Добавить в корзинуПозвонить
Найти в Дзене
Parodoctor

Дневник ассистента в брекетах - 4 месяца прошло, установка на низ. Ощущения, страхи, изменения в прикусе и в рабочей жизни

Совсем пропала с радаров история бедолаги, который страдал с верхней челюстью жёстко. Может, дела идут не очень хорошо, зубы выпали и хвалиться нечем..? Между прочим, прошло 4 месяца с момента начала эпопеи. Пролетело лето, зима началась. А бедолага так и ходит с металяшками на челюсти верхней, голым низом довольствуясь. Ладно, просто я в отпуске была и не писала ничего. Между тем, клиника жила, улей гудел, стучали зубы - у кого от страха, у кого от радости. И брекеты на нижнюю челюсть помощнику установлены были. Страшно тогда, когда не знаешь, чего ожидать Ну или знаешь, от того и трясутся поджилки. Не всегда стоматологический опыт бывает позитивным, согласятся многие со мной, думаю. Вот и ассистенту ничего человеческое не чуждо. Да, он повидал множество установок систем, видел пациентов на разных этапах ношения брекетов, общался с ними, слышал разговоры доктора. Но свой опыт - это свой опыт. Ни одно наблюдение со стороны его не заменит. От того и боязно. Однако, если в первый ра
Оглавление

Совсем пропала с радаров история бедолаги, который страдал с верхней челюстью жёстко. Может, дела идут не очень хорошо, зубы выпали и хвалиться нечем..?

Между прочим, прошло 4 месяца с момента начала эпопеи. Пролетело лето, зима началась. А бедолага так и ходит с металяшками на челюсти верхней, голым низом довольствуясь.

Ладно, просто я в отпуске была и не писала ничего. Между тем, клиника жила, улей гудел, стучали зубы - у кого от страха, у кого от радости.

И брекеты на нижнюю челюсть помощнику установлены были.

Страшно тогда, когда не знаешь, чего ожидать

Ну или знаешь, от того и трясутся поджилки. Не всегда стоматологический опыт бывает позитивным, согласятся многие со мной, думаю.

Вот и ассистенту ничего человеческое не чуждо. Да, он повидал множество установок систем, видел пациентов на разных этапах ношения брекетов, общался с ними, слышал разговоры доктора. Но свой опыт - это свой опыт. Ни одно наблюдение со стороны его не заменит. От того и боязно. Однако, если в первый раз ассистент боялся всего - боли, накладок, невозможности нормально питаться, то теперь всё изменилось. И не потому, что было гладко да сладко - кто читал историю с самого начала, тот знает, через какие муки прошёл человек.

Важно одно - теперь ПОНЯТНО, чего ожидать. И это успокаивает.

Опыт научил главному:

  • первые три дня может быть забег по стенам - это нормально;
  • к концу первой недели всё наладится;
  • через две недели привыкание полное;
  • через месяц чистка зубов с брекетами становится обычной рутиной.

Накладки - те самые синие композитные "бугорки" на жевательных зубах, которые так пугали вначале? Тю, он их теперь даже не замечает. Язык адаптировался, жевать привык всякое, приловчился.

Височно-нижнечелюстной сустав, который беспокоил до установки брекетов, больше не даёт о себе знать. Ортодонт оказалась права - организм адаптируется, если дать ему время и если всё идёт согласно продуманному плану лечения. Без паники на первых этапах - руки чешутся всё содрать к едрени фени, но нужно больше смирения и терпения.

Всё пройдёт - печаль забудется, а радость останется вместе с качеством стоматологической жизни. Оно того точно стоит.

