Найти в Дзене

Яркий пример прекрасной корреляции цитологического и гистологического исследований при аденосквамозном раке поджелудочной железы с

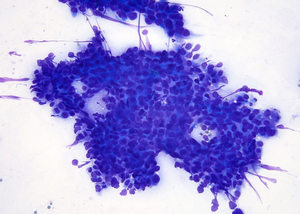
Яркий пример прекрасной корреляции цитологического и гистологического исследований при аденосквамозном раке поджелудочной железы с метастазами в печень. Это высокоагрессивный вариант протоковой аденокарциномы поджелудочной железы, при котором средняя продолжительность жизни составляет 12 месяцев и менее. Исследование выполнено методом ТАБ в сочетании с трепан-биопсией и иммуногистохимическим исследованием с использованием маркера p40. #цитология #поджелудочнаяжелеза

Яркий пример прекрасной корреляции цитологического и гистологического исследований при аденосквамозном раке поджелудочной железы с метастазами в печень.

Это высокоагрессивный вариант протоковой аденокарциномы поджелудочной железы, при котором средняя продолжительность жизни составляет 12 месяцев и менее.

Исследование выполнено методом ТАБ в сочетании с трепан-биопсией и иммуногистохимическим исследованием с использованием маркера p40.

#цитология #поджелудочнаяжелеза

-2
-3
-4