Добавить в корзинуПозвонить
Найти в Дзене

Одна из 100 кишечных бактерий препятствует ожирению и снижает уровень сахара в крови

Кишечный микробиом тесно связан со здоровьем и весом человека. Одни микроскопические «жители» связаны с ожирением и набором веса, а другие, напротив, помогают нашему организму справляться с перееданием и не толстеть. Ученые выяснились, какая именно бактерия препятствует ожирению. Различие в кишечном микробиоме — бактериях и грибах в кишечнике — означает, что изменение микробиома может улучшить здоровье. Однако в кишечнике каждого человека обитают сотни различных видов микроорганизмов, поэтому трудно определить, какие именно виды могут помочь. В ходе исследований, проведенных в Университете Юты, был выявлен особый тип кишечных бактерий, называемых Turicibacter, которые улучшают метаболическое здоровье и снижают увеличение веса у мышей, находящихся на диете с высоким содержанием жиров. Результаты опубликованы в журнале Cell Metabolism. У людей с ожирением, как правило, меньше бактерий рода Turicibacter, что позволяет предположить, что этот микроб может способствовать поддержанию здоровог
   Фото: Charlie Ehlert / University of Utah Health
Фото: Charlie Ehlert / University of Utah Health

Кишечный микробиом тесно связан со здоровьем и весом человека. Одни микроскопические «жители» связаны с ожирением и набором веса, а другие, напротив, помогают нашему организму справляться с перееданием и не толстеть. Ученые выяснились, какая именно бактерия препятствует ожирению.

Различие в кишечном микробиоме — бактериях и грибах в кишечнике — означает, что изменение микробиома может улучшить здоровье. Однако в кишечнике каждого человека обитают сотни различных видов микроорганизмов, поэтому трудно определить, какие именно виды могут помочь.

В ходе исследований, проведенных в Университете Юты, был выявлен особый тип кишечных бактерий, называемых Turicibacter, которые улучшают метаболическое здоровье и снижают увеличение веса у мышей, находящихся на диете с высоким содержанием жиров. Результаты опубликованы в журнале Cell Metabolism.

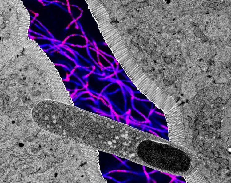
Коллаж из микроскопических изображений, демонстрирующий палочковидную бактерию Turicibacter (на переднем плане), поперечный срез кишечника и флуоресцентную микроскопию других бактерий (на заднем плане). Изображения не в масштабе. Автор: Кендра Клаг, доктор философии.📷    Одна из 100 кишечных бактерий препятствует ожирению и снижает уровень сахара в крови
Коллаж из микроскопических изображений, демонстрирующий палочковидную бактерию Turicibacter (на переднем плане), поперечный срез кишечника и флуоресцентную микроскопию других бактерий (на заднем плане). Изображения не в масштабе. Автор: Кендра Клаг, доктор философии.📷 Одна из 100 кишечных бактерий препятствует ожирению и снижает уровень сахара в крови

У людей с ожирением, как правило, меньше бактерий рода Turicibacter, что позволяет предположить, что этот микроб может способствовать поддержанию здорового веса и у людей в целом. Результаты могут привести к разработке новых способов контроля веса путем регулирования кишечной микрофлоры.

Исследователям из предыдущих работ было известно, что большая группа из примерно 100 бактерий в совокупности способна предотвратить увеличение веса у мышей, но найти конкретный микроб, играющий ключевую роль в поддержании веса, оказалось трудоемкой задачей.

«Микробы, живущие в нашем кишечнике, совершенно не любят жить вне кишечника. Многие из них погибают в присутствии кислорода, и с ними необходимо работать исключительно в герметичных пузырях», — объясняет Кендра Клаг, доктор философии, кандидат медицинских наук в Медицинской школе Спенсера Фокса Экклса при Университете Юты и первый автор статьи.

