Найти в Дзене
ANATOMY 3D

Анатомия стопы

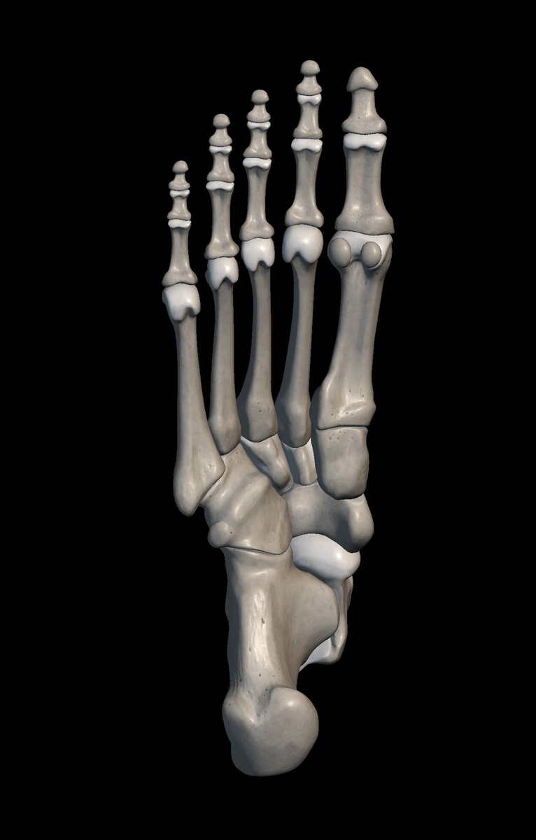
Давайте погрузимся в мир анатомии стопы — этой сложной и продуманной конструкции, которая ежедневно выдерживает колоссальные нагрузки. Чтобы понять, как она работает, начнём с изучения её костного каркаса. Основой служит пяточная кость — самая крупная в стопе. Сверху она соединяется с таранной костью, которая играет ключевую роль в формировании голеностопного сустава вместе с большеберцовой и малоберцовой костями. Примечательно, что к таранной кости не прикрепляется ни одно сухожилие. Она словно находится в «заложниках» между сухожилиями мышц, спускающихся от голени. Если в каком‑либо направлении сухожилие ослабевает, может произойти смещение таранной кости. Это чревато нарушением амортизационной функции стопы и неправильным распределением нагрузки. Пяточная кость также соединяется с другими костями: с кубовидной — с латеральной стороны, с ладьевидной — с медиальной. Вместе с таранной костью они формируют задний отдел стопы, или предплюсный отдел. К нему же относятся три клиновидные к

Давайте погрузимся в мир анатомии стопы — этой сложной и продуманной конструкции, которая ежедневно выдерживает колоссальные нагрузки. Чтобы понять, как она работает, начнём с изучения её костного каркаса.

Основой служит пяточная кость — самая крупная в стопе. Сверху она соединяется с таранной костью, которая играет ключевую роль в формировании голеностопного сустава вместе с большеберцовой и малоберцовой костями. Примечательно, что к таранной кости не прикрепляется ни одно сухожилие. Она словно находится в «заложниках» между сухожилиями мышц, спускающихся от голени. Если в каком‑либо направлении сухожилие ослабевает, может произойти смещение таранной кости. Это чревато нарушением амортизационной функции стопы и неправильным распределением нагрузки.

Пяточная кость также соединяется с другими костями: с кубовидной — с латеральной стороны, с ладьевидной — с медиальной. Вместе с таранной костью они формируют задний отдел стопы, или предплюсный отдел. К нему же относятся три клиновидные кости — медиальная, промежуточная и латеральная. Эти кости снизу соединяются с ладьевидной, а сверху — с плюсневыми костями. Так, медиальная клиновидная кость сочленяется с первой плюсневой, которая формирует большой палец. Промежуточная клиновидная соединяется со второй плюсневой, латеральная клиновидная — с третьей. Кубовидная кость сочленяется с четвёртой и пятой плюсневыми. Плюсневые кости, в свою очередь, соединяются с фалангами пальцев: у большого пальца их две, у остальных — по три.

Теперь обратимся к такому важному элементу, как свод стопы. Часто говорят о нём, но не все представляют, что это такое. Свод можно сравнить с полукуполом: именно такую форму имеет свод одной стопы. Если соединить две стопы, их полукупола образуют полноценный купол. Этот свод формируется четырьмя основными арками.

Первая — медиальная продольная арка. Она наиболее подвержена уплощению, из‑за чего стопа может заваливаться внутрь. В её формировании участвуют кости: основания первой, второй и третьей плюсневых костей, головка таранной кости, три клиновидные кости и ладьевидная кость.

Вторая — латеральная продольная арка, включающая основания четвертой и пятой плюсневых костей и центр тела пяточной кости.

Третья — дистальная поперечная арка, охватывающая головки всех пяти плюсневых костей. Четвёртая — проксимальная поперечная арка, в которую входят три клиновидные кости, кубовидная и ладьевидная кости.

Как же работают эти арки? Представьте батут: когда вы на него приземляетесь, его поверхность проминается, накапливает упругую энергию, а затем выталкивает вас вверх за счёт энергии упругой отдачи. Точно так же арки и полукупол стопы поглощают неровности поверхности и рассеивают нагрузку. Когда стопа контактирует с опорой, возникает сила реакции опоры — согласно третьему закону Ньютона, сила действия равна силе противодействия. Чтобы эта энергия эффективно распределялась по телу, ткани подошвы должны быть эластичными. Они подстраиваются под поверхность, накапливают энергию и отталкивают стопу — так обеспечивается энергоэффективная походка.

Перейдем к основным движениям стопы. В сагиттальной плоскости происходят сгибание и разгибание. Здесь часто возникает путаница: движение стопы вверх (к большеберцовой кости) интуитивно хочется назвать сгибанием, а движение вниз — разгибанием. На самом деле всё наоборот. Другой упрощённый вариант обозначения этих движений: движение вверх именуется тыльным сгибанием, а вниз — подошвенным сгибанием.

Есть также инверсия и эверсия — одноплоскостные движения. Инверсия — это вращение наружу, когда поднимается большой палец (первая плюсневая кость). Эверсия — вращение внутрь, когда заворачивается передняя часть стопы. Если инверсия становится чрезмерной, может возникнуть инверсионный вывих голеностопного сустава.

Далее — супинация и пронация, трехплоскостные движения. Супинация включает инверсию, приведение и подошвенное сгибание. Пронация состоит из эверсии, отведения и тыльного сгибания.

Наконец, термины вальгус и варус используются для описания деформаций. Вальгус означает отклонение кнутри, а варус — отклонение кнаружи.

#анатомия #здоровье #стопа #биомеханика #фитнес