Добавить в корзинуПозвонить
Найти в Дзене

Удар животом о велосипедную ручку привел к свищу между поджелудочной железой и плевральной полостью

Индийские врачи описали случай панкреатоплеврального свища — патологического сообщения между поджелудочной железой и плевральной полостью — у мальчика препубертатного возраста, который возник из-за тупой травмы живота — удара о велосипедную ручку. Такое сообщение приводило к повторяющемуся скоплению поджелудочного сока в плевральной полости, из-за чего ребенок несколько раз попадал в больницу. Случай описан в BMJ Case Reports. Панкреатоплевральный свищ встречается чрезвычайно редко и возникает при остром или хроническом панкреатите, а также при травмах поджелудочной железы. Часто постановка диагноза осложняется из-за выраженных симптомов дыхательной недостаточности, которая возникает из-за повторяющихся плевральных выпотов. Примечательно, что среди детей описано лишь 47 случаев панкреатоплеврального свища, в то время как среди взрослых было зарегистрировано более 300 случаев. К команде врачей под руководством Ханс Вайш (Hans Vaish) из Больницы Мехер обратилась мама с сыном препубертатн
  N + 1; Hans Vaish et al. / BMJ Case Reports, 2025
N + 1; Hans Vaish et al. / BMJ Case Reports, 2025

Индийские врачи описали случай панкреатоплеврального свища — патологического сообщения между поджелудочной железой и плевральной полостью — у мальчика препубертатного возраста, который возник из-за тупой травмы живота — удара о велосипедную ручку. Такое сообщение приводило к повторяющемуся скоплению поджелудочного сока в плевральной полости, из-за чего ребенок несколько раз попадал в больницу. Случай описан в BMJ Case Reports.

Панкреатоплевральный свищ встречается чрезвычайно редко и возникает при остром или хроническом панкреатите, а также при травмах поджелудочной железы. Часто постановка диагноза осложняется из-за выраженных симптомов дыхательной недостаточности, которая возникает из-за повторяющихся плевральных выпотов. Примечательно, что среди детей описано лишь 47 случаев панкреатоплеврального свища, в то время как среди взрослых было зарегистрировано более 300 случаев.

К команде врачей под руководством Ханс Вайш (Hans Vaish) из Больницы Мехер обратилась мама с сыном препубертатного возраста с жалобами на затрудненное дыхание и боль в правой части грудной клетки в течение недели. При осмотре частота дыхания составила 20 вдохов в минуту при уменьшении экскурсии грудной клетки справа. В правой подлопаточной и подмышечной областях дыхание было ослабленным при аускультации. Насыщение крови кислородом составило 88–89 процента при частоте сердечных сокращений 110 в минуту.

Рентгенография грудной клетки и ультразвуковое исследование легких выявили плевральный выпот справа объемом около одного литра. Врачи дренировали около литра темно-красной плевральной жидкости, и на следующий день выписали ребенка домой. Однако через шесть дней он снова поступил с аналогичными жалобами, рентгенография снова выявила правосторонний плевральный выпот, врачи опять дренировали около литра плевральной жидкости темно-красного цвета. Ребенка выписали, и из-за известного контакта с больным туберкулезом ему назначили противотуберкулезные препараты.

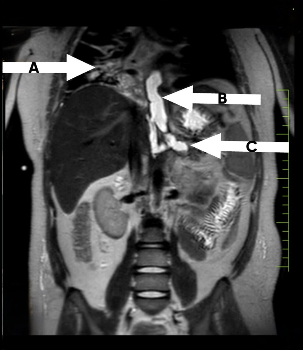
В третий раз пациента госпитализировали с теми же жалобами через пять дней. Более подробный сбор анамнеза позволил узнать, что за месяц до появления первых жалоб ребенок получил тупую травму живота от удара о велосипедную ручку. Поэтому ему провели компьютерную томографию грудной клетки с контрастированием, которая показала неоднородные участки уплотнения воздушного пространства в правом легком с правосторонним гидропневмотораксом и удлиненным дольчатым многоочаговым скоплением подкожной клетчатки, простирающимся от правой плевральной полости до хвоста поджелудочной железы.

Магнитно-резонансная томография выявила панкреатит с образованием трубчатых кист в дистальных отделах тела и хвоста поджелудочной железы, распространяющихся сзади в забрюшинном пространстве и затем проходящих сверху через пищеводный проход диафрагмы в правую плевральную полость. Также было обнаружено узкое сообщение с левой плевральной полостью.

Врачи также обнаружили значительное повышение уровней амилазы и липазы в плевральной жидкости, что дополнительно подтверждало наличие панкреатоплеврального свища. Ребенка перевели на парентеральное питание и назначили заместительную ферментативную терапию. Постепенно, в течение десяти дней, выделение жидкости свища начало уменьшаться, а затем полностью прекратилось. После выписки не было новых эпизодов рецидивирующего плеврального выпота.

Не всегда плевра может удержать патологическое содержимое плевральной полости. Недавно мы рассказывали, что у пожилого американца прорвалась париетальная плевра, из-за чего гной затек за заднюю стенку грудной клетки.