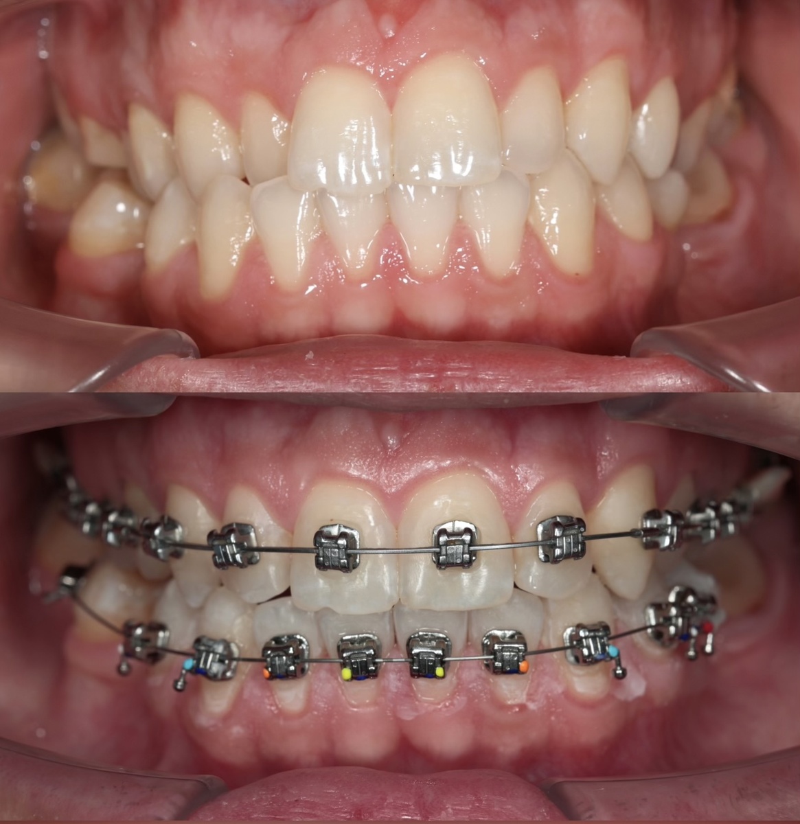
Установка брекет-системы на нижнюю челюсть

Процедура стандартная по своей сути - профгигиена, протравливание эмали, фиксация брекетов, установка дуги. Но психологический комфорт иной. Пациент сидит спокойно, он уже даже мечтал обзавестись металлом на всех зубах. Он же видит, что результат есть. И это очень мотивирует, скажу я вам.

Сверху - фото до, снизу - через 4 месяца в день установки системы на нижнюю челюсть:

Мне кажется, результат на лицо (на зубы).

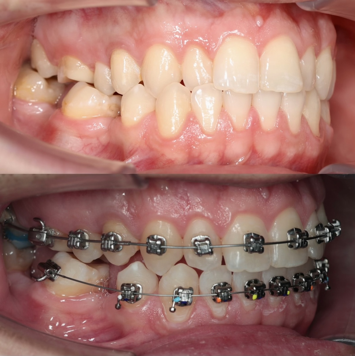
Посмотрим по сторонам:

И со стороны полости рта:

Единственное волнение - как оно, когда брекеты и сверху, и снизу? Не будут ли системы цепляться друг за друга? Получится ли нормально закрыть рот? А есть как?

Спойлер от ассистента - всё получилось и всё нормально. Накладки не дают зубам полностью смыкаться, поэтому брекеты друг друга не касают. Ортодонт всё рассчитала правильно.

За 4 месяца верхняя челюсть изменилась:

  • перекрёстный прикус справа расправляется;
  • зубы выстраиваются в направлении правильной дуги;
  • клыки начинают занимать физиологичное положение;
  • улыбка становится шире и симметричнее.

Нижняя челюсть только начинает трансформацию, результаты оценим позже.

Однако, скорость изменения положения зубов при коррекции на брекет-системе впечатляет. Ассистент документирует процесс фотографиями и в моменты усталости от ограничений смотрит на исходные снимки. Мотивация восстанавливается мгновенно.

Первая неделя с брекетами на обеих челюстях

Боль пришла по расписанию - через 3 часа после установки. Но она была... ожидаемой. Когда знаешь, что это нормальная реакция на начало движения зубов, а не признак проблемы - переносится значительно легче.

