Добавить в корзинуПозвонить
Найти в Дзене
АиФ - Новосибирск

После операции в Новосибирске геофизик из Казахстана обнаружил в теле инородный предмет. Теперь он живет с постоянной болью

Фото опубликовано «КП» из архива героя материала В 2016 году жизнь 34‑летнего преподавателя геофизики из Казахстана Ерлана Тайкулакова резко изменилась из‑за серьёзной травмы. Во время одного из повседневных действий мужчина повредил левое колено: пострадали передняя крестообразная связка и медиальный мениск. Последствия оказались ощутимыми — движение стало затруднительным, а сустав утратил способность полноценно сгибаться и разгибаться. Журналисты «КП» ранее рассказали историю мужчины. Мужчина приехал в Новосибирск, чтобы получить помощь специалистов Ситуация требовала оперативного решения. На тот момент Ерлан нёс ответственность за большую семью: воспитывал двоих детей (4-летнюю дочь и 2-летнего сына), а также заботился об отце‑инвалиде и матери‑пенсионерке. Знакомые порекомендовали Ерлану обратиться в клинику НИИТО, отмечая высокий профессионализм местных врачей. После предоставления необходимых медицинских документов мужчине назначили операцию на 21 марта 2016 года. Общие расходы о
Оглавление
Фото опубликовано «КП» из архива героя материала
Фото опубликовано «КП» из архива героя материала

В 2016 году жизнь 34‑летнего преподавателя геофизики из Казахстана Ерлана Тайкулакова резко изменилась из‑за серьёзной травмы. Во время одного из повседневных действий мужчина повредил левое колено: пострадали передняя крестообразная связка и медиальный мениск. Последствия оказались ощутимыми — движение стало затруднительным, а сустав утратил способность полноценно сгибаться и разгибаться. Журналисты «КП» ранее рассказали историю мужчины.

Мужчина приехал в Новосибирск, чтобы получить помощь специалистов

Ситуация требовала оперативного решения. На тот момент Ерлан нёс ответственность за большую семью: воспитывал двоих детей (4-летнюю дочь и 2-летнего сына), а также заботился об отце‑инвалиде и матери‑пенсионерке.

Знакомые порекомендовали Ерлану обратиться в клинику НИИТО, отмечая высокий профессионализм местных врачей. После предоставления необходимых медицинских документов мужчине назначили операцию на 21 марта 2016 года. Общие расходы оказались внушительными: около 120 тысяч рублей составила стоимость хирургического вмешательства, ещё 13 тысяч ушло на авиаперелёт до Новосибирска. В пересчёте на казахстанскую валюту сумма достигала 700 тысяч тенге — сумма, которую Ерлан смог собрать лишь благодаря займу у университета.

За день до операции мужчина прибыл в Новосибирск. Однако сразу возникли сложности с размещением: персонал больницы сначала отказался поместить его в палату из‑за отсутствия свободных мест. После недолгих переговоров вопрос удалось урегулировать, и на следующее утро Ерлана успешно прооперировали.

23 марта пациента выписали, снабдив подробными рекомендациями. Среди советов значилось посещение бассейна — но не ранее чем через четыре месяца после хирургического вмешательства.

Шокирующее открытие

Ерлан строго следовал врачебным предписаниям. Когда подошёл срок, он записался в бассейн. Однако уже после первого занятия мужчина столкнулся с тревожным симптомом: нога перестала полностью выпрямляться. Сначала он предположил, что причина в переохлаждении, и попытался согреть конечность дома. Затем начал выполнять упражнения для восстановления подвижности, но состояние лишь ухудшалось — дискомфорт усиливался, а подвижность сустава продолжала снижаться.

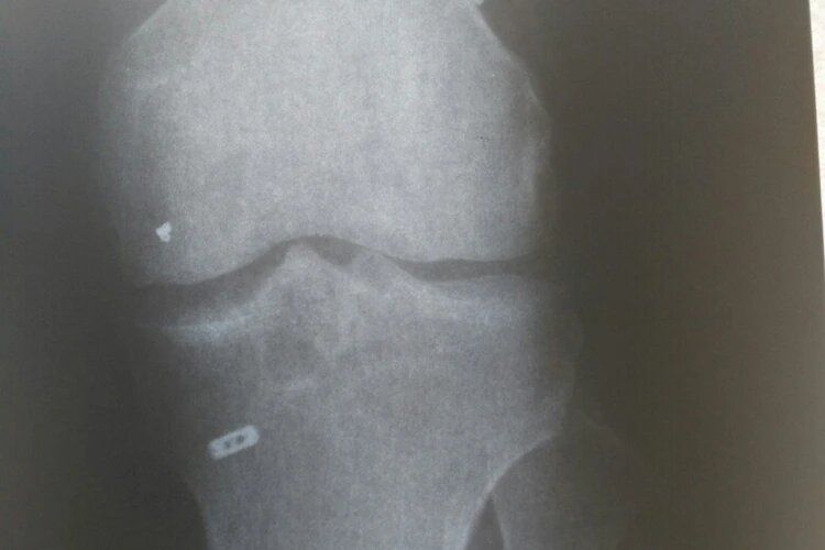
Спустя десять месяцев после операции Ерлан обратился к казахстанскому хирургу. Результаты МРТ оказались шокирующими: в заключении указывалось на присутствие инородного тела в колене, а также на то, что связка не функционирует должным образом. Чтобы подтвердить диагноз, мужчина сделал рентген — снимок не оставил сомнений: в суставе отчётливо просматривался металлический фрагмент с чёткими контурами, формой и размерами.

Фото опубликовано «КП» из архива героя материала
Фото опубликовано «КП» из архива героя материала

Врачи пояснили, что обнаруженный предмет — часть хирургического инструмента, оставленного во время операции. Кроме того, стало ясно, что связка так и не восстановилась.

Врач предложил лишь повторную операцию

Осознав масштаб проблемы, Ерлан направил в клинику НИИТО досудебную претензию. В документе он потребовал компенсировать расходы на лечение и реабилитацию в медицинском центре Южной Кореи. Предварительная оценка затрат составила 20 тысяч долларов, к которым следовало добавить 8,5 тысячи на транспортные расходы, проживание и питание. Помимо этого, мужчина оценил материальный и моральный ущерб в 40 тысяч евро.

Вскоре с Ерланом связался хирург, проводивший операцию. Врач предложил провести повторную операцию для устранения дефекта, однако отказался покрывать расходы на перелёт. Более того, он не смог гарантировать полное восстановление функции связки. Взвесив все «за» и «против», Ерлан отклонил предложение.

С тех пор мужчина вынужден жить с постоянной болью. До вынесения судебного решения он не решился на удаление инородного предмета из колена, продолжая надеяться на справедливое разрешение конфликта.