Найти в Дзене
Xray Doctor

Ещё один интересный клинический случай

🧐 Ранее здоровый трёхлетний мальчик в течение нескольких недель жаловался на периодические боли и отказывался ходить. Травмы и падения родители отрицают. ✔️При осмотре правая верхняя часть голени была опухшей, а движения причиняли боль. ✔️Лабораторный анализ при поступлении показал повышенное содержание лейкоцитов — 12,6 × 10³/мм³ — и С-реактивного белка — 20,2 мг/л. Были выполнены следующие инструментальные исследования: ✅Рентгенография показала неоднородное смешанное остеолитико-склеротическое поражение с широкой переходной зоной в проксимальном отделе диафиза большеберцовой кости. В кортикальном слое был обнаружен поперечный патологический перелом, прерывистая пластинчатая реакция надкостницы и отёк мягких тканей. ✅Магнитно-резонансная томография (МРТ) подтвердила обширную замену костного мозга в проксимальном отделе большеберцовой кости с прилегающими мягкими тканями, демонстрирующими неоднородное контрастное усиление, кортикальную проницаемость, разрушение кости с очаговым

Ещё один интересный клинический случай🧐

Ранее здоровый трёхлетний мальчик в течение нескольких недель жаловался на периодические боли и отказывался ходить. Травмы и падения родители отрицают.

✔️При осмотре правая верхняя часть голени была опухшей, а движения причиняли боль.

✔️Лабораторный анализ при поступлении показал повышенное содержание лейкоцитов — 12,6 × 10³/мм³ — и С-реактивного белка — 20,2 мг/л.

Были выполнены следующие инструментальные исследования:

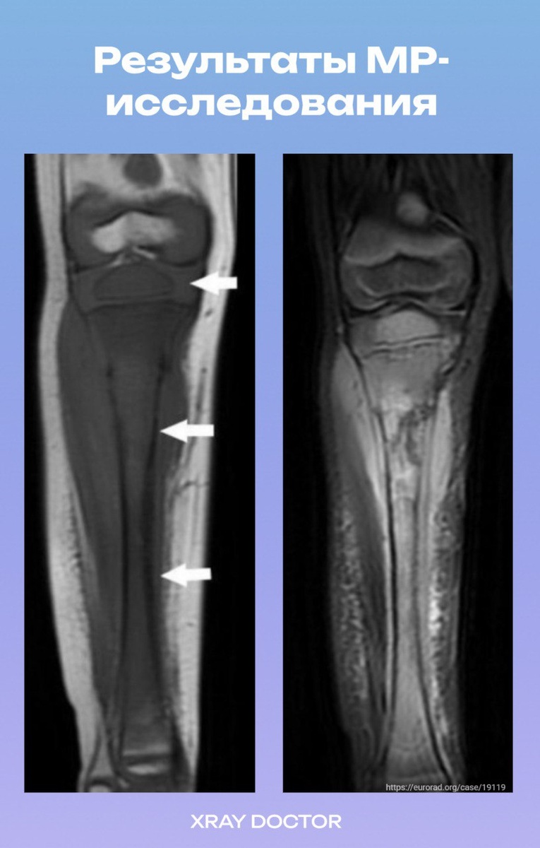
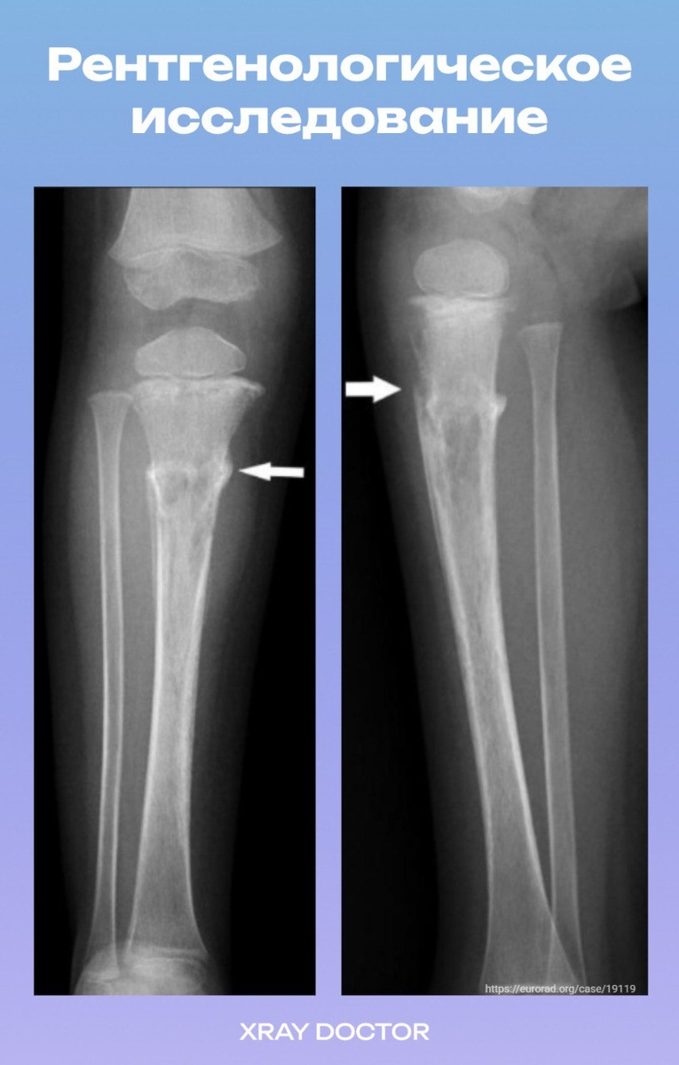
✅Рентгенография показала неоднородное смешанное остеолитико-склеротическое поражение с широкой переходной зоной в проксимальном отделе диафиза большеберцовой кости. В кортикальном слое был обнаружен поперечный патологический перелом, прерывистая пластинчатая реакция надкостницы и отёк мягких тканей.

✅Магнитно-резонансная томография (МРТ) подтвердила обширную замену костного мозга в проксимальном отделе большеберцовой кости с прилегающими мягкими тканями, демонстрирующими неоднородное контрастное усиление, кортикальную проницаемость, разрушение кости с очаговым прорывом кортикального слоя. На Т1-взвешенных изображениях (ВИ) костный мозг был гипоинтенсивным, а на STIR- и PD-изображениях с подавлением сигнала от жира — неоднородно гиперинтенсивным.

✅Позитронно-эмиссионная томография с 18F-фтордезоксиглюкозой и компьютерной томографией (ФДГ ПЭТ-КТ) показала значительное усиление поглощения в проксимальном отделе правой большеберцовой кости, прилегающих мягких тканях, а также в подколенных, паховых, подвздошных и забрюшинных лимфатических узлах справа.

Какую бы вы предлположили патологию у данного пациента?

Внизу прикрепили опрос- выберите ответ.

-2
-3