Но после многолетней работы по культивированию отдельных микробов Клэг обнаружила, что палочковидная бактерия под названием Turicibacter может самостоятельно снижать уровень сахара в крови, уровень жира в крови и увеличение веса у мышей, находящихся на диете с высоким содержанием жиров.

«Я не думала, что один микроб окажет такое сильное воздействие — я предполагала, что это будет смесь из трех или четырех. Когда Клаг показала мне первый эксперимент с Turicibacter, и мыши оставались очень худыми, я подумал: „Это просто потрясающе“. Очень здорово видеть такие результаты», — говорит Джун Раунд, доктор философии, профессор микробиологии и иммунологии в Медицинской школе Спенсера Фокса Экклса при Университете Юты и старший автор статьи.

Бактерии рода Turicibacter, по-видимому, способствуют улучшению обмена веществ, вырабатывая жировые молекулы, которые всасываются в тонком кишечнике. Когда исследователи добавили очищенные жиры Turicibacter к диете с высоким содержанием жиров, они оказали такое же влияние на контроль веса, как и сами бактерии Turicibacter.

Пока неизвестно, какие именно жировые молекулы играют важную роль — бактерия производит тысячи различных жиров, образуя, по словам Клаг, «липидный суп», — но в будущих исследованиях они надеются выявить наиболее важные молекулы для потенциального терапевтического применения.

Исследователи обнаружили, что бактерии Turicibacter, по-видимому, улучшают метаболическое здоровье, влияя на то, как организм хозяина вырабатывает жировые молекулы, называемые церамидами.

Уровень церамидов повышается при диете с высоким содержанием жиров, а высокий уровень церамидов связан со многими метаболическими расстройствами, включая диабет 2 типа и болезни сердца. Но жиры, вырабатываемые бактериями Turicibacter, способны поддерживать низкий уровень церамидов даже у мышей, находящихся на диете с высоким содержанием жиров.

С другой стороны, уровень бактерий Turicibacter зависит от количества жиров в рационе хозяина. Бактерия не будет размножаться, если в ее среде слишком много жира, поэтому мыши, получающие высокожировую диету, теряют бактерии Turicibacter из своего кишечного микробиома, если их рацион не будет регулярно дополняться этим микроорганизмом.

Результаты указывают на сложную петлю обратной связи, в которой жирная диета подавляет активность Turicibacter, а жиры, вырабатываемые Turicibacter, улучшают реакцию организма на пищевые жиры.

Ученые надеются, что Turicibacter может стать отправной точкой для разработки методов лечения, способствующих здоровому метаболизму и предотвращающих чрезмерное увеличение веса.

«Определение того, какой именно липид оказывает такое воздействие, станет одним из важнейших направлений дальнейших исследований. Как с научной точки зрения, поскольку мы хотим понять, как это работает, так и с терапевтической. Возможно, мы могли бы использовать этот бактериальный липид, который, как мы знаем, практически не имеет побочных эффектов, поскольку он присутствует в кишечнике людей, для поддержания здорового веса», — говорит Раунд.

«Благодаря дальнейшему исследованию отдельных микробов мы сможем превратить микробы в лекарства и найти бактерии, которые можно безопасно использовать для создания консорциума различных микроорганизмов, которых может не хватать людям с различными заболеваниями. «Микроорганизмы — это кладезь информации для открытия лекарств. Мы знаем лишь самую верхушку айсберга того, на что способны все эти различные бактериальные продукты», — заключает Клаг.

Источник: Медицинская школа Спенсера Фокса Экклса при Университете Юты.

На заглавном фото: Джун Раунд, доктор философии, в лаборатории. Автор фото: Чарли Элерт/Медицинский центр Университета Юты.

Оригинал статьи на AgroXXI.ru

Интересна тема? Подпишитесь на наши новости в ДЗЕН | Канал в Telegram | Группа Вконтакте | Дзен.новости.