Найти в Дзене

Почему нужно во время удалять молочные зубы?

Своевременное удаление молочных зубов — это настоящий помощник в правильном прорезывании постоянных зубов. Когда молочный зуб начинает шататься, не стоит затягивать со встречей с зубной феей — ей нравится работать вовремя! Почему это важно: ~ Дети начинают хуже чистить шатающийся зуб, и на нем вместе с соседями поселяется налет, который может превратиться в кариес. ~ Если молочный зуб упорно не хочет уходить, постоянный прорезывается криво, словно пытается найти лучший выход — смотрите фото. Чтобы не пропустить этот момент и не огорчать зубную фею долгим ожиданием, показывайте детей ортодонту минимум раз в полгода. А теперь представьте: зуб, который долго ждал своей очереди у зубной феи… Наконец-то его вызвали, и он готов к волшебству! В Нашей клинике Частный Дантист и Коллеги всегда рады маленьким пациентам! Запись по телефону: 8 495 613-76-15

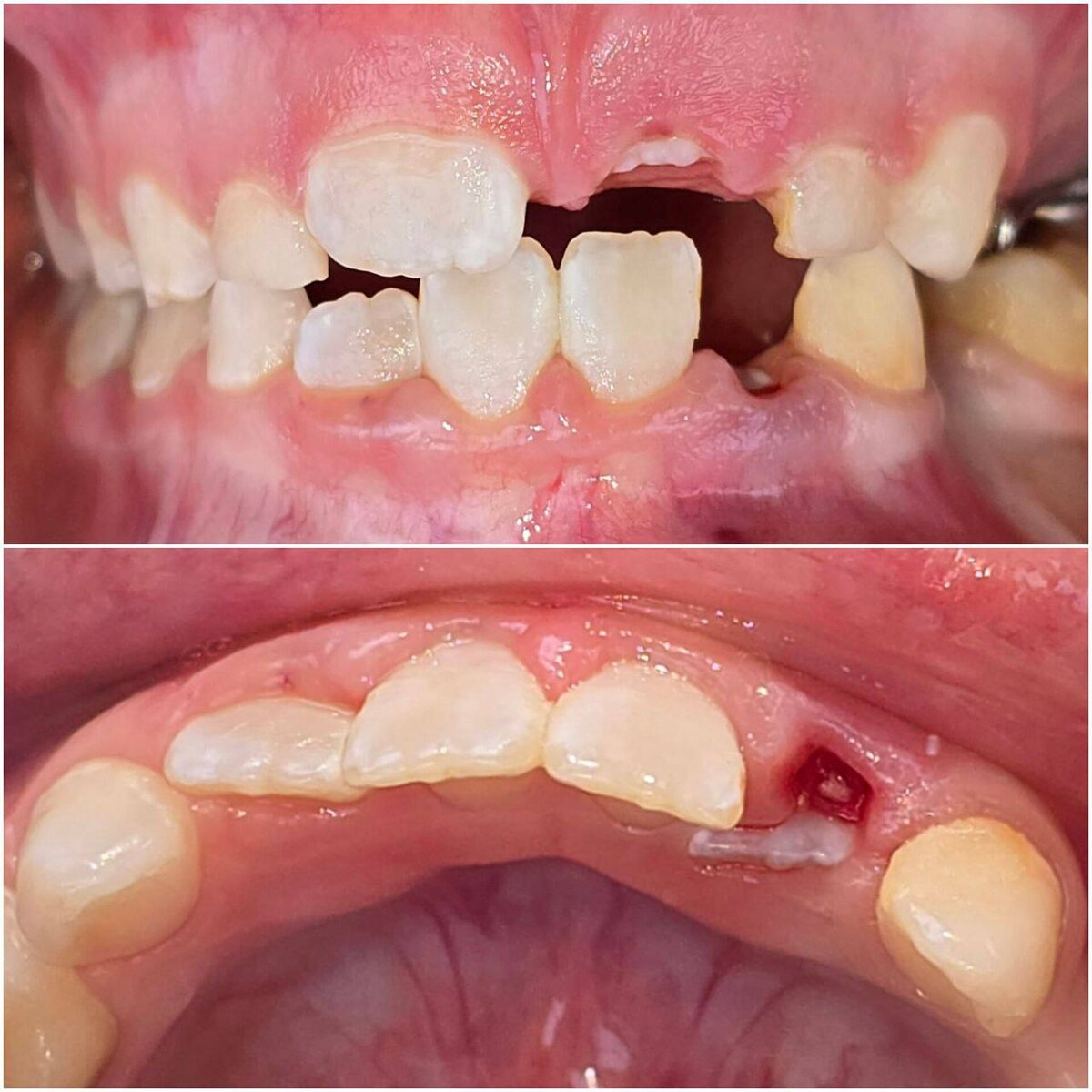
Своевременное удаление молочных зубов — это настоящий помощник в правильном прорезывании постоянных зубов. Когда молочный зуб начинает шататься, не стоит затягивать со встречей с зубной феей — ей нравится работать вовремя!

Почему это важно:

~ Дети начинают хуже чистить шатающийся зуб, и на нем вместе с соседями поселяется налет, который может превратиться в кариес.

~ Если молочный зуб упорно не хочет уходить, постоянный прорезывается криво, словно пытается найти лучший выход — смотрите фото.

Чтобы не пропустить этот момент и не огорчать зубную фею долгим ожиданием, показывайте детей ортодонту минимум раз в полгода.

-2

А теперь представьте: зуб, который долго ждал своей очереди у зубной феи… Наконец-то его вызвали, и он готов к волшебству!

В Нашей клинике Частный Дантист и Коллеги всегда рады маленьким пациентам!

Запись по телефону: 8 495 613-76-15