Добавить в корзинуПозвонить
Найти в Дзене
Иннова Клиник

Сколько нужно носить брекеты

Сколько нужно носить брекеты? 🤔 Наверняка, многие из вас задавались этим вопросом, когда задумывались о коррекции зубов с помощью брекет-систем. Но, к сожалению, заранее точно прогнозировать сроки ношения брекетов невозможно. Каждый случай индивидуален и зависит от множества факторов, включая состояние зубов, возраст пациента и особенности прикуса. 📅 Клинический случай: Рассмотрим пример ортодонтической коррекции на брекет-системе Damon Q. В данном случае срок лечения составил 1 год и 10 месяцев. За этот период удалось решить несколько важных задач: • Устранение скученности зубов • Коррекция наклона верхнего зубного ряда • Удаление сильно разрушенного зуба на нижней челюсти и закрытие образовавшегося промежутка своими зубами • Откорректированный прикус и центры зубных рядов Работа была выполнена врачом-ортодонтом Глуховой Т.А., который тщательно подошел к каждому этапу лечения, чтобы достичь оптимального результата.

Сколько нужно носить брекеты? 🤔

Наверняка, многие из вас задавались этим вопросом, когда задумывались о коррекции зубов с помощью брекет-систем. Но, к сожалению, заранее точно прогнозировать сроки ношения брекетов невозможно. Каждый случай индивидуален и зависит от множества факторов, включая состояние зубов, возраст пациента и особенности прикуса.

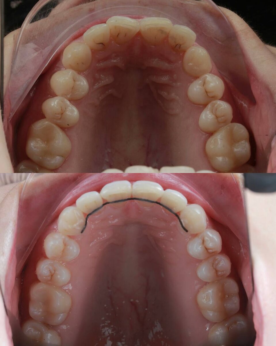
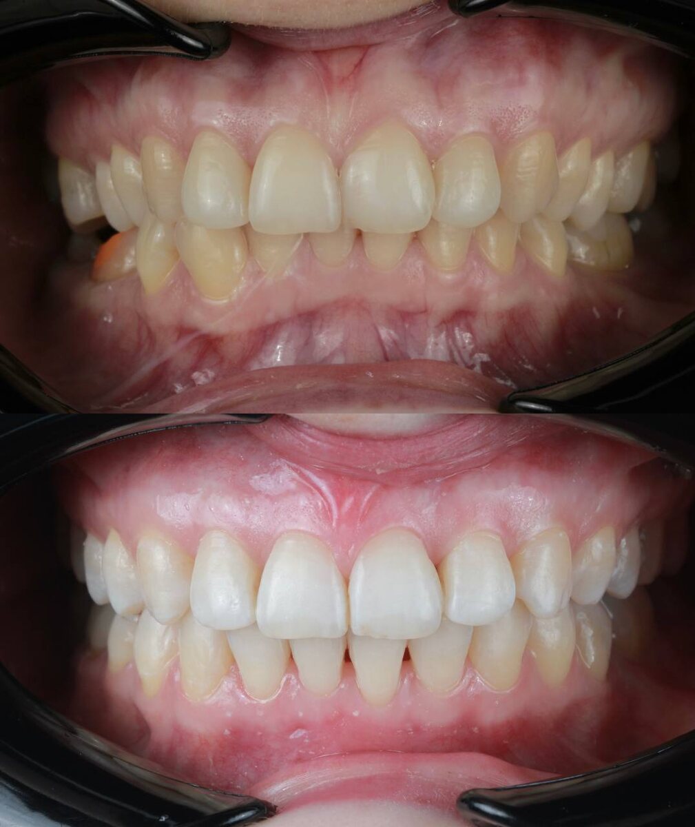
📅 Клинический случай:

Рассмотрим пример ортодонтической коррекции на брекет-системе Damon Q. В данном случае срок лечения составил 1 год и 10 месяцев. За этот период удалось решить несколько важных задач:

• Устранение скученности зубов

• Коррекция наклона верхнего зубного ряда

• Удаление сильно разрушенного зуба на нижней челюсти и закрытие образовавшегося промежутка своими зубами

• Откорректированный прикус и центры зубных рядов

Работа была выполнена врачом-ортодонтом Глуховой Т.А., который тщательно подошел к каждому этапу лечения, чтобы достичь оптимального результата.

-2
-3
-4
-5