Нижние зубы оказались такими же чувствительными, как и верхние. Особенно резцы "радуют" - малейшее прикосновение вызывало боль. Но схема выживания уже отработана:

  • обезболивающее на ночь первые дни;
  • мягкая, но не липка пища в период адаптации;
  • тщательное полоскание полости рта после еды, ирригатор;
  • ортодонтический воск на травмирующие элементы.

К концу недели, как и ожидалось, вся симптоматика негативная стихла.

Гигиена полости рта в брекетах

Если с брекетами на одной челюсти чистка занимала 10 минут, то с полной системой это ритуал занимает времени поболе:

  • щётка для брекетов - 5 минут;
  • монопучковая щётка для каждого брекета - 3 минуты;
  • ёршики для межзубных промежутков - 7 минут;
  • ирригатор - 5 минут.

И так 2 раза в день минимум. Это много, это долго! Но альтернатива (кариес под брекетами, воспаление дёсен) заставляет относиться к процедуре серьёзно.

Питание - адаптация продолжается

С полной системой список ограничений не изменился, но процесс стал сложнее. Откусывание передними зубами невозможно. Всё режется на мелкие кусочки, закладывается непосредственно на жевательные зубы, на которых накладки, затрудняющие жевание.

Со стороны звучит очень удручающе. По факту - человек создание такое, что ко всему привыкает. Живучий элемент.

Социальные моменты требуют планирования. В заведениях общепита ассистент выбирает супы-пюре и мягкие блюда (всё то, что можно проглотить).

Все окружающие относятся с пониманием и, даже, интересом. Расспрашивают о прогрессе, делятся историями знакомых, поддерживают. Кто-то сочувствует, кто-то хочет так же (видя результат).

Взгляд в будущее

Впереди ещё, минимум, год лечения. Будут новые дуги, возможно, дополнительные элементы (пружины, цепочки, межчелюстные эластики). Но страха больше нет. Есть понимание процесса и уверенность в результате.

И к грустному, но жизненному.

Наш ассистент - дипломированный врач-стоматолог. Логично, что он стремится к профессиональному росту, ищет возможность практиковать как доктор. К сожалению, в Parodent все врачебные позиции давно заняты, расписание докторов расписано на месяцы вперёд, свободных кабинетов нет.

Как главврач, я понимаю его стремления и искренне желаю профессионального развития. Возможно, когда клиника будет расширяться, место в нашей команде найдётся. Хорошие врачи, которые понимают философию клиники изнутри, всегда в приоритете.

Так что, пожалуй, пришло время отправить парня в свободное плавание. Теперь он будет пациентом нашего ортодонта, но не работником клиники. Исправляет прикус - молодец, это тоже инвестиция в профессиональное будущее. Врач-стоматолог с идеальной улыбкой вызывает больше доверия у пациентов. Он ведь прошёл этот путь, он понимает.

Вывод

Брекеты - это не страшно, если понимать процесс. Да, есть дискомфорт. Да, накладываются ограничения. Но всё это временно и абсолютно переносимо.

Самое сложное - сделать первый шаг и принять решение. Когда система установлена, остаётся только дисциплина и терпение. Организм адаптируется, психика привыкает, а зубы медленно, но верно движутся к идеальному положению.

Если кто-то из читателей раздумывает о брекетах - история нашего ассистента показывает, что всё реально, это работает, это того стоит. Каждый день с неправильным прикусом - это день, который мог быть потрачен на исправление.

Будем продолжать наблюдение.

Начало истории ассистента в брекетах:

Вопросы задавайте в моём Telegram-канале - там я их точно увижу и отвечу. В Дзене сотни комментариев под сотнями статей и я физически не успеваю всё всегда мониторить. В Telegram все вопросы в одном месте, удобно отвечать, можно фото прикрепить. Так что жду в тг:

Parodoctor

С уважением, Лежачёва Наталия Александровна, хирург-пародонтолог и главный врач стоматологии Parodent.