Добавить в корзинуПозвонить
Найти в Дзене

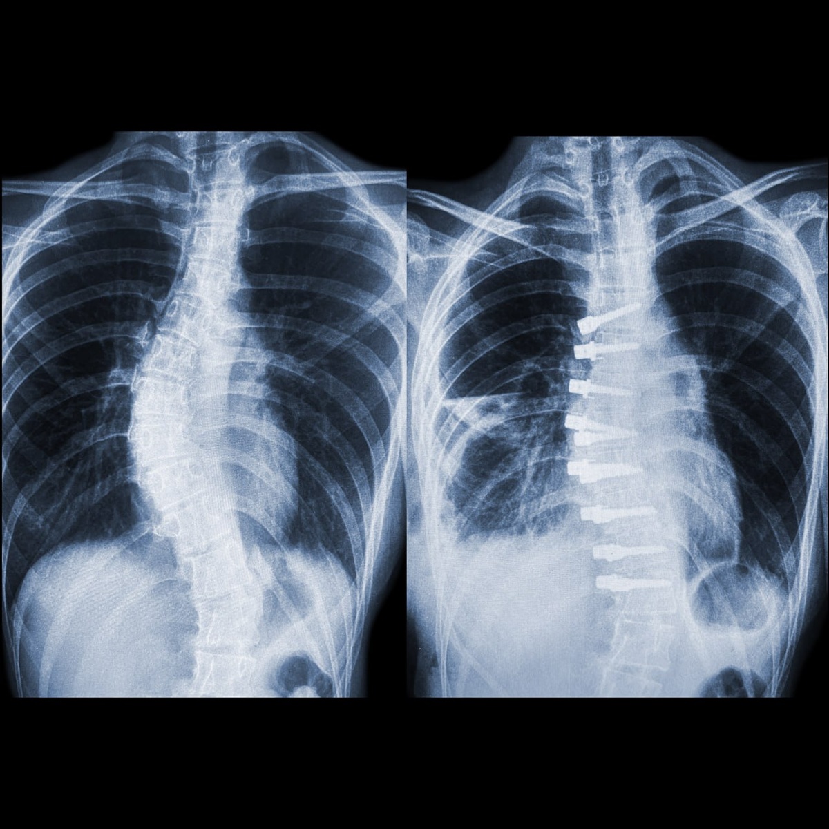
Подарок под Новый год: ровная спина и жизнь без ограничений по занятиям спортом

! Специалист Университетского клинического центра им. В.В. Виноградова (филиал) РУДН с мировым именем - профессор, врач - травматолог-ортопед, вертебролог, д.м.н. - Сергей Васильевич Колесов совместно с международными коллегами провел в Национальном научном центре травматологии и ортопедии имени академика Н.Ж. Батпенова Республики Казахстан две операции по динамической коррекции сколиоза. Одной пациентке еще нет 18 лет. Профессор отмечает отличный результат коррекции сколиоза в грудном отделе – «почти в ноль». Совершеннолетней девушке был полностью исправлен грудно-поясничный сколиоз IV степени. «Вершина деформации расположена в области грудопоясничного перехода и сама деформация достаточно продолжительная. Особенность в том, что чаще всего при операциях с динамической системой достаточно короткая область фиксации, а в данном случае использованы 17 винтов на 10 позвонках с Т7 до L4», - рассказал Сергей Колесов. Сейчас обе пациентки находятся под наблюдением. Динамика у них положите

Подарок под Новый год: ровная спина и жизнь без ограничений по занятиям спортом!

Специалист Университетского клинического центра им. В.В. Виноградова (филиал) РУДН с мировым именем - профессор, врач - травматолог-ортопед, вертебролог, д.м.н. - Сергей Васильевич Колесов совместно с международными коллегами провел в Национальном научном центре травматологии и ортопедии имени академика Н.Ж. Батпенова Республики Казахстан две операции по динамической коррекции сколиоза.

Одной пациентке еще нет 18 лет. Профессор отмечает отличный результат коррекции сколиоза в грудном отделе – «почти в ноль». Совершеннолетней девушке был полностью исправлен грудно-поясничный сколиоз IV степени.

«Вершина деформации расположена в области грудопоясничного перехода и сама деформация достаточно продолжительная. Особенность в том, что чаще всего при операциях с динамической системой достаточно короткая область фиксации, а в данном случае использованы 17 винтов на 10 позвонках с Т7 до L4», - рассказал Сергей Колесов.

Сейчас обе пациентки находятся под наблюдением. Динамика у них положительная: хорошо восстанавливаются, выполняют специальные дыхательного упражнения. Эта операция подарила им ровную спину, отсутствие болей и жизнь без ограничений по занятиям спортом!

Записаться на прием к врачу - травматологу-ортопеду, вертебрологу можно по номеру Контактного центра: +74951034666

А ещё:

👩‍💻 Онлайн-чат на сайте: www.univerclinic.rudn.ru

✈️ Личные сообщения ВКонтакте

🔴 С помощью формы онлайн записи

#случай_из_врачебной_практики

-2