Добавить в корзинуПозвонить
Найти в Дзене

Меняем ортодонта прямо сейчас…

Поменять ортодонта Вы носите брекеты, но задумываетесь о замене своего ортодонта на другого специалиста, удовлетворяющего современным критериям? Как быстро можно поменять врача? На самом деле, здесь нет ничего сложного, главное, подобрать такого профессионала, который способен продолжать то, что начато! Более сложная задача - это найти достойного нового ортодонта, а не столкнуться с «мнимым» доктором, создающим ложное впечатление о своих возможностях. Что требуется сделать? Снимок прикуса Желательно, чтобы у вас на руках были какие-то диагностические заключения, которые описывают положения вашего прикуса до начала лечения. Это могут быть снимки или модели вашего прикуса. Вы можете забрать данные экземпляры непосредственно у вашего врача. Если этого нет или вы не хотели бы обращаться в предыдущую клинику, то можно пройти долечивание на брекетах по новому ортодонтическому плану, сформированному новым ортодонтом. Составление договора о продолжении лечения на брекетах - это гла
Оглавление

Поменять ортодонта
Поменять ортодонта

Вы носите брекеты, но задумываетесь о замене своего ортодонта на другого специалиста, удовлетворяющего современным критериям?

Как быстро можно поменять врача?

На самом деле, здесь нет ничего сложного, главное, подобрать такого профессионала, который способен продолжать то, что начато!

Более сложная задача - это найти достойного нового ортодонта, а не столкнуться с «мнимым» доктором, создающим ложное впечатление о своих возможностях.

Что требуется сделать?

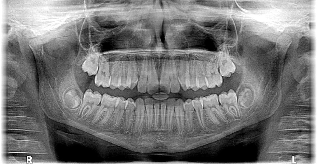
Снимок прикуса
Снимок прикуса

Желательно, чтобы у вас на руках были какие-то диагностические заключения, которые описывают положения вашего прикуса до начала лечения.

Это могут быть снимки или модели вашего прикуса. Вы можете забрать данные экземпляры непосредственно у вашего врача.

Если этого нет или вы не хотели бы обращаться в предыдущую клинику, то можно пройти долечивание на брекетах по новому ортодонтическому плану, сформированному новым ортодонтом.

Составление договора о продолжении лечения на брекетах - это главная юридическая часть ортодонтии.

Благодаря этому, вы можете получить уверенность в том, что ортодонт будет нести полную ответственность за ваш прикус.

Как найти ортодонта?

Найти ортодонта
Найти ортодонта

Не все ортодонты соглашаются взять пациентов, у которых стоят брекеты. Как правило, вы можете столкнуться с предложениями снять брекеты и установить другую систему.

Не стоит соглашаться на это! Опытный врач способен провести новое лечение на брекетах, которые не нужно снимать с поверхности зубов.

Это все говорит о следующем:

  1. Новый ортодонт - это всего лишь помощник для продолжения лечения прикуса без кардинальных изменениях ортодонтического процесса;
  2. Долечивание на брекетах должен проводить тот врач, который обладает необходимыми знаниями в области завершения ортодонтии, начатой в другом месте;
  3. Поменять ортодонта можно в любой момент и никто не может запретить вам это сделать.

Что выполняю я?

Ортодонт
Ортодонт

Мне удается совмещать в себе врача, который работает с первичными пациентами и с пациентами, обратившимися ко мне из других клиник.

Я работаю без снятия брекетов с зубов, я сохраняю ту систему, которая поставлена в другом месте.

Если меня не устраивает ее положение и я вижу, что брекеты не будут эффективно исправлять прикус, то приходится вносить коррективы в положение системы на зубах, но данная услуга осуществляется совершенно бесплатно.

Если ортодонт не способен справиться с тяжелым ортодонтическим случаем, не стоит ждать, обращайтесь ко мне и я постараюсь помочь.

Найти нового ортодонта вы можете благодаря моему участию, так как много тонкостей есть в данном направлении.

С уважением, ортодонт Райтер.