Добавить в корзинуПозвонить
Найти в Дзене
Hi-Tech Mail

Прионные поражения мозга могут произойти даже без инфицирования: вывод ученых

Традиционно считается, что прионные болезни — такие как болезнь Кре́йтцфельдта — Я́коба или губчатая энцефалопатия крупного рогатого скота («коровье бешенство») — вызываются инфекционными прионами — особой формой неправильно свернувшихся белков, способных заражать и превращать нормальные белки в такие же дефектные. Но новое исследование, опубликованное в International Journal of Molecular Sciences, оказало: даже без внедрения инфекционных прионов в мозгу мышей могут развиваться тяжелые нейродегенеративные патологии. Исследователи искусственно создали вариант белка PrP (prion protein), свернутого неправильно, но не способного к распространению как инфекционный агент. При введении этого белка мышам — без каких-либо прионов — у них развились характерные для прионных болезней изменения: губчатая структура мозга, рубцевание (астроглиоз), накопление амилоидных бляшек. При хроническом воспалении, вызванном бактериальным эндотоксином lipopolysaccharide (LPS), даже без неправильно свернутых PrP
Оглавление

Традиционно считается, что прионные болезни — такие как болезнь Кре́йтцфельдта — Я́коба или губчатая энцефалопатия крупного рогатого скота («коровье бешенство») — вызываются инфекционными прионами — особой формой неправильно свернувшихся белков, способных заражать и превращать нормальные белки в такие же дефектные.

Но новое исследование, опубликованное в International Journal of Molecular Sciences, оказало: даже без внедрения инфекционных прионов в мозгу мышей могут развиваться тяжелые нейродегенеративные патологии.

Исследователи искусственно создали вариант белка PrP (prion protein), свернутого неправильно, но не способного к распространению как инфекционный агент. При введении этого белка мышам — без каких-либо прионов — у них развились характерные для прионных болезней изменения: губчатая структура мозга, рубцевание (астроглиоз), накопление амилоидных бляшек.

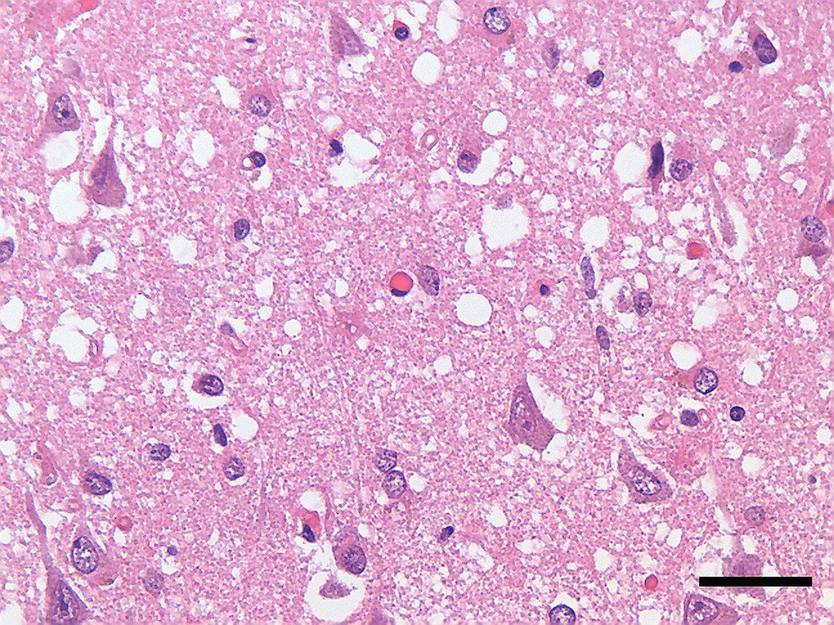
   Фотография, сделанная с помощью светового микроскопа, показывает губчатую дегенерацию коры головного мозга пациента, умершего от болезни Крейтцфельдта-Якоба (БКЯ). Срез ткани заливали в парафин, делали срезы толщиной приблизительно 5-10 микрон и окрашивали гематоксилином и эозином (H&E). Можно увидеть несколько крупных нейронов пирамидальной формы, а также ядра глиальных клеток. Шкала в правом нижнем углу показывает расстояние в 30 микрон (0,03 миллиметра).
Фотография, сделанная с помощью светового микроскопа, показывает губчатую дегенерацию коры головного мозга пациента, умершего от болезни Крейтцфельдта-Якоба (БКЯ). Срез ткани заливали в парафин, делали срезы толщиной приблизительно 5-10 микрон и окрашивали гематоксилином и эозином (H&E). Можно увидеть несколько крупных нейронов пирамидальной формы, а также ядра глиальных клеток. Шкала в правом нижнем углу показывает расстояние в 30 микрон (0,03 миллиметра).

Токсин LPS как катализатор разрушения

При хроническом воспалении, вызванном бактериальным эндотоксином lipopolysaccharide (LPS), даже без неправильно свернутых PrP наблюдалось повреждение мозга — образование амилоидных бляшек, спонгиоз, высокий процент смертности. Когда же LPS и дефектный PrP сочетались, структура мозга разрушалась еще сильнее, болезнь развивалась особенно стремительно и неблагоприятно.

По словам ведущего автора исследования, это «фундаментально оспаривает» доминирующую гипотезу, что прионные болезни — лишь результат распространения инфекционных прионов. Возможно, первопричиной оказываются хроническое воспаление и внутренняя дисфункция белков.

   На этой микрофотографии показано, как прионы, окрашенные в красный цвет, распространяются между клетками нервной ткани мыши.
На этой микрофотографии показано, как прионы, окрашенные в красный цвет, распространяются между клетками нервной ткани мыши.

От «бешенства коров» до деменции у человека

Авторы полагают, что прионные болезни не ограничиваются смертельной, но в целом довольно экзотической при надлежащей профилактике болезнью Кре́йтцфельдта — Я́коба. Новые результаты могут перевернуть представление о распространенных нейродегенеративных состояниях у людей вроде болезней Альцгеймера и Паркинсона и бокового амиотрофического склероза, где неправильно свернутые белки и воспаление играют ключевую роль.

Если воспаление и «неинфекционные» формы PrP действительно могут инициировать разрушение мозга, это открывает путь к новым стратегиям — например, снижению воспалительных факторов, заботе о здоровье кишечника, метаболическом и иммунном балансе, что могло бы помочь предотвратить часть случаев нейродегенерации.

Работа напоминает, что болезни мозга могут иметь гораздо более сложную природу, чем считалось. Возможно, ключ к профилактике — не в борьбе с инфекционными агентами, а в контроле воспаления и стабильности самих белков мозга.

   Лабораторные мыши вновь положили жизни на алтарь науки
Лабораторные мыши вновь положили жизни на алтарь науки

Недавно мы рассказали, как японский суперкомпьютер смоделировал работу коры головного мозга мыши.