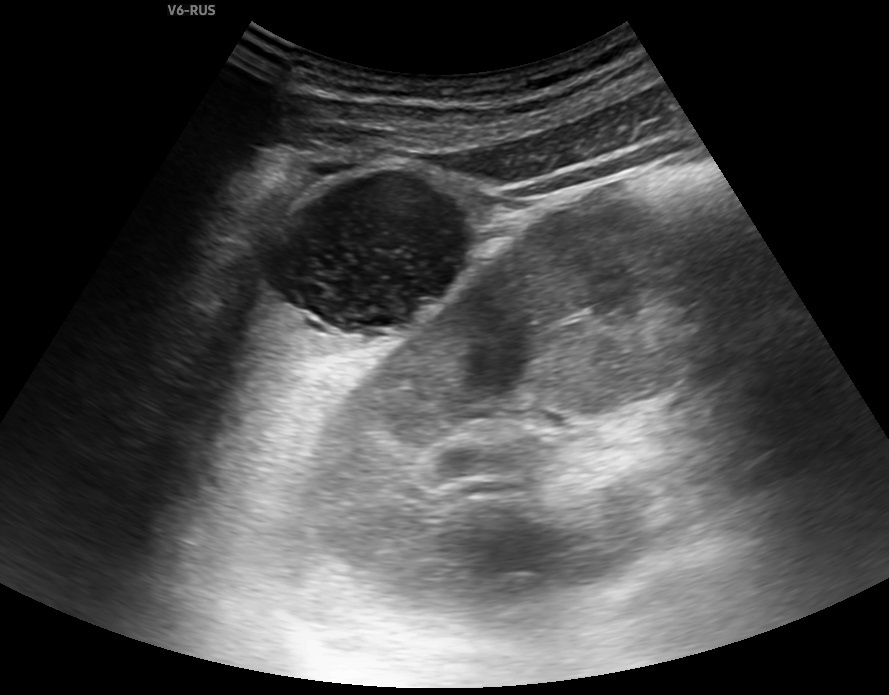
Изображение из свободного доступа Общеизвестно, что чем дольше человек работает, тем больше он знает, тем больше опыта у него есть и, соответственно, тем быстрее он способен принимать решения. Там, где начинающий доктор будет долго "копаться" пытаясь понять ультразвуковую картину, профессионал с опытом примет решение в гораздо более короткий промежуток времени. Но уверенность в своем понимании ультразвуковой картины иногда может сыграть с врачом плохую шутку, когда он, будучи уверен в своих выводах, не уделит достаточно внимания мелочам, которые будут иметь важное значение. Хочу продемонстрировать пример из практики. Пациент более 10 лет наблюдается по поводу объемного образования в селезенке. Предыдущие результаты не представлены, но со слов - опухоль не растет, остаётся всё время в тех же размерах. Все прошедшие годы проводилось только ультразвуковое исследование. При УЗИ селезенки ближе к нижнему полюсу лоцируется образование неправильной округлой формы, значительно сниженной эхоге
ВНИМАТЕЛЬНОСТЬ И ЕЩЕ РАЗ ВНИМАТЕЛЬНОСТЬ.
15 декабря 202515 дек 2025
50
1 мин
