Найти в Дзене

Рецессия дёсен: почему дёсны «уходят», как это лечат и что делать после операции.

Рецессия дёсен - одна из самых частых и при этом недооценённых проблем в стоматологии. Многие пациенты воспринимают её как косметический дефект, не подозревая, что за оголёнными шейками зубов могут скрываться чувствительность, воспаление и риск потери зуба. Рецессия дёсен — это состояние, при котором край десны смещается вниз (на нижней челюсти — вверх), оголяя корень зуба. Визуально зуб кажется «длиннее», а в зоне оголения часто появляется чувствительность к холодному, горячему или кислому. Выглядит этот вот так: На нижней челюсти хорошо видны оголенные корни зубов – это и есть рецессия. Она почти никогда не возникает внезапно - это результат длительного воздействия на десну. Основные виды такого воздействия: 1. Неправильная гигиена полости рта
Слишком жёсткая зубная щётка, агрессивная техника чистки, горизонтальные движения с сильным нажимом постепенно травмируют десну. Со временем она истончается и начинает «уходить». 2. Воспалительные заболевания дёсен
Гингивит и пародонтит сопро
Оглавление

Рецессия дёсен - одна из самых частых и при этом недооценённых проблем в стоматологии. Многие пациенты воспринимают её как косметический дефект, не подозревая, что за оголёнными шейками зубов могут скрываться чувствительность, воспаление и риск потери зуба.

Что такое рецессия дёсен?

Рецессия дёсен — это состояние, при котором край десны смещается вниз (на нижней челюсти — вверх), оголяя корень зуба. Визуально зуб кажется «длиннее», а в зоне оголения часто появляется чувствительность к холодному, горячему или кислому.

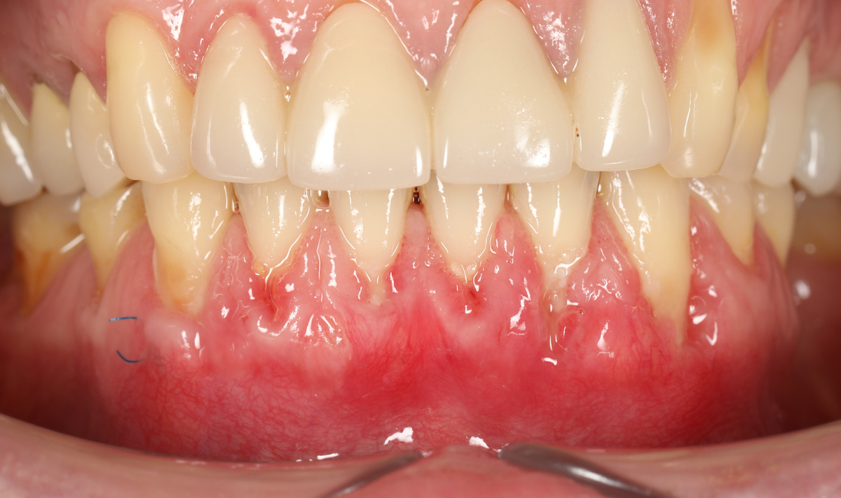
Выглядит этот вот так:

рецессия на нижней челюсти и на некоторых зубах верхней челюсти
рецессия на нижней челюсти и на некоторых зубах верхней челюсти

На нижней челюсти хорошо видны оголенные корни зубов – это и есть рецессия. Она почти никогда не возникает внезапно - это результат длительного воздействия на десну.

Основные виды такого воздействия:

1. Неправильная гигиена полости рта
Слишком жёсткая зубная щётка, агрессивная техника чистки, горизонтальные движения с сильным нажимом постепенно травмируют десну. Со временем она истончается и начинает «уходить».

2. Воспалительные заболевания дёсен
Гингивит и пародонтит сопровождаются разрушением тканей, удерживающих зуб. В таких случаях рецессия - следствие хронического воспаления.

3. Анатомические особенности
Тонкий биотип десны, близкое расположение корней зубов к поверхности кости, недостаток костной ткани - всё это, к сожалению, повышает риск рецессии даже при хорошем уходе.

4. Перегрузка зубов
Неправильный прикус, скрежетание зубами (бруксизм), некачественные пломбы или коронки создают избыточное давление, из-за которого десна постепенно отходит.


Чем опасна рецессия, если её не лечить?

Важно понимать: десна не «вырастает» обратно сама, поэтому при наличии проблемы требуется профессиональное лечение. Без лечения рецессия может привести к повышенной чувствительности зубов, частым кариесам корня (а кариес корня это прямое показание к удалению зуба), воспалению и кровоточивости дёсен, к расшатыванию и потере зубов.

Хирургическое лечение рецессии дёсен.

Если рецессия выраженная и прогрессирует, применяется пластика дёсен - хирургическая процедура, направленная на восстановление уровня мягких тканей.

Хирургическое лечение, как правило, показано при оголении корня более чем на 2–3 мм; высокая чувствительность, не поддающаяся консервативному лечению; эстетические показания; подготовка к протезированию или имплантации.

Как проходит операция?

