Найти в Дзене
Mavie Clinique

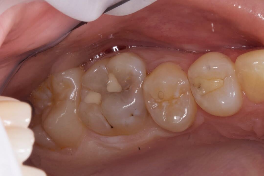
Клинический случай: запущенный кариес

История одного зуба наглядно показывает, почему не стоит откладывать лечение кариеса. Запущенный кариес = лечение каналов, а еще бывают случаи, когда запущенный кариес приводит к удалению зуба 💡 На фото - работа доктора Аманды Дадаевны. Не откладывайте визит к стоматологу, запишитесь прямо сейчас - +74950030301 Мы находимся по адресу: г. Москва, ул. Зубовский бульвар, д. 15, с. 4

История одного зуба наглядно показывает, почему не стоит откладывать лечение кариеса.

Запущенный кариес = лечение каналов, а еще бывают случаи, когда запущенный кариес приводит к удалению зуба 💡

-2

На фото - работа доктора Аманды Дадаевны.

-3

Не откладывайте визит к стоматологу, запишитесь прямо сейчас - +74950030301

Мы находимся по адресу: г. Москва, ул. Зубовский бульвар, д. 15, с. 4