Добавить в корзинуПозвонить
Найти в Дзене
Astra Dental Clinic

Lumineers

Lumineers can only restore the aesthetic functionality of your smile. This installation is capable of hiding or extinguishing only minor defects of your dental units. If the health problem of your dental units is more serious, then in such a clinical case, the luminaire design will not help, since it requires fundamental treatment of the dental system. Preparation for the installation of lumineers. The first step is to examine the patient's clinical situation using an X-ray examination in order for the doctor to draw up a plan of manipulations for the installation of lumineers. If the dentist has not identified any contraindications, then he proceeds to the first stage of installing lumineers. The second step: The patient must undergo a complete oral rehabilitation. Treat gums, get rid of plaque. The third step: with the help of specialized software, a mock-up of a future smile is modeled. The fourth step: the dentistry "Astra Dental Clinic" sends the casts to its laboratory, where the

Lumineers can only restore the aesthetic functionality of your smile. This installation is capable of hiding or extinguishing only minor defects of your dental units. If the health problem of your dental units is more serious, then in such a clinical case, the luminaire design will not help, since it requires fundamental treatment of the dental system.

-2

Preparation for the installation of lumineers.

The first step is to examine the patient's clinical situation using an X-ray examination in order for the doctor to draw up a plan of manipulations for the installation of lumineers. If the dentist has not identified any contraindications, then he proceeds to the first stage of installing lumineers.

The second step: The patient must undergo a complete oral rehabilitation. Treat gums, get rid of plaque.

The third step: with the help of specialized software, a mock-up of a future smile is modeled.

The fourth step: the dentistry "Astra Dental Clinic" sends the casts to its laboratory, where the production of lumineers is carried out.

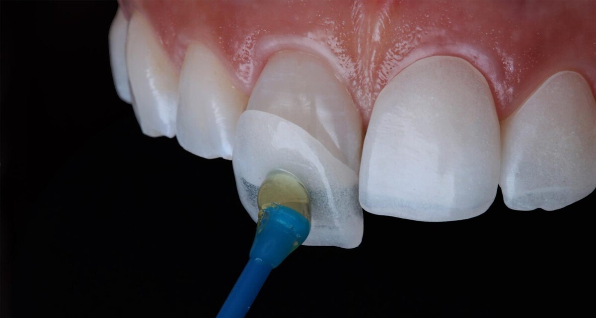
The final stages are fitting or fixing the design. If the pads fit perfectly to the teeth during the fitting, the lumineers are fixed and the patient gets his desired result: a healthy, beautiful and aesthetically natural smile.

-3

Disadvantages of lumineers.

Noting some of the disadvantages of such an orthopedic installation as lumineers, it is possible to highlight the high cost of this design compared to other methods of restoring a beautiful smile. For example, veneers can be an alternative to lumineers. The average cost of veneers starts from $220, when prices for dental lumineers in Tbilisi are $350.

Install ceramic overlays on teeth in Tbilisi, Georgia

Visually, lumineers can add volume to teeth, since when installing this design, the tooth enamel is not sharpened.