Найти в Дзене

Удалили и восстановили ВСЕ зубы за 3 дня: как вернуть возможность жевать

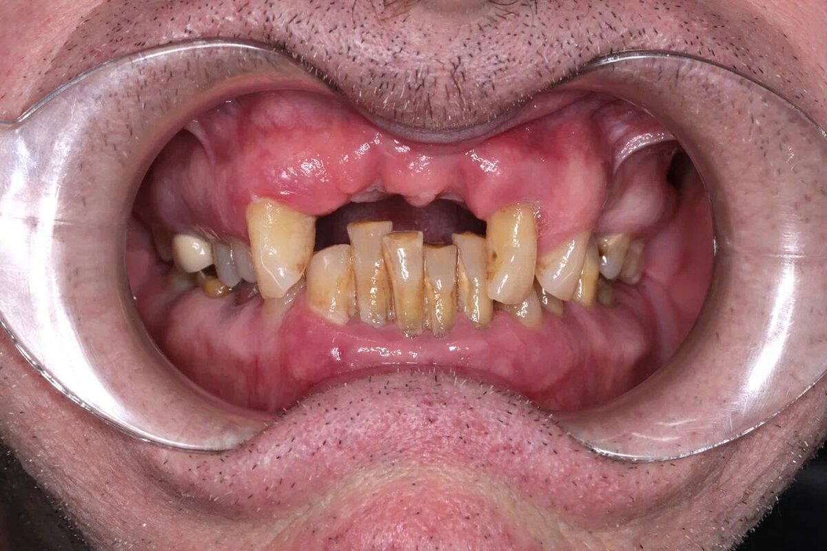
Сергей Анатольевич пришёл в клинику с острой, но типичной для многих после 50 лет проблемой:
— зубы шатались,
— жевать было больно и почти невозможно,
— при разговоре он стеснялся — даже с близкими. КТ показал картину, которую часто упускают при поверхностном осмотре:
• выраженный пародонтит с разрушением костной ткани,
• подвижные зубы, не выдерживающие даже минимальную нагрузку,
• скрытые очаги воспаления, «подтачивающие» здоровье изнутри. Оставлять всё как есть — значило бы ждать неизбежной потери зубов и ухудшения общего состояния. Но и классическое протезирование с отсроченной нагрузкой тоже не решало главного: Сергей хотел результат — быстро, надёжно и без «промежуточных» этапов. Что предложили?
Стоматолог-хирург, имплантолог Барсегян Арнак Ваграмович рекомендовал модифицированную методику All-on-4 на обеих челюстях — с ключевым отличием: ✅ не временные, а сразу постоянные армированные протезы,
✅ фиксация в день операции — без ожидания приживления,
✅ всего 4 импланта на челюсть —

Сергей Анатольевич пришёл в клинику с острой, но типичной для многих после 50 лет проблемой:
— зубы шатались,
— жевать было больно и почти невозможно,
— при разговоре он стеснялся — даже с близкими.

Сергей Анатольевич, г. Москва, клиника доктора Севака Estetus
Сергей Анатольевич, г. Москва, клиника доктора Севака Estetus

КТ показал картину, которую часто упускают при поверхностном осмотре:
• выраженный пародонтит с разрушением костной ткани,
• подвижные зубы, не выдерживающие даже минимальную нагрузку,
• скрытые очаги воспаления, «подтачивающие» здоровье изнутри.

Сергей Анатольевич, г. Москва, клиника доктора Севака Estetus
Сергей Анатольевич, г. Москва, клиника доктора Севака Estetus

Оставлять всё как есть — значило бы ждать неизбежной потери зубов и ухудшения общего состояния. Но и классическое протезирование с отсроченной нагрузкой тоже не решало главного: Сергей хотел результат — быстро, надёжно и без «промежуточных» этапов.

Что предложили?
Стоматолог-хирург, имплантолог Барсегян Арнак Ваграмович рекомендовал модифицированную методику
All-on-4 на обеих челюстях — с ключевым отличием:

✅ не временные, а сразу постоянные армированные протезы,
✅ фиксация в день операции — без ожидания приживления,
✅ всего 4 импланта на челюсть — даже при выраженной атрофии кости.

Сергей Анатольевич, г. Москва, клиника доктора Севака Estetus
Сергей Анатольевич, г. Москва, клиника доктора Севака Estetus

Это возможно благодаря собственной усовершенствованной и запатентованной методике доктора Севака.

Что сделали — по шагам:

  1. Удалили не подлежащие сохранению зубы.
  2. Установили импланты (4 — на верхнюю, 4 — на нижнюю челюсть).
  3. В тот же день зафиксировали постоянные металлокерамические протезы.

Через 3 дня Сергей Анатольевич уже свободно ел, говорил без стеснения — и, что важнее всего, перестал чувствовать рот как «зону постоянного дискомфорта».

Это не просто эстетика. Это возврат к нормальной жизни — когда улыбка перестаёт быть «маской», а становится частью уверенности.

Записаться на бесплатную консультацию (в том числе онлайн) можно по телефону +7 (495) 463-24-34 и мы подробно расскажем, как можно решить вашу проблему.