Чаще всего используется метод пересадки собственных тканей пациента: берётся небольшой участок слизистой (обычно с нёба), перемещается и фиксируется в зоне рецессии. Со временем трансплантат приживается и формирует новый уровень десны.

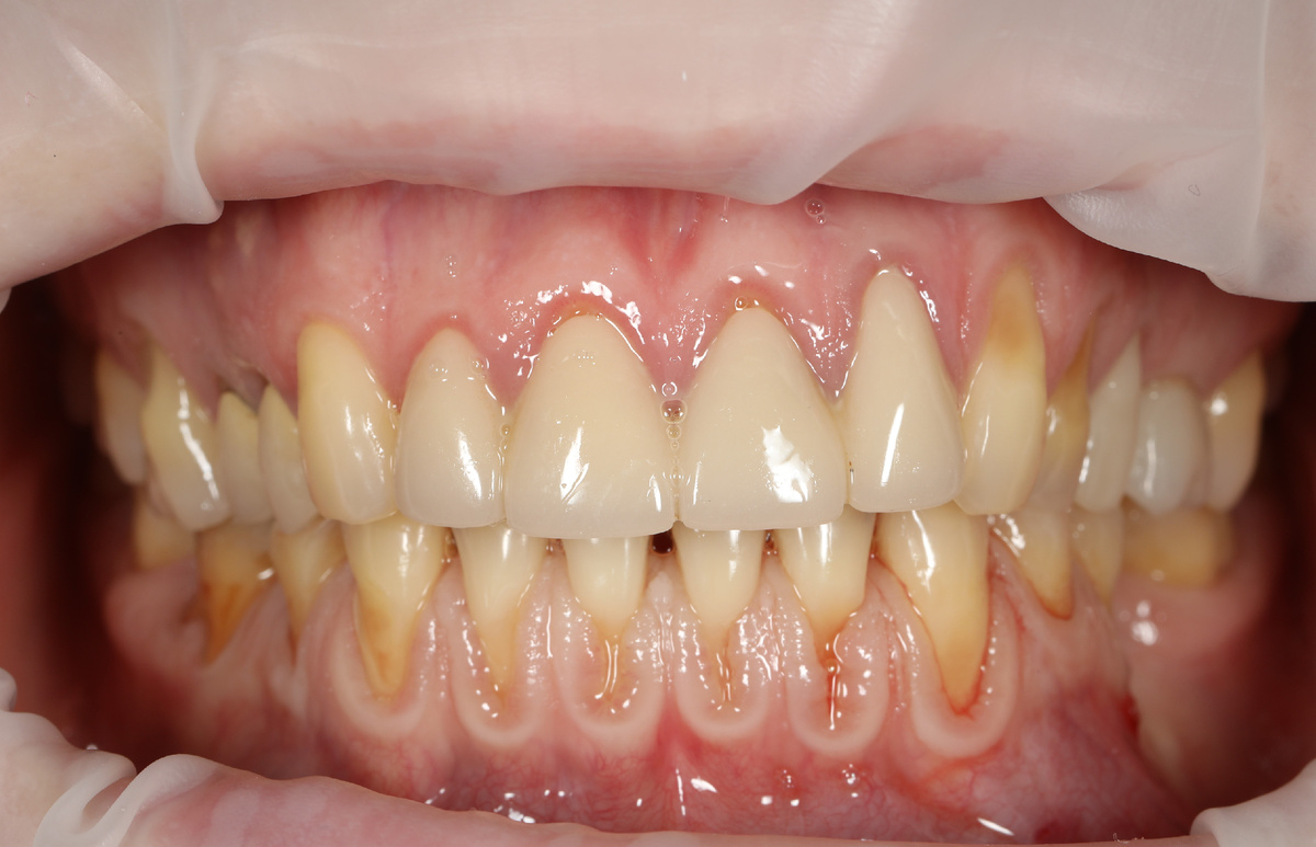
Сразу после снятия швов (через 10 дней после операции) рецессии выглядят вот так:

фото через 2 недели после операции. Полное заживление занимает месяц - два, за это время трансплантат успевает прижиться и сформировать новый уровень десны.
фото через 2 недели после операции. Полное заживление занимает месяц - два, за это время трансплантат успевает прижиться и сформировать новый уровень десны.

Как видим, десна уже выше, чем была и в основном закрывает корни зубов.

К сожалению, фотографию после окончательного формирования десны мы получить не смогли, так как пациентка приезжает к нам из другого города, однако, и на этом этапе результат уже виден.

Операция проводится под местной анестезией, безболезненна и занимает в среднем 40–90 минут в зависимости от объёма вмешательства.


В первые дни после операции нельзя трогать зону вмешательства языком и рука, необходимо избегать горячей пищи и напитков, отказаться от физической нагрузки и сауны и не чистить зубы в зоне операции до разрешения врача.


Современная стоматологическая хирургия позволяет эффективно и безопасно восстановить уровень дёсен, но лучший результат всегда достигается при раннем обращении и правильной профилактике - так что если вы заметили оголение корней или чувствительность зубов, не откладывайте консультацию специалиста.

-3