Добавить в корзинуПозвонить
Найти в Дзене

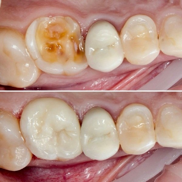
Работа: До/После

Работа: До/После Врач: Маркаев Х. Цена под ключ: 4000 Материалы: Estelite A2, Травекс, Optibond: 1- Prime, 2- Adhesive Время работы: 1 час Процедура: глубокий кариес 8-800-555-73-67 Источник https://uchaly102.ru/?p=115699

Работа: До/После

Врач: Маркаев Х.

Цена под ключ: 4000

Материалы: Estelite A2, Травекс, Optibond: 1- Prime, 2- Adhesive

Время работы: 1 час

Процедура: глубокий кариес

8-800-555-73-67

Источник

https://uchaly102.ru/?p=115699