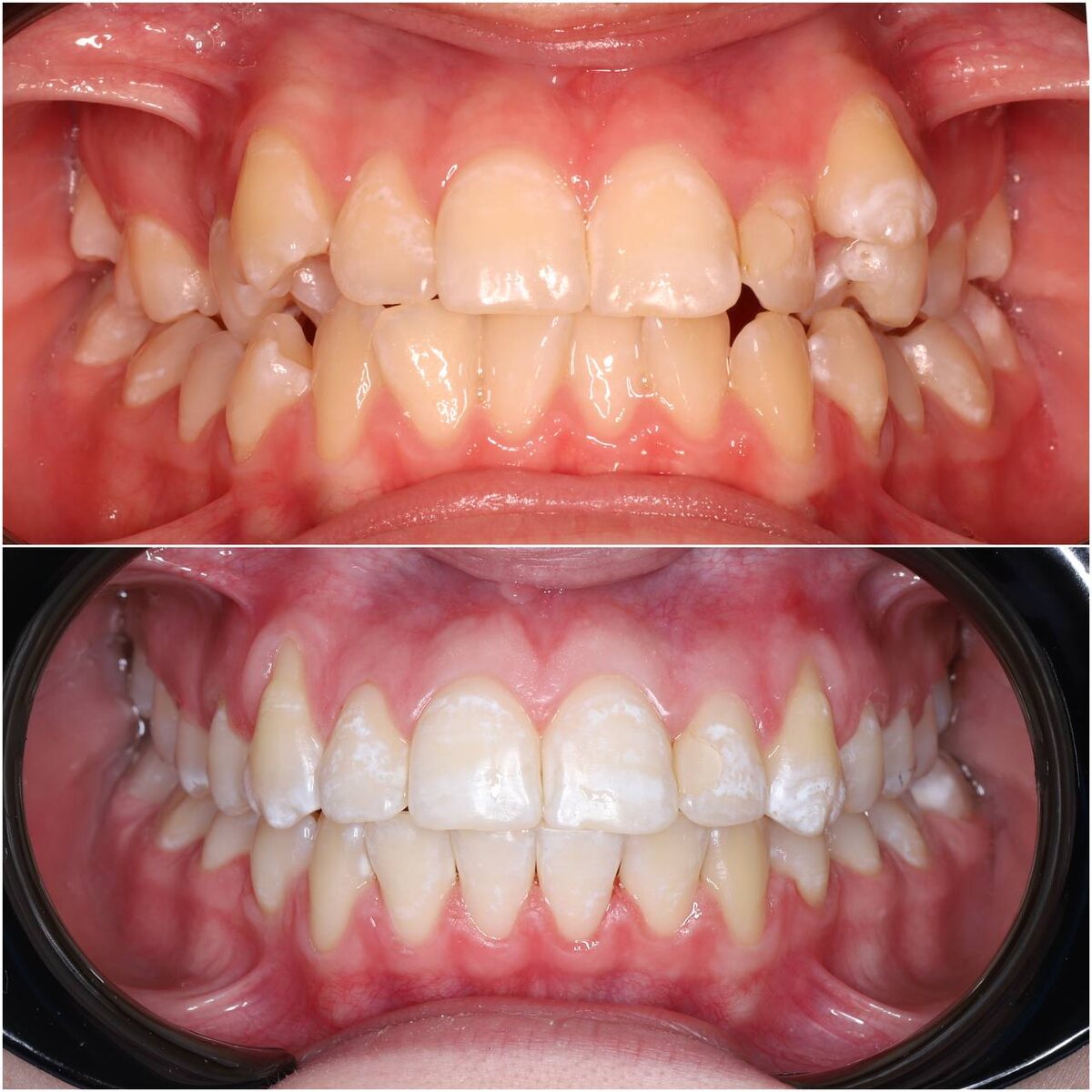
На фото — результат комплексного ортодонтического лечения с применением брекет-системы.

Пациент обратился с выраженной скученностью зубов, нарушением положения отдельных зубов и неравномерным смыканием.

В ходе лечения удалось:

• выровнять зубные ряды;

• восстановить правильное положение зубов в дуге;

• улучшить смыкание и функциональность прикуса;

• создать гармоничную и стабильную улыбку.

Лечение проводилось по индивидуальному плану с поэтапным контролем и акцентом не только на эстетику, но и на здоровье зубочелюстной системы.

👩‍⚕️ Врач-ортодонт: Гунько Ольга Валерьевна 🏆❤️

🏥 Стоматология: «Мой Ортодонт»

Если вы задумываетесь об исправлении прикуса или хотите понять, какой вариант лечения подойдёт именно вам — на консультации можно подробно разобрать ситуацию, сроки и возможные решения.

Мой Ортодонт — Москва, м. Электрозаводская

🦷 15 лет опыта • 8 ортодонтов • цифровая диагностика

📞 Телефон: +7-495-032-32-32

💬 What’s app

🌐 Сайт: www.myortodont.com

🚗 Б. Семеновская 32

-2
-3
-4
-5