Добавить в корзинуПозвонить
Найти в Дзене

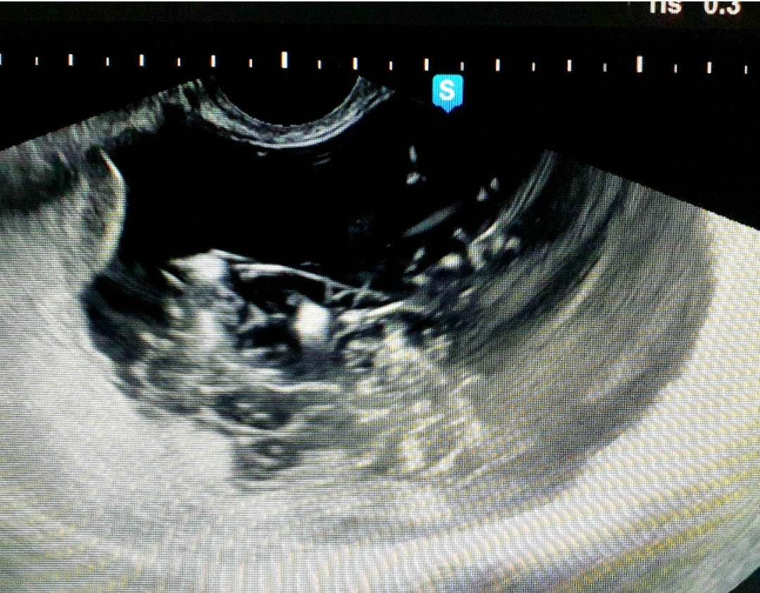
Киста яичника. Клинический случай.

Ко мне на УЗИ пришла женщина 35 лет, у которой на осмотре у гинеколога было выявлено увеличение правого яичника.
Для уточнения диагноза было
рекомендовано УЗИ органов малого таза.
По УЗИ получилась вот такая картина.

Ко мне на УЗИ пришла женщина 35 лет, у которой на осмотре у гинеколога было выявлено увеличение правого яичника.

Для уточнения диагноза было

рекомендовано УЗИ органов малого таза.

По УЗИ получилась вот такая картина.

Фото из личного архива.
Фото из личного архива.

Мы видим округлое образование с чёткими контурами с жидкостным неоднородным содержимым.

Размеры образования 10,0×10,0×9,0 см.

На фоне жидкостного компонента видны множественные линейные тонкие светлые линии и по периферии светлые небольшие образования.

Предположительно это тератома

( дермоидная киста).

Можно предположить, что линейные структуры- это волосы , светлые фрагменты- жировая ткань. Эта картина поразила тем, что так чётко волосы внутри кисты я видела впервые!

Женщина сделала МРТ, также предварительный диагноз- тератома

( жировая ткань и тонкие линейные структуры).

Тератома яичника представляет собой необычное образование, возникающее вследствие нарушения дифференцировки клеток зародышевого эпителия половых желез. Это редкий вид опухоли, характеризующейся наличием тканей, не типичной для яичника и характерной для разных органов человеческого организма. Например, внутри такого образования могут обнаруживаться волосы, зубы, кожа, мышцы, кости и даже фрагменты глаз или нервной ткани.

Изредка внутри кисты может находиться даже ткань щитовидной железы, вырабатывающая гормоны.

И у таких пациенток могут быть явления тиреотоксикоза.

Несмотря на столь необычные элементы, в большинстве случаев тератомы являются доброкачественными опухолями.

 Женщина направлена на оперативное лечение.

Окончательный диагноз мы узнаем только после результатов гистологии.

Если киста окажется доброкачественной ( зрелая тератома), то будет выполнено только удаление этого образования с сохранением здоровой ткани яичника.

Будем ждать результатов гистологии и надеяться на благоприятный исход)

Спасибо за внимание!