Добавить в корзинуПозвонить
Найти в Дзене
ЛЮДИ ГОВОРЯТ

Егор Крид получил серьезную травму ноги

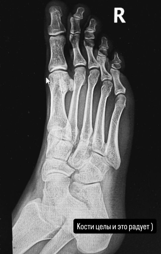
peopletalk.ru Егор Крид рассказал в социальных сетях, что получил травму ноги. Артисту пришлось обратиться в больницу. 31-летний музыкант опубликовал фото из клиники, где он сидит в инвалидном кресле, нога плотно забинтована, а в руках держит кроссовок. В подписи Егор назвал произошедшее «небольшими приключениями перед полетом» и признался, что ему повезло: кости не пострадали. Позже исполнитель записал видеообращение для поклонников, где поблагодарил всех за поддержку и сообщил, что уже на пути в Москву: «Друзья, спасибо всем кто переживает и желает скорейшего выздоровления. Дохромал до самолета, вылетаем в Москву, все нормально. Чуть-чуть похромаю и все обязательно пройдет. Главное, что кости целы». Егор также призвал аудиторию беречь здоровье, быть аккуратнее и внимательнее. К слову, ранее рэпер делился радостной новостью о пополнении в семье.

peopletalk.ru

Егор Крид рассказал в социальных сетях, что получил травму ноги. Артисту пришлось обратиться в больницу.

   Егор Крид. Фото: социальные сети
Егор Крид. Фото: социальные сети

31-летний музыкант опубликовал фото из клиники, где он сидит в инвалидном кресле, нога плотно забинтована, а в руках держит кроссовок. В подписи Егор назвал произошедшее «небольшими приключениями перед полетом» и признался, что ему повезло: кости не пострадали.

Позже исполнитель записал видеообращение для поклонников, где поблагодарил всех за поддержку и сообщил, что уже на пути в Москву: «Друзья, спасибо всем кто переживает и желает скорейшего выздоровления. Дохромал до самолета, вылетаем в Москву, все нормально. Чуть-чуть похромаю и все обязательно пройдет. Главное, что кости целы».

Егор также призвал аудиторию беречь здоровье, быть аккуратнее и внимательнее.

К слову, ранее рэпер делился радостной новостью о пополнении в семье.