Найти в Дзене
Вечерняя Казань

Татарстанские врачи спасли ребенка, который проглотил монету

В Нижнекамскую детскую районную больницу срочно доставили трёхлетнего малыша, который случайно проглотил монету. Хирург-эндоскопист Игорь Шогоров провёл малотравматичную операцию и извлёк инородное тело из пищевода. Это заняло всего минуту. Уже на следующий день ребёнка выписали домой в удовлетворительном состоянии, сообщили в Минздраве Татарстана. Медики советуют родителям тщательнее следить за детьми. Мелкие предметы, например, монеты, батарейки, магниты, стоит держать в труднодоступном месте. Ранее сообщалось, что в одном из детских садов Камско-Устьинского района Татарстана воспитательница оставила группу детей без присмотра в раздевалке. В её отсутствие один ребенок прищемил другому палец дверью в помещение. В итоге палец пришлось ампутировать из-за травмы. Все самое интересное в нашем канале в MAX.

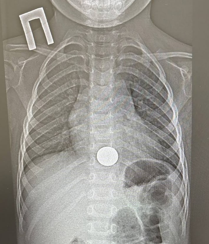
В Нижнекамскую детскую районную больницу срочно доставили трёхлетнего малыша, который случайно проглотил монету. Хирург-эндоскопист Игорь Шогоров провёл малотравматичную операцию и извлёк инородное тело из пищевода. Это заняло всего минуту. Уже на следующий день ребёнка выписали домой в удовлетворительном состоянии, сообщили в Минздраве Татарстана.

   Минздрав Татарстана
Минздрав Татарстана

Медики советуют родителям тщательнее следить за детьми. Мелкие предметы, например, монеты, батарейки, магниты, стоит держать в труднодоступном месте.

Ранее сообщалось, что в одном из детских садов Камско-Устьинского района Татарстана воспитательница оставила группу детей без присмотра в раздевалке. В её отсутствие один ребенок прищемил другому палец дверью в помещение. В итоге палец пришлось ампутировать из-за травмы.

Все самое интересное в нашем канале в MAX.